医師が層状骨膜反応と呼ぶ「オニオンスキン」は、骨の外表面の周りに同心円状に複数の骨の層が形成されるときに発生します。ユーイング肉腫で発生する可能性があります。
ユーイング肉腫はがんの一種です。この疾患に罹患している場合、医師は画像検査で層状骨膜反応のタマネギのような外観を検出することがあります。
この記事では、オニオンスキン骨膜反応とは何か、それがユーイング肉腫とどのように関連しているかなどを概説します。
オニオンスキン骨膜反応は、骨の外側に同心円状に複数の骨層が形成されるときに発生します。成長の性質はタマネギの層に似ています。この状態は、層状骨膜反応または層状骨膜反応としても知られています。
オニオンスキン骨膜反応の潜在的な原因はいくつかあります。専門家は当初、この症状は骨の急速な損傷と緩徐な損傷のサイクルによって発生すると考えていました。
最近、健康専門家らは、隣接する軟組織の結合組織(医師が線維芽細胞と呼ぶ)の変化が原因である可能性があることを示した。これにより、骨芽細胞が新しい骨のシートを形成する可能性があります。骨芽細胞は、新しい骨細胞を形成する骨の表面の細胞です。
別の示唆は、新しい骨の層が骨の表面から剥がれ落ちるというものです。持ち上げることにより、新しい骨組織の形成を刺激する可能性のあるスペースが作成されます。
ユーイング肉腫は骨膜反応の潜在的な原因です。腫瘍は、オニオンスキンまたはヘアオンエンドのサブタイプの骨膜反応を引き起こす可能性があります。ヘア・オン・エンドのサブタイプは、ユーイング肉腫の存在を示唆しています。
ユーイング肉腫は、通常、小児および若年成人に現れる癌性腫瘍であり、多くの場合、最初は 10 代に現れます。また、大腿骨、すね、上腕などの体の長い骨で始まることもよくあります。
体の他の領域に転移する可能性がある、まれな形態のがんです。しかし、専門家はがんが発生する正確な種類の細胞を知りません。
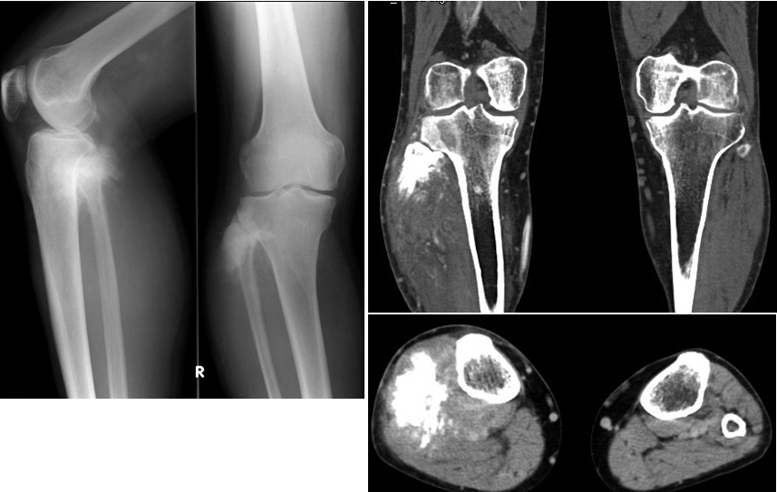
骨の周囲の痛みや腫れのために医療機関を受診した場合、医師は画像検査を指示する可能性があります。これらには次のものが含まれる場合があります。
- X線
- MRI
- CTスキャン
これらの検査は、腫れや痛みの根本的な原因を特定するのに役立ちます。タマネギの皮の骨膜反応は、複数の層の骨のように見えます。
タマネギの皮膚の骨膜反応は、ユーイング肉腫などの疾患の存在を示している可能性があります。良性腫瘍の結果である可能性もあります。
画像検査だけでは医師が症状の重症度を判断することはできません。代わりに、一部の専門家は、重症度を判断する 1 つの方法として、成長の速度を調べることを提案しています。その後、それらを遅い成長と速い成長に分類できます。
医師は、患者の診断の深刻さについてアドバイスし、患者のあらゆる質問に答えることができます。
ユーイング肉腫の他の兆候や症状の例は次のとおりです。
- 腫れ
- 腫瘍部位の痛み
- 骨の近くに目立つ塊
人は最初に自分の骨の近くに塊が形成されていることに気づくかもしれません。これは数か月続く場合があり、痛みや腫れが起こる前に起こります。
オニオンスキン骨膜反応のその他の考えられる原因は次のとおりです。
軟骨芽腫は、関節付近の長骨に発生することが多い良性のまれな腫瘍です。良性ではありますが、腫瘍は成長を続ける可能性があり、健康な骨細胞を破壊し、骨折やその他の症状を引き起こす可能性があります。腫瘤の外科的除去が必要になる場合があります。
骨髄炎は骨の感染症です。感染症を早期に積極的に治療すると、通常、この症状を持つ人々にとって好ましい結果が得られます。
タマネギの皮の骨膜反応は、骨の外側の周りに同心円状のパターンで成長が発達するときに発生します。成長はタマネギの層のように見えます。
ユーイング肉腫は、タマネギ皮膚骨膜反応の考えられる原因の 1 つです。ユーイング肉腫の症状には、顕著な腫瘤、腫れ、その部位の圧痛や痛みなどがあります。医師は画像検査で成長を確認し、必要に応じて治療を行います。
ユーイング肉腫によるタマネギ皮膚骨膜反応とは何ですか?・関連動画
参考文献一覧
- https://rad.washington.edu/about-us/academic-sections/musculoskeletal-radiology/teaching-materials/online-musculoskeletal-radiology-book/periosteal-reaction/
- https://orthoinfo.aaos.org/en/diseases–conditions/ewings-sarcoma/
- https://www.ncbi.nlm.nih.gov/books/NBK532250/
- https://www.ajronline.org/doi/full/10.2214/AJR.09.3300?src=recsys
- https://orthoinfo.aaos.org/en/diseases–conditions/軟骨芽腫/
- https://www.ncbi.nlm.nih.gov/pmc/articles/PMC7475123/
