線維筋性異形成 (FMD) は、人の動脈壁内で余分な細胞の増殖を引き起こす稀な血管疾患です。これにより動脈が狭くなり、裂傷が生じる可能性があります。
口蹄疫はさまざまな動脈に影響を及ぼし、さまざまな兆候や症状を引き起こす可能性があります。
この記事では、口蹄疫とは何か、その兆候と症状の概要、および治療の選択肢について説明します。また、考えられる原因、危険因子、合併症なども強調表示されます。
口蹄疫は動脈に影響を与える稀な病気です。動脈壁で細胞の異常な発達を引き起こします。
これにより、影響を受けた動脈が狭くなります。また、動脈壁に裂傷が生じる可能性もあります。動脈の裂傷や狭窄により、これらの動脈を通る血流が制限されることがあります。
この病気は体内のあらゆる動脈に影響を与える可能性がありますが、最も一般的には腎動脈と頸動脈に影響を与えます。
腎動脈は腎臓に血液を運びます。頸動脈は血液を脳、首、顔に運びます。
口蹄疫が影響を与える可能性のあるその他の動脈には次のようなものがあります。
- 肝臓、脾臓、腸に血液を供給する腹部の動脈
- 腕と脚の動脈
口蹄疫患者の 50% 以上は、複数の動脈に病気の証拠を持っています。
口蹄疫はさまざまな年齢層の人に影響を与える可能性があります。しかし、この病気の平均年齢は48歳です。
口蹄疫患者は全く症状がない場合があります。症状は通常、口蹄疫がどの動脈に影響を及ぼしたかによって異なります。
腎動脈の口蹄疫を患っている人には、次のような兆候や症状が現れることがあります。
頸動脈に口蹄疫がある人には、次の症状が現れることがあります。
- 高血圧
- めまい
- 頭痛
- 耳鳴り
- 胸痛
- 息切れ
頸動脈の口蹄疫は、 脳卒中または「ミニ脳卒中」とも呼ばれる一過性脳虚血発作 (TIA)を示している可能性があります。脳卒中または TIA の症状は突然起こります。
- 特に体の片側の脱力感としびれ
- ろれつが回らない話し方
- 片側の顔の垂れ下がり
腹部に口蹄疫がある場合、次の症状が現れることがあります。
- 減量
- 倦怠感
- 食後の腹痛
鎖骨下動脈は頭、首、腕に血液を供給します。鎖骨下動脈に口蹄疫がある場合、次のような兆候や症状が現れることがあります。
- 上腕の筋力低下
- 感覚異常、手、腕、脚、または足の灼熱感またはチクチクする感覚
- 腕の痛み
- スティール症候群、血液が腕から逸れることを指し、失神を引き起こす可能性があります。
脚に血液を供給する動脈に口蹄疫がある場合、次の症状が現れることがあります。
- 歩くときの足の痛み
- 足が冷たい
- 足への血流が不足し、機能喪失、 壊疽、痛みを引き起こす可能性があります。
心臓に血液を供給する動脈に口蹄疫がある場合、胸痛や息切れが起こることがあります。
この場合の口蹄疫は、急性冠症候群の兆候である可能性があります。急性冠症候群の症状には、首、顎、または腕に広がる胸痛が含まれる場合があり、これは心臓発作を示している可能性があります。このような症状のある人には直ちに医師の診察が必要です。
口蹄疫の正確な原因は不明です。しかし、口蹄疫の原因についてはいくつかの一般的な理論があります。
遺伝学
口蹄疫患者の約 11% には、家族に口蹄疫を患っている人がいます。これは、遺伝的つながりがある可能性を示唆しています。
ホルモン
口蹄疫は男性よりも女性にはるかに一般的です。一部の科学者は、ホルモンがこの病気の発症に重要な役割を果たしている可能性があると理論化しています。
ただし、ホルモンが口蹄疫に関与しているかどうかを確認するには、さらなる研究が必要です。
喫煙
喫煙は口蹄疫の発症に関与している可能性があります。口蹄疫患者の喫煙者の割合は一般集団よりも高い。
口蹄疫は腎動脈狭窄を引き起こす可能性があります。腎動脈狭窄症の10~20%を占めます。
腎動脈狭窄は、腎動脈の一方または両方が狭くなる状態です。腎動脈は腎臓に血液を運びます。
腎動脈狭窄は、二次性高血圧、つまり基礎疾患による高血圧の最も一般的な原因です。
口蹄疫のその他の合併症には次のようなものがあります。
- TIA
- 脳卒中
- 耳鳴り
- 盗み症候群
- 急性冠症候群
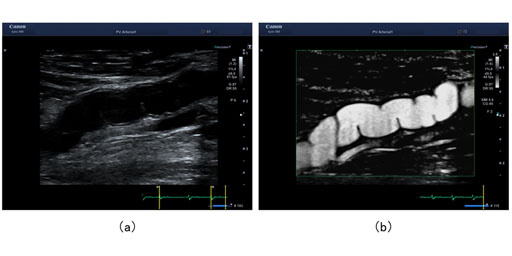
口蹄疫を診断するには、医師は血管を観察する検査を実施する必要があります。
以下は、医師が動脈の画像を作成するために使用できる 3 つの検査です。
- 二重超音波:この検査では、高周波音波を使用して血管の画像を作成します。血管を通る血流の速度を測定できます。
- CT スキャン: CT スキャンでは、複数の X 線からの画像を使用して、体内の構造の詳細な画像を生成します。医師は CT スキャンを使用して動脈の詳細な画像を撮影できます。
- MRI スキャン: MRI スキャンでは、強力な磁場と電波を使用して動脈の詳細な画像を作成します。
医療専門家が動脈造影検査を行うこともあります。この手順では、影響を受けた動脈またはその近くにワイヤーを挿入します。次に、医療専門家は動脈に造影剤を注入します。造影剤は、医療専門家が X 線を使用して検出できる染料です。
染料を注入した後、医療専門家は患部の X 線写真を撮ります。 X 線は、染料が人の動脈内をどのように移動するかを示すことができ、医師の診断に役立ちます。
この手順には通常 1 ~ 2 時間かかります。通常、手術後 6 時間以内に回復します。
口蹄疫には治療法がありません。ただし、いくつかの治療オプションは病気の管理に役立ちます。
口蹄疫の治療選択肢は、以下に重点を置く傾向があります。
- 危険因子の制御
- 血圧の管理
- 体の特定の部分への血流の制限を防ぐ
口蹄疫の急性症状の治療
口蹄疫が原因で TIA が発生した場合、医師は脳への血流を改善するために TIA を治療する必要があります。
医師は血栓溶解薬を使用して TIA を治療する場合があります。血栓溶解薬は、主要な血栓を迅速に溶解して血液供給を改善することによって作用する薬です。
場合によっては、外科医は経皮的血栓除去術を行うこともあります。この外科手術では、カテーテルまたはその他の装置を使用して血管から血栓を除去します。
動脈解離とは、動脈の内壁に沿った裂傷の形成を指します。この裂傷により、動脈壁に小さな袋が形成されることがあります。この袋は血液でいっぱいになる可能性があります。
袋内に血液が蓄積すると、血栓が形成され、血流が遮断される可能性があります。
口蹄疫によって動脈解離が起こった場合、医師は抗凝固薬で治療することがあります。これらの薬は、血栓を予防し、血流を助け、脳卒中のリスクを下げることを目的としています。
高血圧の治療
口蹄疫が原因で高血圧になっている場合は、薬が役立ちます。
口蹄疫誘発性高血圧の治療時に医療専門家が処方する最も一般的な 2 つの薬は次のとおりです。
- アンジオテンシン変換酵素 (ACE) 阻害剤:アンジオテンシン II は、血圧を上昇させるホルモンです。 ACE阻害剤はこのホルモンのレベルを低下させ、血管を拡張させます。これにより、血液の流れが容易になり、血圧が下がります。
- アンジオテンシン受容体拮抗薬 (ARB): ARB はアンジオテンシン II の量を減少させませんが、アンジオテンシン II ホルモンが心臓や血管に影響を与えるのを防ぎます。これにより血圧の上昇が防止されます。
これらの薬を服用している人は、医療専門家が腎機能を監視することがあります。急性腎損傷は治療を複雑にする場合があります。
血圧を下げるのに役立つ可能性のある他の薬には次のものがあります。
- 利尿薬:これらの薬は、排尿量を増やすことによって体から余分な水分を取り除きます。利尿薬は血液から水分を除去し、静脈や動脈を通る体液の流れを減少させます。これにより血圧が下がります。
- ベータ遮断薬:これらの薬は、人の心拍数と心臓の収縮力を低下させます。これにより、心臓の鼓動が遅くなり、力が弱まり、血圧が低下します。
- カルシウムチャネル遮断薬:これらの薬は、カルシウムが心臓や動脈の細胞に入るのを防ぎます。カルシウムは心臓や動脈をより強力に収縮させるため、これは血圧を下げるのに役立ちます。カルシウムをブロックすると、血管が弛緩して開き、血圧が下がります。
狭くなった動脈を広げる治療
場合によっては、医師は口蹄疫によって引き起こされた狭窄した動脈の治療を希望する場合があります。これらの治療は、動脈を通る血流を改善することを目的としています。
具体的な治療法は、どの動脈が狭窄しているかによって異なります。
これに対する最も一般的な治療法はバルーン血管形成術です。
この処置中、医療専門家は、収縮したバルーンが取り付けられた特別なチューブを、影響を受けた動脈に到達するまで動脈系に通します。次に、バルーンを膨らませて動脈の領域を広げ、血流を改善します。
まれに、動脈を広げて再び閉塞が起こる可能性を減らすためにステントが必要になる場合があります。
医療専門家は口蹄疫を良性の疾患であると考えることがよくあります。この病気にかかった人の多くは重篤な症状を経験せず、長生きします。
口蹄疫患者の将来に関する長期的なデータは不足しています。病気の進行は異常であり、病気を正確に評価することが難しい場合があります。
以下の場合、不良結果が発生する可能性が高くなります。
- 若者の脳神経に影響を与える口蹄疫
- 動脈解離を引き起こす口蹄疫
口蹄疫患者は、症状を管理するために特定のライフスタイル戦略を組み込むことができます。
これらには次のものが含まれます。
- 血圧を定期的にチェックする:口蹄疫患者は血圧を注意深く監視する必要があります。血圧が上昇している場合は、血圧の薬を処方してもらえる医師に連絡する必要があります。
- 禁煙:口蹄疫患者は喫煙をやめる必要があります。喫煙者は非喫煙者よりも進行性の口蹄疫を発症する可能性があります。医師は禁煙計画の作成を手伝ってくれます。
- 定期的な運動をする:定期的な運動は血圧を下げるのに役立ちます。また、心臓の健康を改善し、ストレスレベルを下げるのにも役立ち、高血圧の軽減にも役立ちます。
- 心臓に健康な食事:高血圧の軽減に役立つ食品を多く含む食事を食べることができます。これらの食品には次のものが含まれます。
- 果物と野菜
- 全粒穀物
- 低脂肪乳製品
- 皮のない鶏肉と魚
- ナッツ
- マメ科植物
- オリーブ油やひまわり油などの非熱帯植物油
口蹄疫の症状がある場合は、医師に相談する必要があります。良好な結果を得るには、早期の診断と治療が重要です。
突然、次のような脳卒中の症状が現れた場合は、緊急医療を受ける必要があります。
- 顔、腕、脚、特に体の片側のしびれや脱力感
- 混乱
- 話すことまたは言葉を理解することの困難
- 片目または両目での見え方の問題
- 歩行困難、めまい、平衡感覚の喪失、または調整能力の欠如
- 原因不明の激しい頭痛
上記の症状が発生した場合は、その人、または近くにいる人がすぐに 911 番または地域の救急サービスに通報する必要があります。
エーラス・ダンロス症候群は、体の結合組織に影響を及ぼす遺伝性疾患のグループです。
この疾患の血管サブタイプは血管に影響を与えます。医療専門家は、エーラス・ダンロス症候群の血管サブタイプを口蹄疫と関連付けます。
また、次のような他の疾患に関連した口蹄疫の単独の報告もあります。
口蹄疫と上記の疾患との直接的な関係を特定するには、さらなる研究が必要です。
口蹄疫は、動脈壁で細胞の異常な発達を引き起こす稀な病気です。これにより動脈が狭くなり、血流が制限されることがあります。
この病気は最も一般的に腎動脈と頸動脈に影響を与えます。口蹄疫の症状は、影響を受けた動脈によって異なります。
口蹄疫の治療は通常、危険因子を制御し、血圧を下げ、体の特定の部分への血流の制限を防ぐことを目的としています。
線維筋性異形成:治療、症状、原因・関連動画
参考文献一覧
- https://www.heart.org/en/health-topics/high-blood-pressure/changes-you-can-make-to-manage-high-blood-pressure/managing-blood-pressure-with-a-心臓の健康に良い食事
- https://www.ncbi.nlm.nih.gov/books/NBK493204/
- https://rarediseases.org/rare-diseases/fibromuscular-dysplasia/
- https://www.ncbi.nlm.nih.gov/books/NBK493204/#:~:text=Fibromuscular%20dysplasia%20(FMD)%20is%20a,can%20affect%20any%20arterial%20bed。
