結核(TB)は、治療を行った場合でも数か月続くことがあります。症状が治癒するまでにかかる時間はさまざまです。それは結核が潜在性であるか活動性であるかに依存する可能性があります。
結核(TB)は、空気を介して人から人へと広がる細菌性疾患です。結核菌は結核を引き起こします。この病気は通常、肺に影響を与えますが、体の他の領域に広がる可能性があります。これらには、脊椎、腎臓、脳などが含まれます。
結核の治療は数か月続く場合があります。活動性結核の治療は、潜在性結核の治療よりも長く続く場合があります。結核の一部の株は薬剤に耐性があります。これらの菌株の治療には、通常の結核よりもはるかに時間がかかる場合があります。
この記事では結核の種類とその治療法について説明します。また、多剤耐性結核と結核とともに生きることについても考察します。
結核は潜在性または活動性の可能性があります。
潜在性結核は、人が結核菌を吸い込んだ場合に発生しますが、発病はしません。潜在性結核の場合、免疫システムが細菌の増殖と活動化を防ぎます。
潜在性結核は、特に免疫力が低下している人の場合、時間の経過とともに活動性結核に進行する可能性があります。しかし、多くの場合、病気は不活性なままであり、細菌が増殖したり活動したりしないことを意味します。
潜在性結核を患っている人:
- 結核の症状がない
- 結核菌を他人に広めることはできません
- 治療なしで活動性結核を発症する可能性がある
- 通常、血液検査または皮膚検査で結核陽性と判定される
活動性結核は、人が結核菌を吸い込み、免疫システムが結核の増殖を阻止できない場合に発生します。
人によっては、細菌にさらされるとすぐに活動性結核を発症する場合があります。また、数年後に初めて病気が発症する人もいます。
活動性結核患者は、次のような症状を経験することがあります。
活動性結核患者は他の人に細菌を広める可能性があります。
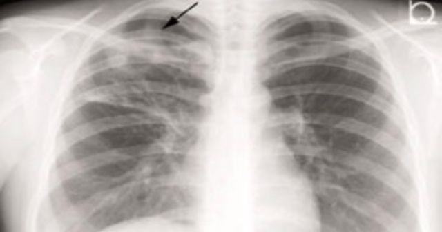
結核の皮膚検査または血液検査は、喀痰培養検査または塗抹検査と同様に、通常、陽性結果をもたらします。胸部X線検査でも異常が見つかる場合があります。
結核が治癒するまでにかかる時間は、さまざまな要因によって異なります。活動性結核の治療は、潜在性結核の治療よりも時間がかかる場合があります。
アクティブ
活動性結核の治療は通常 6 ~ 12 か月続きます。複数の処方薬を服用し、医師の指示に注意深く従う必要があります。
潜在的
潜在性結核の治療は通常 3 ~ 9 か月続きます。これは、人が将来的に活動性結核を発症するのを防ぐことを目的としています。
医師は潜在性結核と活動性結核を抗生物質で治療します。
結核の治療のために医師が処方する抗生物質には次のようなものがあります。
- リファンピン(リファジン、リマクタン)
- イソニアジド
- エサンブトール(ミャンブトール)
- ピラジナミド
- モキシフロキサシン
抗生物質による治療は、全期間にわたって毎日薬を服用した場合にのみ効果があります。医師は、結核の種類と重症度に応じて、3 ~ 12 か月間抗生物質を処方します。
薬を早期に中止したり、医師の指示に従って服用しなかったりすると、結核が治療に抵抗力を持つようになる可能性があります。薬剤耐性結核の治療にはさらに長い時間がかかり、潜在的に有害な副作用を伴う投薬が必要になる場合があります。
多剤耐性結核(MDR-TB)は、結核患者が結核薬を不適切に使用した場合に発生します。これは次のことが原因である可能性があります。
- 治療をすぐにやめてしまう人
- 医療従事者が抗生物質を誤って処方する
- 低品質の抗生物質
- 貧弱な医療インフラ
MDR-TB は通常、結核菌が 2 つの最も効果的な第一選択抗生物質であるリファンピンとイソニアジドに反応しない場合に発症します。
医師は第 2 選択の抗生物質で MDR-TB を治療できる場合があります。ただし、二次治療のオプションは通常、効果が低く、毒性が高くなります。
さらに、MDR-TB の治療にはさらに長い時間がかかり、より重篤な副作用が発生する可能性があります。
この薬剤耐性型の結核患者は、この病気により死亡するリスクも高くなります。
MDR-TBの治療と予防
MDR-TB の治療は複雑で、不適切な治療は死に至る場合があります。
ただし、医師は多剤耐性結核薬のリスクと利点を評価します。他の治療法が利用可能な場合は、それらを処方しない場合があります。
2022 年、世界保健機関 (WHO) は多剤耐性結核の治療に関する新しいガイドラインを発表しました。これらのガイドラインには、次の 4 つの経口薬の新しい 6 か月投与計画の推奨事項が含まれています。
- ベダキリン
- プレトマン朝
- リネゾリド
- モキシフロキサシン
WHOは、さまざまな種類の薬剤耐性結核を経験している人々にこの新しい治療法を推奨しています。この全経口治療オプションは、MDR-TB の治療時間を短縮するのに役立つ可能性があります。
MDR-TB を予防する最も効果的な方法は、医師の処方に従って薬を服用することです。抗生物質の服用を時期尚早にやめてはいけません。
活動性結核患者は他の人に細菌を広める可能性があります。結核の蔓延を防ぐ最も効果的な方法は、薬を正しく服用することです。
薬を 2 ~ 3 週間服用すると、結核菌を広めることができなくなる場合があります。ただし、医療専門家は、結核をもう広めることができないことを確認する必要があります。
結核の治療を受ける人は通常、医療専門家との面会に数回出席する必要があります。予約には、薬が有効かどうか、また他の人に細菌を感染させる可能性があるかどうかを判断するための検査が含まれる場合があります。検査には、胸部X線検査や痰の臨床検査が含まれる場合があります。
場合によっては、入院が必要になる場合もあります。結核菌の拡散を防ぐ通気口のある部屋に閉じ込められることもあります。
自宅にいるときに細菌を拡散させる可能性がある場合、拡散を軽減または回避するために講じられる手順は次のとおりです。
- 家にいる
- 家族や他の人から離れて寝る
- 医師の指示に従って薬を服用している
- 咳をしたり笑ったりするときは常に口を覆っている
- 部屋を換気する
治療計画によっては、直接観察療法 (DOT) が必要な場合があります。また、活動性結核に罹患している場合、感染力が非常に高いため、保健局が関与する可能性があります。このような場合、家族や濃厚接触者も評価する必要があります。
結核(TB)の治療は数か月続くことがあります。病気を治療するために、複数の抗生物質を服用する必要がある場合があります。活動性結核の治療は、潜在性結核の治療よりも長く続く場合があります。
早期に薬の服用を中止すると、多剤耐性結核(MDR-TB)を発症するリスクが生じる可能性があります。この形態の結核は、第一選択の結核治療に耐性があります。 MDR-TBは、より長く、より毒性が高く、複雑な治療を必要とし、死亡のリスクが高くなります。
結核はどのくらいの期間存続しますか?・関連動画
参考文献一覧
- https://www.cdc.gov/tb/publications/faqs/tb-qa.htm
- https://www.cdc.gov/tb/topic/basics/tbinfectiondisease.htm
- https://medlineplus.gov/tuberculosis.html
- https://bmcinfectdis.biomedcentral.com/articles/10.1186/s12879-019-3919-1
- https://www.cdc.gov/tb/topic/drtb/default.htm
- https://www.who.int/news-room/fact-sheets/detail/tuberculosis
- https://www.who.int/news/item/15-12-2022-who-announces-landmark-changes-in-treatment-of-drug- resistance-tuberculosis
