潰瘍性大腸炎における陰窩膿瘍について知っておくべきこと

潰瘍性大腸炎 (UC) は陰窩膿瘍の形成を引き起こす可能性があります。陰窩膿瘍は、消化管系内の陰窩または袋に炎症細胞が蓄積すると発生します。

潰瘍性大腸炎は炎症性腸疾患 (IBD) の一種です。これは、大腸の内壁の炎症や潰瘍を引き起こす免疫系の異常な反応によって発生します。

潰瘍性大腸炎は、下痢、血便、腹痛を引き起こす可能性があります。

この記事では、陰窩膿瘍とは何か、また発生する可能性のある種類について説明します。また、UC で陰窩膿瘍がどのように発生するか、陰窩膿瘍のその他の原因とその治療法についても検討します。

アリスス/ゲッティイメージズ

上皮層は、胃腸 (GI) 管の大腸や小腸などの臓器の内側を覆う細胞の層です。この層は折り重なり、腺として機能する陰窩として知られる空洞または袋を形成します。

陰窩膿瘍は、陰窩内に炎症細胞が蓄積すると発生します。炎症性細胞の蓄積は周囲の細胞に損傷を与え、陰窩の物質の分泌や効果的な機能を妨げる可能性があります。

小さな陰窩膿瘍は自然に治る頻度は低いですが、他の種類の膿瘍では投薬や外科的介入が必要になる場合があります。

陰窩膿瘍の種類

好中球性とアポトーシス性の 2 種類の陰窩膿瘍が発生する可能性があります。

好中球性陰窩膿瘍には、体が感染症と闘うのを助ける白血球、つまり好中球が含まれています。アポトーシス性膿瘍には、不必要な細胞や異常な細胞を除去するアポトーシス性細胞が含まれており、これはプログラム細胞死としても知られています。

UCでは、炎症は通常直腸で始まり、結腸まで進行します。陰窩膿瘍は、活動性の炎症への反応として形成されます。潰瘍は、UC では一般に好中球性です。

陰窩の破壊は粘膜構造の損失を引き起こす可能性があり、結腸がより硬くなり、短くなります。 「鉛管」のような外観になる場合があります。

IBDで炎症が起こると、陰窩は次のような炎症性白血球で満たされます。

  • 死んだ細胞や瀕死の細胞を除去するマクロファージ
  • 細菌を攻撃する好中球
  • 樹状細胞が病原体に対する免疫応答を生成する
  • 損なわれた細胞を破壊するナチュラルキラーTリンパ球

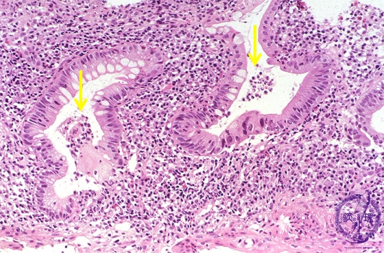
医師は、結腸の一部などの罹患組織のサンプルを採取することによって、UC患者の陰窩膿瘍を診断することがあります。これは生検として知られています。医師はこのサンプルを顕微鏡で観察し、細胞に構造変化があったかどうかを確認します。

UCでは、医師は陰窩膿瘍や粘膜潰瘍の形成を観察できる場合があります。これらの特徴は、結腸の粘膜および粘膜下層のみの関与を示している可能性があります。生検では、陰窩内に好中球などの炎症細胞の存在が示される場合もあります。

陰窩膿瘍の治療は、患者の潰瘍性大腸炎の重症度によって異なります。

医師は、 UC を治療するためにメサラミン、または 5-アミノサリチル酸を処方します。この薬剤は、炎症反応を調節することにより、消化管内の炎症の発生率を減らすのに役立つ可能性があります。

メサラミンは陰窩に浸透することで炎症細胞の数を減らします。これらの細胞を治療しないと膿瘍が生じます。

メサラミンはカプセルまたは錠剤として入手できます。ただし、浣腸、泡、または座薬として投与することもできます。

より重度の UC 患者の場合、医師はコルチコステロイドを処方する場合があります。コルチコステロイドは、免疫系の過剰活動を軽減し、胃腸炎を軽減するのに役立ちます。

IBD リソース

炎症性腸疾患 (IBD)に関する研究に裏付けられた情報と詳細なリソースについては、当社の専用ハブをご覧ください。

陰窩膿瘍は、他の病気や薬剤の結果として発生することもあります。その一部を以下に示します。

結腸がんに対する放射線治療

結腸がんまたは結腸直腸がんは、結腸内で無制限の細胞増殖が起こると発生します。

医師は放射線療法を使用して結腸がんを治療する場合があります。放射線には、高エネルギーの粒子または波を使用してがん細胞に損傷を与えたり破壊したりすることが含まれます。

この種類の治療の副作用の 1 つは、放射線治療中に体内の組織が高周波を吸収する可能性があることです。これらの波により、活性酸素種として知られる物質が体内で生成される可能性があります。これらは細胞内でアポトーシスを引き起こす可能性があります。

また、活性酸素種は消化管の陰窩に損傷を与える可能性があり、炎症細胞が陰窩に浸潤して陰窩膿瘍を引き起こす可能性もあります。

他の症状、感染症、または薬剤が陰窩膿瘍を引き起こす可能性があります。これらのいずれかが理由である場合、医師は次のような適切な治療法を推奨します。

クローン病

クローン病はIBD の別の形態です。消化管の炎症や刺激のほか、下痢、けいれん、体重減少などの症状を引き起こします。

治療には、UCの治療に使用される同様の薬剤や、シクロスポリンメトトレキサートなどの免疫調節薬が含まれる場合があります。

処理

治療には、コルチコステロイドやスルファサラジンなどの抗炎症薬の使用が含まれる場合があります。さらに重症の場合は手術が必要になる場合があります。ただし、術後の合併症の発生率が高いため、医療専門家はこれを最後の手段と考える場合があります。

感染症

感染症も陰窩膿瘍を引き起こす可能性があります。たとえば、ヘリコバクター ピロリ (H. ピロリ) またはサイトメガロウイルス (CMV) に感染している人は、陰窩膿瘍を経験することがあります。

どちらの感染も炎症を引き起こし、炎症細胞が陰窩や膿瘍に浸潤する可能性があります。

処理

ピロリ菌の治療には、以下の 3 重療法が含まれる場合があります。

一方、CMVの治療には抗ウイルス薬が含まれる場合があります。

一部の薬剤は陰窩膿瘍を引き起こす可能性があります。たとえば、ミコフェノール酸モフェチル (MMF) は自己免疫疾患を治療する免疫抑制薬であり、医師は臓器や骨髄の移植後にそれを使用します。

ただし、MMF は症例の 45% で胃腸症状も引き起こします。この薬剤は陰窩細胞のアポトーシスを引き起こし、陰窩細胞の歪みや膿瘍を引き起こす可能性があります。

処理

胃腸症状のある人の場合、医師はMMFの投与を中止することがあります。症状が改善しない場合は、プレドニゾロンやインフリキシマブなどのステロイドが処方されることもあります。

陰窩膿瘍は、消化管の陰窩に炎症細胞が蓄積すると発生します。結腸および直腸の炎症により、UC で陰窩膿瘍が発生することがあります。

医師は、患部のサンプルを採取し、陰窩の変化と炎症細胞の存在を顕微鏡で観察することによって、UC における陰窩膿瘍を診断します。

陰窩膿瘍のその他の原因には、クローン病、放射線、投薬、感染症などがあり、その中には医師が推奨する適切な治療法があるものもあります。

潰瘍性大腸炎における陰窩膿瘍について知っておくべきこと・関連動画

参考文献一覧

  1. https://www.osmosis.org/answers/crypt-abscess
  2. https://www.ncbi.nlm.nih.gov/books/NBK551714/
  3. https://www.ncbi.nlm.nih.gov/pmc/articles/PMC6790127/
  4. https://www.ncbi.nlm.nih.gov/pmc/articles/PMC6232561/
  5. https://www.ncbi.nlm.nih.gov/pmc/articles/PMC6292355/
  6. https://www.ncbi.nlm.nih.gov/books/NBK459185/
  7. https://www.cancer.org/treatment/treatments-and-side-effect/treatment-types/radiation/basics.html
  8. https://www.niddk.nih.gov/health-information/digestive-diseases/crohns-disease/symptoms-causes
  9. https://www.crohnscolitisfoundation.org/what-is-ibd/medication/corticosteroids
  10. https://www.ncbi.nlm.nih.gov/pmc/articles/PMC7705778/
  11. https://www.cancer.org/cancer/colon-rectal-cancer/about/what-is-colorectal-cancer.html
  12. https://www.ncbi.nlm.nih.gov/books/NBK534233/
  13. https://www.ncbi.nlm.nih.gov/books/NBK470312/
  14. https://www.ncbi.nlm.nih.gov/pmc/articles/PMC7041651/

ご利用の際のお願い
当サイトの情報は、健康に関する知識を深めるための参考資料としてご活用ください。しかし、最終的な判断は必ず医師と相談の上行ってください。
当サイトの情報を利用したことによるトラブルや損害について、運営者は一切の責任を負いかねますので、あらかじめご了承ください。