ヘモクロマトーシスとヘモジデローシスは、体内の鉄分が多すぎることに関連する 2 つの状態です。場合によっては、肝臓に影響を与える可能性があります。
ヘモクロマトーシスは、体内の鉄分が多すぎる状態です。ヘモジデローシスでは、肝臓、膵臓、皮膚などの臓器に鉄が沈着します。
これらの状態には複数の原因があります。遺伝性ヘモクロマトーシスは、体が鉄を過剰に吸収することを意味しますが、続発性ヘモクロマトーシスでは、輸血または点滴によって過剰に鉄を摂取します。
体内に鉄分が多すぎると肝臓にダメージを与える可能性があります。
この記事では、ヘモジデローシスとヘモクロマトーシスについて、またそれらが肝臓にどのような影響を与えるかについて説明します。
ヘモクロマトーシスは、体内に鉄が蓄積すると発生します。過剰な鉄は除去できないため、体は鉄の吸収を調節します。
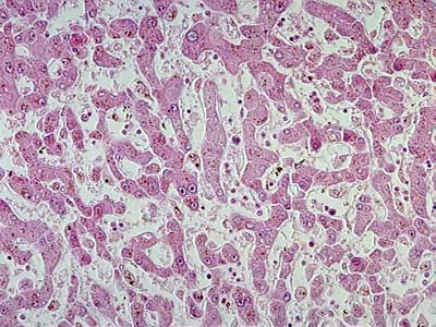
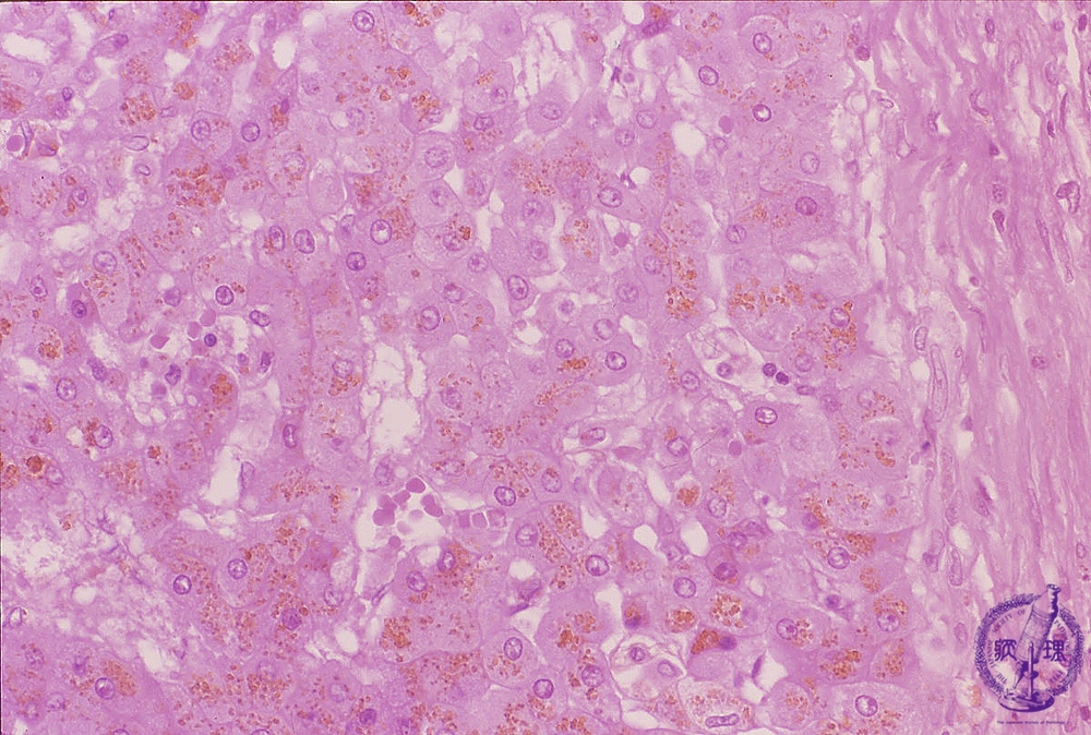
鉄は特定の臓器に蓄積し、臓器損傷を引き起こす可能性があります。
ヘモクロマトーシスは次のような影響を与える可能性があります。
- 肝臓
- 膵臓
- 心臓
- 甲状腺
- 関節
- 肌
- 卵巣と精巣
- 下垂体
鉄過剰は次の 3 つの方法で発生します。
- 体内の鉄の処理方法が変化する遺伝性の疾患。
- 輸血や点滴により鉄分を過剰に摂取する。
- まれに、鉄分を過剰に摂取した場合。
ヘモクロマトーシスの最も一般的な原因は、遺伝性ヘモクロマトーシスと呼ばれる遺伝性の遺伝病です。
この状態では、体は通常よりも多くの鉄を吸収します。
ヘモジデローシスは通常、輸血を繰り返すと発生します。輸血された赤血球からの鉄分が体に過剰に蓄積されます。鎌状赤血球症、再生不良性貧血、サラセミアなど、多くの輸血を必要とする基礎疾患を持つ人々に頻繁に発生します。
体内に鉄分が多量に存在すると、体内に鉄分が蓄積され、排出できなくなります。
体内に鉄分が多すぎると、時間が経つと肝臓にダメージを与えます。
残念ながら、ヘモクロマトーシスは初期段階では検出されないことがよくあります。
鉄が肝臓に蓄積すると、肝臓に障害を引き起こす可能性があります。
ヘモクロマトーシスの症状がなくても、肝臓が正常に機能していない可能性があります。たとえば、症状のないヘモクロマトーシス患者は、肝機能検査で異常を示す可能性があります。
ヘモクロマトーシスが完全に確立している場合、すでに肝硬変または肝臓の瘢痕化が見られる場合があります。肝臓の肥大である肝腫大を患っている人もいます。
ヘモクロマトーシスのその他の兆候としては、次のようなものがあります。
- 皮膚の変化(皮膚の黄ばみなど)
- 腹部内の体液の蓄積(腹水)
- 脳の病気(脳症)
- 肝臓酵素の上昇
- 糖尿病
- インポテンス
- 関節痛
- 倦怠感
肝臓内の鉄分が多すぎると、治療せずに放置すると肝不全を引き起こす可能性があります。また、肝臓がんを発症する可能性が高まる可能性もあります。
ヘモクロマトーシスの症状は、鉄蓄積の影響を受ける臓器によって異なります。
医師は、ヘモクロマトーシスが複数の臓器に影響を及ぼし始めた場合にのみ診断できます。
最初は、重度の疲労、倦怠感、関節痛が現れることがあります。
その後、肝臓に沈着物が形成されると、黄疸や肝機能異常が発生する可能性があります。肝機能障害が発生すると、次のような症状が起こる可能性があります。
医師は血液検査の結果によってヘモクロマトーシスを診断します。ヘモクロマトーシスの診断には、病歴や家族歴、身体検査も役立つ場合があります。
特定の症状はヘモクロマトーシスの兆候である可能性がありますが、常に症状があるとは限りません。
健康診断では、医師は次のことをチェックします。
- 肌の色の変化
- 肝臓または脾臓の肥大
- お腹の圧痛
- 関節の腫れと圧痛
医師はヘモクロマトーシスの診断に役立てるため、患者の血液検査結果を確認します。彼らは次のように分析します。
- 鉄レベル
- トランスフェリンレベル(血液中の鉄を輸送するタンパク質)
- 鉄とトランスフェリンの比率
- フェリチンレベル(肝臓に鉄を貯蔵するタンパク質)
ヘモクロマトーシスのある人は、治療中にこれらの血液検査を繰り返します。医師は繰り返し行われた血液検査の結果を分析して、治療が効果があるかどうかを確認します。
医師は、ヘモクロマトーシスを引き起こす遺伝子変異がないか血液を検査することもできます。
ヘモクロマトーシスの診断を確定するために肝生検が必要になる場合があります。
生検では、肝臓の小片を採取して顕微鏡で検査します。病理学者は、肝臓内の鉄の沈着や瘢痕組織の範囲を検査できます。
さらに、医師はMRI を使用して鉄過剰を検出できます。特定の画像スキャンにより、肝臓内の鉄の量を決定できます。
治療を行わないと、ヘモクロマトーシスやヘモジデローシスによって、肝臓、心臓、膵臓などの多くの臓器が正常に機能しなくなる可能性があります。
ヘモクロマトーシスの患者に対する治療法の 1 つは瀉血です。これは簡単で、安価で、安全な手順です。
瀉血中、医師または医療専門家は、定期的に一度に約 1 パイントの血液を除去します。
瀉血中に除去される血液の量は、その人の鉄レベルによって異なります。瀉血はヘモクロマトーシスの症状を軽減し、合併症を予防するのに役立ちます。
繰り返しの輸血によりヘモジデローシスを患っている人は、必要な輸血血液を除去する必要があるため、瀉血を受けることはできません。
過剰な鉄を捕らえて尿から排出するための薬が必要です。これらの薬剤は鉄キレート剤と呼ばれます。それらは経口剤または注射剤として提供されます。
医師が鉄過剰症を治療するために処方するさまざまな鉄キレート剤は次のとおりです。
- デフェラシロクス (ジャデヌ)
- デフェリプロン (フェリプロックス)
- デフェロキサミン(デスフェラル)
治療しなければ、ヘモクロマトーシスおよびヘモジデローシスは合併症を引き起こす可能性があります。
鉄過剰症を治療しないと、肝硬変や肝臓の瘢痕化を引き起こす可能性があります。肝臓内の健康な組織が瘢痕組織に置き換わると、肝臓は正しく機能しなくなります。
瘢痕組織は肝臓への血流を遮断することもあります。最終的には、肝硬変が肝不全を引き起こす可能性があります。肝不全の人の中には移植が必要な人もいます。
肝硬変は肝臓がんを発症する可能性を高めます。
鉄過剰の影響を受ける他の臓器には次のようなものがあります。
- 心臓
- 膵臓
- 関節
- 生殖器官
ヘモクロマトーシスまたはヘモジデローシスを治療しないと、心不全、関節炎、糖尿病、性欲の低下を引き起こす可能性があります。
ヘモクロマトーシスとヘモジデローシスは、体内の鉄分が多すぎると発生します。
まれに、食事から鉄分を過剰に摂取することが原因でこのようなことが起こることがあります。また、輸血を繰り返すことによって起こることもあります。
治療を行わないと、体内の過剰な鉄分が肝臓などの臓器に損傷を与える可能性があります。
ヘモクロマトーシスを治療するために、医師は定期的な瀉血を処方することがあります。
ヘモジデローシスは、輸血を繰り返し受けている人に発生するヘモクロマトーシスの一種です。ヘモジデリン症の人には、体から鉄を除去する鉄キレート剤が必要になる場合があります。
ヘモジデローシスとヘモクロマトーシスが肝臓に与える影響・関連動画
参考文献一覧
- http://www.medicalnewstoday.com/articles/7621
- https://www.ncbi.nlm.nih.gov/books/NBK430862/
- https://www.ncbi.nlm.nih.gov/pmc/articles/PMC5139945/
- https://www.niddk.nih.gov/health-information/liver-disease/hemochromatosis/diagnosis
- https://aasldpubs.onlinelibrary.wiley.com/doi/10.1002/hep.24330
- https://www.niddk.nih.gov/health-information/liver-disease/hemochromatosis/defining-facts
- http://www.ncbi.nlm.nih.gov/books/NBK430862/
