口唇潰瘍は口唇ヘルペスであり、口内炎は口内炎の一種です。どちらも痛みや不快感を引き起こす可能性がありますが、通常は治療を受けなくても治ります。
口唇潰瘍は口唇ヘルペスの別名です。単純ヘルペス ウイルス 1 型 (HSV-1) によって引き起こされる口唇ヘルペスは、発症すると灼熱感やかゆみを引き起こします。それらは非常に伝染性が高いです。
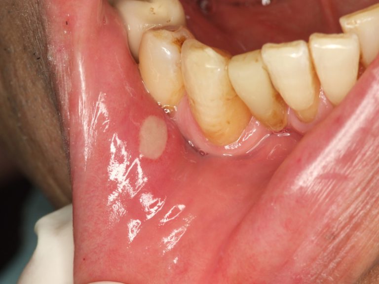
口内炎、または口内炎は、口の粘膜に発生します。症状はさまざまな方法や大きさで現れ、非常に痛みを伴う場合があります。医師らもその原因は不明ですが、ウイルスや細菌の感染、免疫力の低下、遺伝、アレルギーなどが関係している可能性があります。
この記事では、口唇潰瘍と口内炎の症状、原因、診断、治療について説明します。
あらゆる種類の口内炎について詳しくは、こちらをご覧ください。
口唇潰瘍と口内潰瘍は非常に異なる状態であり、症状の現れ方も異なります。
口唇潰瘍の症状
口唇潰瘍を経験した人は口唇ヘルペスを患っている可能性があります。
口唇ヘルペスが発症すると、灼熱感、かゆみ、ズキズキ感、またはチクチクする感覚を経験します。液体で満たされたびらんが発生すると乾燥し、約 2 日以内に黄色の痂皮が形成されます。
ヘルペスに発熱が伴うこともあり、これを熱疱疹と呼ぶ人もいます。その他の症状には、喉の痛み、頭痛、吐き気などがあります。
口唇ヘルペスの原因となるウイルスは人の体内に永久に残るため、口唇ヘルペスは生涯を通じて再発する可能性もあります。ただし、口唇ヘルペスが出現するたびに症状が軽くなる場合があります。
年に5回ほど口唇ヘルペスを患う人もいます。
口内炎の症状
口内炎またはアフタ性潰瘍は、口の中や周囲に現れる、小さくて丸い痛みを伴う潰瘍です。通常、中心は黄色、白、または灰色で、周囲に赤いリングがある場合があります。
口内炎はさまざまな理由で発生する可能性があります。通常、感染症がこれらの口内炎を引き起こすことはありませんが、体の他の場所で感染症と戦っている場合や、インフルエンザなどで発熱している場合に口内炎が発生する可能性があります。
口内炎の種類が異なれば、症状の現れ方も異なり、再発の頻度も高くなります。より大きな口内炎は、より痛みを伴います。
口内炎には主に 3 つのタイプがあります。
- 軽度の口内炎:最も一般的なタイプで、小さな口内炎が発生し、瘢痕化することなく約 1 週間で治癒します。それらは約 85% の人に影響を及ぼします。
- 重度の口内炎:症例の約 10% のみに存在し、これらの傷は軽度の口内炎よりも大きく、2 週間以上続きます。傷は非常に痛みを伴い、傷跡が残る場合があります。
- ヘルペス状口内炎このタイプに罹患する人は 5% 未満で、小さな潰瘍が集団で発生し、治癒までに約 1 週間かかります。これらはすぐに再発する可能性があり、1 つの大きな潰瘍に合併して瘢痕が残る場合もあります。
通常、口唇潰瘍や口内潰瘍は治療の必要がなく、自然に治ります。
口唇潰瘍の治療
2019年の論文によると、口唇ヘルペスは治療の必要がなく、数週間以内に自然に治ります。
ただし、治癒プロセスを早める治療は可能です。ウイルスは口唇ヘルペスの原因となるため、治療には通常、抗ウイルス薬の使用が含まれます。一部の薬は処方箋が必要ですが、パッチ、クリーム、ローション、ジェルなどの局所抗ウイルス薬の多くは店頭で購入できます。
ヘルペスを治す方法について詳しくは、こちらをご覧ください。
口内炎の治療
ほとんどの口内炎は1~2週間で治ります。
この潰瘍は、摩擦とその後の痛みにより、食事をしたり話したりするときに問題を引き起こす可能性があります。
医師は痛みに対してアセトアミノフェン(タイレノール)の服用を勧めるかもしれません。他の治療オプションは、ステロイドの洗口剤やクリームなど、 炎症を抑えることに重点を置きます。
局所麻酔薬は皮膚を麻痺させ、傷の痛みを軽減します。抗菌性うがい薬は、口の中の細菌やその他の細菌を殺すことができます。これにより、唇の傷が感染するリスクが軽減されます。
口内炎を治療する9つの方法については、こちらをご覧ください。
口内炎や口唇潰瘍は不快感や痛みを伴う場合があるため、さらなる痛みや損傷を防ぐために治療することが重要です。
口唇ヘルペスのある人向け:
ヘルペスに触れた人はすぐに手を洗わなければなりません。そうしないと、ウイルスが体の別の部分や他の人に広がる可能性があります。
口内炎のある人には:
- うがい薬やデンタルフロスを定期的に使用するなど、口腔衛生を良好に保つことは、感染症のリスクを軽減するのに役立ちます。
- 潰瘍に触れないようにしたり、あまりにも激しく歯磨きをしないなどして、潰瘍を刺激しないようにする
- あまり噛む必要のない食べ物を食べることで摩擦を減らす
- 痛みを刺激する可能性のある辛い、塩辛い、または酸性の食べ物を避ける
口唇ヘルペスは非常に伝染性が高いです。人は口から口へ、または口から性器への接触を通じてウイルスを他の人に感染させる可能性があります。口唇ヘルペスのある人は、症状が進行している間はこの種の接触を避けるように注意する必要があります。
口唇ヘルペスの伝染性がどのくらいの期間続くのかについては、こちらをご覧ください。
ただし、口内炎は感染症によるものではないため、伝染性はありません。口内炎を他の人に移すことはできません。
口唇ヘルペスや口唇潰瘍は通常 2 週間以内に治りますが、口唇ヘルペスを繰り返したり、治癒に時間がかかる場合は医師に相談する必要があります。
湿疹や免疫力が低下している人は、口唇ヘルペスが皮膚のより広い領域に広がる可能性があるため、注意が必要です。
口内炎の多くは治療しなくても自然に治ります。
次の場合は医師に相談してください。
- 月に3回以上発生する
- 傷は数週間続き、改善しません
- 痛みがひどい、または悪化する
口唇ヘルペスがある場合、唇に潰瘍ができ、発熱などの症状が現れることがあります。口内炎は、口と歯茎に発生する小さな痛みを伴う傷の原因であり、サイズはさまざまです。
口内炎や口唇ヘルペスは通常、治療しなくても自然に治ります。いくつかのクリーム、軟膏、うがい薬が症状の軽減に役立ちます。
口唇潰瘍と口内炎の違いは何ですか?・関連動画
参考文献一覧
- https://post.medicalnewstoday.com/articles/323935#types
- https://www.aad.org/public/diseases/az/cold-sores-symptoms
- https://www.ncbi.nlm.nih.gov/pmc/articles/PMC4676230/
- https://www.ncbi.nlm.nih.gov/books/NBK546250/
- https://www.ncbi.nlm.nih.gov/books/NBK525782/
- https://www.cedars-sinai.org/health-library/diseases-and-conditions—pediatrics/c/canker-sores-aphthous-ulcers-in-children.html
- https://www.aaom.com/index.php?option=com_content&view=article&id=82:口内炎&catid=22:患者状態情報&Itemid=120
