頭部に損傷を負った場合は、直ちに医師の診察が必要です。最初は大した異常を感じないかもしれませんが、頭蓋内で出血が起こる可能性があります。内出血は、脳損傷や死亡などの重大な結果を引き起こす可能性があります。
頭蓋骨の内出血の一種は硬膜下血腫と呼ばれます。人々は、頭部外傷の兆候と症状に注意し、自分または周囲の人が頭部外傷を経験した場合は、直ちに治療を受ける必要があります。
硬膜下血腫は、頭蓋骨の下にある静脈が破裂して出血し始めると発生します。血液は脳と頭蓋骨の間に集まります。この空間が血液で満たされ始めると、圧力の上昇により硬膜下血腫の症状が引き起こされます。
硬膜下血腫の出血は、脳と頭蓋骨の間の髄膜と呼ばれる組織層の 1 つで発生します。最外層は硬膜と呼ばれます。
脳に対する圧力が高まり続けると、硬膜下血腫が長期的な健康上の問題や生命を脅かす状況につながる可能性があります。最悪の場合、硬膜下血腫を治療しないと意識不明または死に至る可能性があります。
硬膜下血腫は頭部の損傷が原因で発生します。損傷の重症度によって、硬膜下血腫がどのように分類されるかが決まります。
硬膜下血腫には、急性と慢性の 2 つのタイプがあります。
急性硬膜下血腫
重度の頭部外傷によって引き起こされる硬膜下血腫は急性とみなされます。考えられる原因としては、自動車事故や高所からの落下などが考えられます。
急性硬膜下血腫の場合は治療が困難なことが多く、長期にわたる後遺症や死に至る可能性が高くなります。急性硬膜下血腫による死亡のリスクは 50% 以上です。
慢性硬膜下血腫
硬膜下血腫の慢性例は、繰り返しの頭部外傷または軽度の頭部外傷が原因です。
高齢者は転倒の頻度が増加するため、慢性硬膜下血腫を発症する可能性が高くなります。
高齢者もリスクが高くなります。これは、人の脳は加齢とともに縮小し、この縮小によって脳の表面にある小さな静脈が伸び、裂傷を受けやすくなるからです。
慢性硬膜下血腫は治療が容易ですが、死亡や長期的な健康被害のリスクは依然としてあります。
硬膜下血腫の症状は人によって異なります。一般的な症状は次のとおりです。
- 激しい頭痛
- 気分や行動の変化
- 発作
- ろれつが回らない話し方
- 意識を失うか気絶する
- 無関心
- 弱さ
- 視力の問題
- めまい
- 嘔吐
- 混乱
急性硬膜下血腫の症状は、損傷後すぐに現れます。慢性硬膜下血腫の場合、症状はゆっくりと進行する可能性が高く、またはまったく進行しない場合もあります。
血液がたまり、脳に圧力をかけ始める速度により、症状はさまざまな速度で発生します。
慢性硬膜下血腫の場合、脳の外表面にある小さな静脈が断裂することがあります。涙は組織の硬膜下層に出血を引き起こします。このような場合、症状が数日、場合によっては数週間も現れないことがあります。
他の要因が人の症状に影響を与える可能性があります。人の年齢やその他の病状は両方とも、症状が現れるまでの速さに影響します。
硬膜下血腫の最も一般的な原因は、頭部への重傷です。軽度の頭部外傷は原因としてあまり一般的ではありませんが、高齢者によく見られます。
硬膜下血腫は、別の病状の結果として自然発生的に発生する場合があります。
硬膜下血腫を発症する可能性を高める危険因子には次のものがあります。
- ワルファリンやアスピリンなどの抗凝血剤
- 血液凝固の問題を引き起こす病状
- 長期にわたるアルコール摂取または乱用
- 転倒やスポーツなどによる繰り返しの頭部外傷
- 非常に若い、または非常に高齢
急性硬膜下血腫の症例を迅速に診断し、すぐに治療を開始できるようにすることが重要です。迅速な治療により、死亡または長期的な影響のリスクを最小限に抑えることができます。
慢性硬膜下血腫の場合は、症状が急速に進行しない場合や、明らかな原因がない場合があるため、診断がより困難になる場合があります。
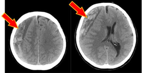
硬膜下血腫を診断するには、医師は通常、コンピューター断層撮影 (CT) または磁気共鳴画像法 ( MRI ) スキャンを使用して、脳の鮮明な画像を取得します。医師は出血の兆候がないかスキャン画像を検査します。
医師が出血を特定した場合、出血の原因を特定し、問題に対処するための行動計画を作成します。
医師は患者の血圧や心拍数をチェックしたり、血球数や血小板数を得るために血液検査を指示したりすることもあります。これらのスクリーニングと検査は、内出血や失血を調べるように設計されています。
硬膜下血腫のある人は通常、手術が必要になります。急性の場合は、開頭手術を受けることになるでしょう。
この手順では、外科医はまず硬膜下血腫の部位に近い人の頭蓋骨の一部を切除します。その後、外科医は血栓を除去し、吸引と洗浄技術を使用して漏れた血液を除去します。
開頭手術は危険な処置です。しかし、状況によっては人の命を救う必要があります。
慢性硬膜下血腫の場合、または急性血腫の直径が 1 cm 未満の場合、外科医はバーホール手術を使用することがあります。この処置では、外科医は人の頭蓋骨に小さな穴を開け、ゴムチューブを挿入して血液を排出します。
手術後、医師は通常、抗発作薬を処方します。数か月または数年間薬を服用しなければならない場合があります。これらの薬を服用すると、別の硬膜下血腫を引き起こす可能性のある発作を防ぐことができます。
医師は通常、脳周囲の腫れを軽減する薬を処方します。これは、手術後数日間の頭蓋骨の圧迫を予防または軽減するのに役立つ可能性があります。
回復時間は個人差が大きくあります。回復の速度は多くの場合、硬膜下血腫が脳に与えた損傷の程度によって決まります。
脳機能の完全またはほぼ完全な回復が期待できる人はわずか 20 ~ 30 パーセントです。
多くの場合、迅速に治療を受けた人は完全に回復する可能性が最も高くなります。若い人や腫れがコントロールされている人は、回復中に良い結果が得られる可能性が高くなります。
見通し
治療後であっても、硬膜下血腫は死亡または永久的な脳損傷につながる可能性があります。生存と完全回復の可能性を最大限に高めるには、迅速な医学的対応とケアが不可欠です。
良好な結果が得られる可能性を高めるためには、手術後の治療に関するすべての推奨事項に従うことが不可欠です。
硬膜下血腫:知っておくべきこと・関連動画
参考文献一覧
- http://neurosurgery.ucla.edu/acute-subdural-hematomas
