ホジキンリンパ腫 (HL) は、リンパ系に影響を与える珍しい種類の癌です。これにより、ある種の白血球が急速に増殖します。その結果、リンパ節が肥大し、結節または結節性硬化症が形成されることがあります。
この種類のがんは、特に医師が早期に診断して治療した場合、生存率が高くなります。治療には、放射線を伴うまたは伴わない化学療法、または進行した場合には幹細胞移植が含まれる場合があります。
NSHL は古典的な HL のサブタイプです。これは先進国で最も一般的なタイプの HL であり、これらのがんの約 70% を占めます。
NSHL は、青年および若年成人に最も頻繁に影響を与える傾向があります。通常、初期の兆候には、首と鎖骨のリンパ節の痛みのない腫れが含まれます。その他の兆候には、発熱、寝汗、原因不明の体重減少などがあります。
この記事では、NSHL について、その症状、診断、治療などについて説明します。
NSHL はリンパ腫の一種です。リンパ腫は、感染や病気から体を守る免疫系の重要な部分であるリンパ系で発生するがんです。これらのがんは、リンパ球として知られる白血球の制御不能な増殖を引き起こします。
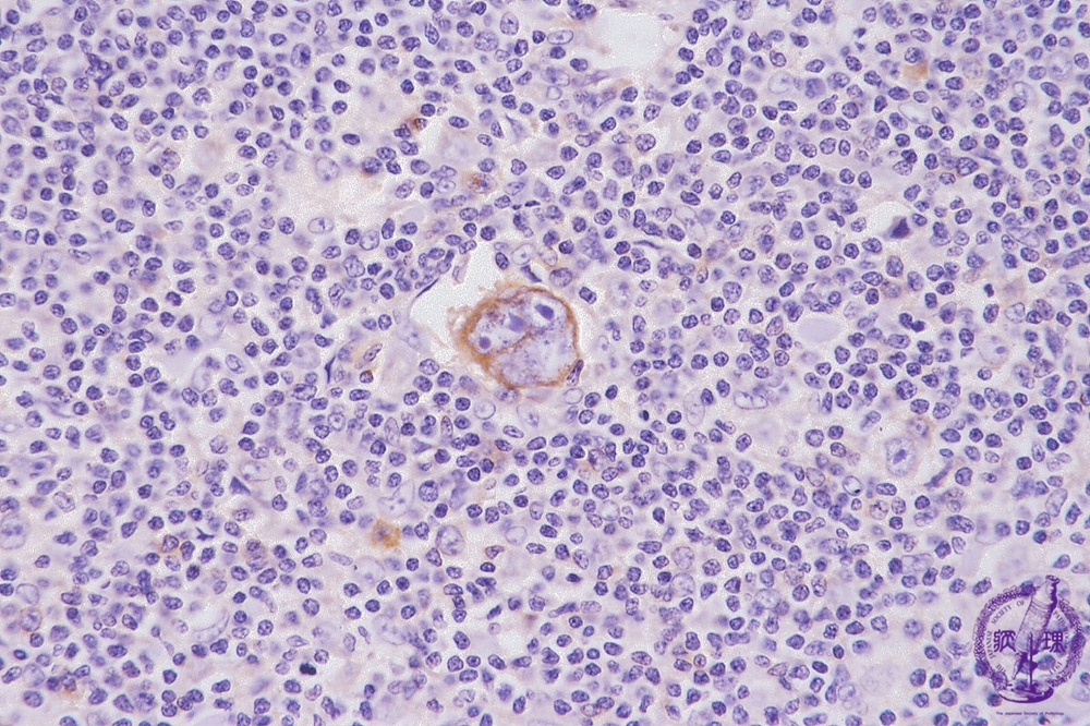
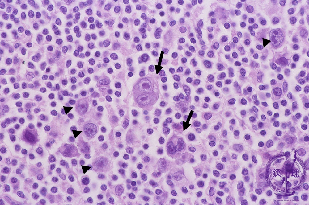
医師は、影響を受けるリンパ球の種類に応じて、リンパ腫をホジキン型と非ホジキン型に分類します。古典的 HL は、複数の核を持つ可能性のある大型のリンパ球であるリード・シュテルンバーグ細胞の存在を特徴としています。
「結節性硬化症」という用語は、HLが原因でリンパ節に形成される可能性のある結節および瘢痕組織(硬化症)を指します。これらの結節性病変は、HL の他のサブタイプよりも NSHL でより一般的です。
はい、NSHLは治癒可能です。 2012 年から 2018 年の監視・疫学・最終結果 (SEER) プログラムのデータによると、HL 患者は、そうでない人と比較して、診断後少なくとも 5 年間生存する可能性が高いことが示唆されています。
このデータによると、HL から少なくとも 5 年間生存する可能性は次のとおりです。
- ローカライズされた HL の場合は 93%
- 地域HLの95%
- 遠距離HLでは83%
しかし、研究によると、HL 患者の約 5 ~ 10% は治療に反応せず、10 ~ 30% は寛解後に再発します。
一般に、医師が NSHL を早期に発見して治療するほど、患者の見通しは良くなります。以下のような他の要因が HL をより深刻にし、人の転帰に影響を与える可能性があります。
- 男性であること
- 45歳以上であること
- 追加の症状がある
- 白血球数が高い
- 赤血球、リンパ球、血中アルブミンレベルが低い
HL の最も頻繁な症状はリンパ節の腫れです。 NSHL では、ノードが大きくなり、硬かったりゴム状に感じられることがありますが、通常は痛みはありません。
NSHL は通常、首のリンパ節に影響を及ぼしますが、胸部のリンパ節に影響を与える場合には、咳や息切れが起こることもあります。
HL のその他の一般的な症状には次のものがあります。
- 倦怠感
- 熱
- 寝汗
- 意図しない体重減少
NSHL の異常な症状は、アルコールを飲んだ後の皮膚のかゆみとリンパ節の痛みです。
「B 症状」と呼ばれる一部の症状は、その人の病気の見通しや病期分類に重要です。それらには次のものが含まれます。
- 熱
- 極度の寝汗
- 6か月間で体重の10%以上の減少
医師は病期分類を使用して、全身のがんの範囲と広がりを判断します。ルガーノの分類では、HL は次の 4 つの段階に分けられます。
- ステージ 1:がんは単一のリンパ節領域、または胸腺などのリンパ器官に影響を与えます。あるいは、リンパ系以外の臓器の一部に影響を与える可能性もあります。
- ステージ 2:がんが横隔膜の同じ側の 2 つ以上のリンパ節群に存在するか、または 1 つのリンパ節群と近隣の臓器に存在します。
- ステージ 3:がんは横隔膜の両側または横隔膜の上と脾臓のリンパ節群に存在します。
- ステージ 4:がんは肝臓、肺、骨髄など、リンパ系の外側に広く広がっています。
医師はまた、サブステージ A および B を使用して、発熱、寝汗、体重減少などの特定の症状の有無を示します。
なぜ一部の人が NSHL にかかり、他の人が NSHL にならないのかは医師たちにもわかっていませんが、NSHL にかかる可能性を高める特定の危険因子が存在します。
- 青年または若い成人であること
- 単核症などのエプスタイン・バーウイルス感染症の既往歴がある
- 自己免疫疾患を患っている
- 免疫力が低下している
- 家族に症状のある人がいる
- 肥満がある
ただし、これらの要因は、人が NSHL に罹患することを保証するものではありません。
医師はリンパ節から組織サンプルを採取することによって NSHL を診断します。これは生検として知られています。また、感染症を除外したり、がんの病期分類を支援するために他の検査を行うこともあります。これらには次のものが含まれます。
NSHL の治療は、病気の段階と見通しがどの程度良好かによって異なります。通常、医師は初期段階のHL患者に短期間の化学療法を受け、その後放射線療法を受けることを勧めます。
彼らは、より進行した疾患を持つ人々に、放射線照射を行わずに、より長期の化学療法を受けることを推奨する場合があります。
再発を経験した人には、医師は高用量の化学療法とそれに続く幹細胞移植を検討することがあります。ただし、これは困難な手順であり、すべての人が適切な候補者になるわけではありません。
科学者たちはモノクローナル抗体薬などの新しい治療法を研究中です。
NSHL はリンパ系に影響を与える癌の一種です。これは古典的ホジキンリンパ腫の最も一般的なサブタイプであり、青年および若年成人に影響を与える傾向があります。
NSHL の症状には、痛みのないリンパ節の腫れ、発熱、寝汗、原因不明の体重減少などがあります。治療には、放射線または幹細胞移植を伴うまたは伴わない化学療法が含まれる場合があります。
HL は生存率が高く、医師が早期に診断して治療すれば生存率は改善します。
結節性硬化症 ホジキンリンパ腫 (NSHL)・関連動画
参考文献一覧
- https://www.ncbi.nlm.nih.gov/books/NBK499969/
- https://www.lls.org/lymphoma/hodgkin-lymphoma/signs-and-symptoms
- http://www.medicalnewstoday.com/articles/248002
- https://www.cancer.org/cancer/hodgkin-lymphoma/detection-diagnosis-staging/survival-rates.html
- https://www.cancer.org/cancer/hodgkin-lymphoma/detection-diagnosis-staging/staging.html
- https://onlinelibrary.wiley.com/doi/full/10.1002/ajh.25856
