特発性肺線維症 (IPF) は、慢性かつ進行性の肺の病気です。 IPF は肺に瘢痕組織を蓄積させ、息切れや持続的な咳を引き起こします。
国立心肺血液研究所 (NHLBI) によると、IPF は進行性の病気であり、治療法は知られていません。ただし、治療計画は状態を管理し、生活の質を向上させるのに役立ちます。
この記事では、IPF の原因、症状、診断、およびこの状態を管理する方法について説明します。
潜在的な合併症や医師の診察を受ける時期についても検討します。
画像クレジット: IPFeditor、2013。
肺線維症は肺の瘢痕化です。
NHLBI は、IPF は気嚢を取り囲む肺組織が肥厚して硬くなり、肺に永久的な瘢痕化を引き起こす場合に発生すると述べています。
この瘢痕化は肺の機能に影響を及ぼし、呼吸困難を引き起こします。
以前は、IPF の別名には、原因不明の線維化性肺胞炎、特発性びまん性間質性肺線維症、慢性型の特発性線維化性肺胞炎などがありました。現在、医師は IPF を通常の間質性肺炎と呼ぶことがあります。
NHLBI によると、IPF の症状は、一部の人では時間の経過とともに徐々に現れますが、他の人ではより早く現れます。
IPF の症状には次のようなものがあります。
- 息切れ感。運動中に起こりやすいですが、時間の経過とともに悪化し、休息中に息切れを感じることがあります。
- 空咳が悪化して、制御不能な咳が繰り返し発生することがある
- 筋肉や関節の痛み
- ばち打ち、指やつま先の先端が広くて丸くなること
- 倦怠感
- 時間の経過とともに意図せず体重が減少する
- 全体的に気分が悪い
- 食欲不振
- 胸の痛みまたは圧迫感
2014年の論文の著者らは、IPFの正式な段階は存在しないが、医師は伝統的に初期、進行、軽度、中等度、重度などの用語を使用してIPFを大まかに段階分けしてきたと述べている。
軽度
IPF のこの段階では、軽い IPF 症状が現れ、初期診断を受けることがあります。
ただし、場合によっては、IPF が中等度の段階になるまで症状が現れない場合もあります。
適度
この段階では、肺に大きな傷跡が残り、酸素療法が必要になる場合があります。
高度な
この段階では症状が重篤であり、肺移植が必要になる場合もあります。
National Organisation for Rare Disorders (NORD) は、IPF のほとんどの症例は、肺胞と気道の内側を覆う上皮細胞への損傷の結果として発生すると示唆しています。
NORDは、身体は損傷した細胞を修復しようとしますが、その反応が異常で、その結果、肺組織と肺胞に進行性の損傷と瘢痕化が生じると示唆しています。
しかし、研究者たちは、治癒反応を引き起こす最初の損傷がなぜ起こるのかを知りません。
国立医学図書館によると、IPF の原因は不明ですが、研究者らは、環境、ライフスタイル、遺伝的要因の組み合わせがこの病気に関与していると考えています。
最も重大な危険因子はMUC5B遺伝子の変異であると考えられており、これにより呼吸細気管支での粘液生成が増加します。
IPF のその他の危険因子には次のものがあります。
- 遺伝学: IPFの家族歴がある人は、特に親や兄弟などの一親等の親戚がIPFである場合、IPFのリスクが高くなります。ただし、IPF は散発的に発生することもあります。
- タバコの喫煙: IPF患者の約75%は喫煙者であるか、以前喫煙していたことがあります。
- 胃食道逆流症 (GERD): IPF 患者の約 75% に胃酸逆流または胸やけの症状があります。
- 男性であること: IPF 患者の約 75% は男性です。
- 年齢: IPF 患者のほとんどは 50 歳以上です。
NHLBI によると、現時点では IPF を治療する方法はありませんが、治療は IPF の進行を遅らせ、生活の質を改善するのに役立つ可能性があります。
治療の選択肢はIPFの段階によって異なりますが、次のようなものがあります。
- キナーゼ阻害剤:このタイプの薬剤は肺機能の低下を遅らせ、IPF の突然の悪化を防ぐ可能性があります。
- 制酸薬:胃食道逆流症がある場合、これらは胃食道逆流症の治療に役立ちます。
- 酸素療法:最初は、運動後にこの療法が必要になる場合があります。 IPF の後期段階では、継続的にそれが必要になる場合があります。
- 人工呼吸器のサポート:呼吸の問題が重度になった場合、このサポートが必要になる場合があります。
- 肺移植:この手術は進行性 IPF 患者に必要な場合があります。
他の治療法は患者の症状によって異なります。たとえば、肺感染症を発症した場合、抗生物質が必要になる場合があります。慢性的な咳の場合は、コデインを経口摂取することがあります。
呼吸リハビリテーションも治療計画の一部となる場合があります。
呼吸リハビリテーションは、次のようなプログラムです。
- 呼吸法
- 体を強化するための身体活動
- カウンセリング
- 栄養に関するアドバイス
- IPFと状態の管理方法に関する教育
治療計画を遵守することは、IPF 患者が状態を管理し、生活の質を向上させるのに役立ちます。
IPF を管理するために実行できる手順は次のとおりです。
- 症状を追跡し、悪化した場合には医療専門家に知らせる
- 定期検診に通うこと
- タバコの喫煙を控え、受動喫煙を避けること
- 化学物質や粉塵など、肺を刺激する可能性のある物質を避ける
- 身体的に活動的な状態を保ち、ウォーキングやエアロバイクの使用など、定期的かつ適度な運動を続けること
- 適度な体重を維持する
- 心臓と肺の健康をサポートするための食事(満腹感を軽減するために少量の食事を食べるなど、呼吸を楽にする可能性があります)
- サポートグループに参加したり、カウンセリングを受けたり、家族や友人と話したりすることは、人々がメンタルヘルスをケアするのに役立ちます
- 高地など、呼吸が困難になる可能性のある場所や状況を避ける
カナダ肺協会は、IPF を診断するには医師が症状を評価し、完全な病歴を聞き、身体検査を行うと述べています。
身体検査では、以下の症状があるかどうかを確認する場合があります。
- 青い手と足
- 棍棒になったつま先または指
- 肺から聞こえる甲高いパチパチ音
検査を組み合わせると、医師が IPF の診断を確定するのに役立つ場合があります。これらのテストには次のものが含まれる場合があります。
- 呼吸検査:肺がどれだけうまく空気を吸ったり吐き出したり、血液にどれだけ酸素を供給しているかを確認します。
- 胸部X線検査:病気や進行の兆候を調べるため。
- 血液検査:肺の瘢痕化の他の理由を特定するため。
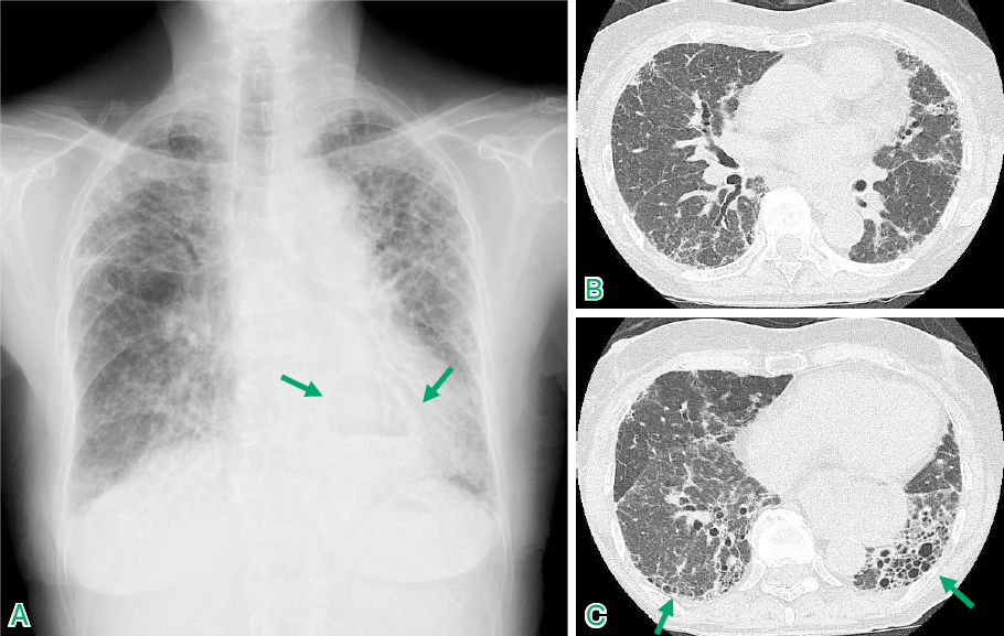
- CT スキャン:肺の瘢痕を調べます。
- 肺生検: CT スキャンに基づいて診断が不可能な場合に診断を確認します。
- 認知行動療法 (CBT)
- 抗うつ薬などの薬
- 患者支援グループ
Medical Sciences 誌に掲載された 2018 年の記事によると、 IPF で考えられる合併症には次のようなものがあります。
米国肺財団によると、肺線維症 (PF) には 200 種類以上あり、最も一般的なのは IPF です。
肺線維症財団は、PF にはその原因に基づいて 5 つの主要なカテゴリーがあると述べています。
- 薬物誘発性 PF:化学療法、アミオダロン (Pacerone)、またはニトロフラントイン (Macrobid) など、肺に影響を与える薬物の以前または現在の使用が原因です。
- 放射線誘発性 PF:胸部の放射線治療によるもの。
- 環境的 PF:カビなどの肺の刺激物による曝露によるもの。
- 自己免疫性PF:関節リウマチやシェーグレン症候群などの自己免疫疾患が原因です。
- 職業的 PF:アスベストやシリカなどの粉塵や煙への曝露が原因。
IPF は原因が不明であるため、他の形式の PF とは異なります。
IPFの症状がある場合は医師の診察を受ける必要があります。医師は患者を呼吸器科医と呼ばれる専門家に紹介する場合があります。
IPF 患者は、正確な診断と最新の治療計画を確実に受けられる医療専門家のチームと協力することがあります。
IPF は原因不明の肺線維症の一種です。環境、ライフスタイル、遺伝的要因はすべて危険因子です。
IPF の症状がある場合は、医師の診察を受けて診断を受ける必要があります。
IPF には治療法はありませんが、医療専門家のチームと協力して症状を管理し、生活の質を向上させることができます。
特発性肺線維症とは何ですか?・関連動画
参考文献一覧
- https://www.ncbi.nlm.nih.gov/pmc/articles/PMC6163702/
- http://www.medicalnewstoday.com/articles/8933
- https://rarediseases.org/rare-diseases/特発性肺線維症/
- https://err.ersjournals.com/content/23/132/220
- https://www.lung.ca/lung-health/lung-disease/特発性肺線維症/診断
- https://ghr.nlm.nih.gov/condition/idiopathy-pulmonary-fibrosis#genes
- https://www.lung.org/lung-health-diseases/lung-disease-lookup/pulmonary-fibrosis/introduction/types-causes-and-risk-factors
- https://肺線維症now.org/basics/
- https://www.pulmonaryfibrosis.org/life-with-pf/about-pf
- https://www.nhlbi.nih.gov/health-topics/idiopathy-pulmonary-fibrosis
- https://www.lung.ca/lung-health/lung-disease/idiopathy-pulmonary-fibrosis/causes
