慢性閉塞性肺疾患 (COPD) は、肺に損傷を引き起こす一連の疾患です。肺気腫は COPD の一種です。
COPD は下気道疾患のグループです。これらの病気は気道を損傷し、肺に慢性炎症を引き起こし、呼吸を困難にします。 COPD は慢性かつ進行性の病気であるため、治療法はありますが、治癒する方法はありません。
COPDという用語には、慢性気管支炎および肺気腫が含まれます。肺気腫のある人は COPD を患っていますが、COPD のある人は必ずしも肺気腫を患っているとは限りません。
COPDは米国の死因の第3位です。喫煙は COPD の主な原因ですが、職場の有毒化学物質や汚染などの他の有害物質への曝露も COPD を引き起こす可能性があります。
COPD と肺気腫とは何かについて詳しく知るために読み続けてください。
COPD は、進行性肺疾患、肺気腫、慢性気管支炎を総称した用語です。これらの状態は肺の機能を損ない、息切れ感を引き起こす可能性があります。
通常、人が呼吸すると、医師が気管支または気道と呼ぶ肺内の管に空気が入ります。これらの管は、より小さな経路である細気管支に分かれます。細気管支は肺胞、つまり小さな気嚢のグループで終わります。毛細血管はこれらの気嚢の壁を通って通っています。
通常、これらの細気管支と肺胞は弾力性があります。それぞれの気嚢は、人が息を吸うと小さな風船のように膨らみ、息を吐くとしぼみます。これにより、ガス交換、つまり二酸化炭素の除去と酸素の吸収が可能になります。
COPDでは、このプロセスが起こりにくくなり、気道を流れる空気が少なくなります。これは慢性炎症と気道の損傷が原因です。
気管支炎では、気管支内の組織が腫れて厚くなることがあります。粘液が蓄積してこれらの気道を詰まらせることもあります。肺気腫では、炎症は肺の気嚢を標的としますが、慢性気管支炎では、炎症は主に気管支内に起こります。 COPD 患者の中には両方の症状を抱えている人もいます。
COPDと肺気腫の原因はどちらも似ています。ほとんどの場合、喫煙歴が主な原因です。
肺気腫はCOPD の一種です。この状態では、気嚢の壁が損傷すると、肺内のガス交換能力に影響が生じます。嚢の内壁が弱くなり、形が崩れることがあります。これらの壁が壊れ、体のガス交換能力がさらに損なわれる可能性があります。
これにより肺の表面積が減少し、毛細血管を通って血流に取り込まれる酸素が減少します。
気嚢が損傷しているため、古い空気が逃げることができず、肺に滞留します。これにより、気嚢内に新鮮な空気が入る余地が少なくなり、体に新しい酸素を取り込む際の問題がさらに悪化します。
肺気腫は COPD の一種であるため、COPD と肺気腫は外見上の症状が似ています。これらの症状は現れるまでに時間がかかり、肺に重大な損傷が生じた後にのみ発生する場合があります。医師は症状のみに基づいてその人の COPD の種類を診断することはできません。
通常、人は身体活動中に COPD または肺気腫の最初の症状に気づきます。
これらの症状のいずれか、または両方を持つ人は、次のような症状を経験する可能性があります。
特に煙やその他の刺激物にさらされ続けると、症状は時間の経過とともに悪化する傾向があります。
肺気腫を含むあらゆる形態の COPD の最も一般的な原因は環境です。タバコの煙はCOPDの主な原因です。
医師が COPD と診断する症例は、男性よりも女性の方が多いです。
喘息は COPD 発症の危険因子であり、この 2 つが重なることもあります。医療専門家はこれを喘息と COPD の重複症候群と呼ぶことがあります。
環境要因
米国では、COPDと肺気腫の主な原因は喫煙によるタバコへの曝露です。国立心臓・肺・血液研究所は、COPD患者の最大70%が喫煙者、またはかつて喫煙していたと推定しています。
タバコの副流煙、大気汚染、または化学ガスを吸い込むことも COPD や肺気腫を引き起こす可能性があります。
遺伝的要因
喫煙をしたことがない、または他の刺激物への長期曝露を経験していないにもかかわらず、ある種の COPD や肺気腫を発症する可能性があります。
アルファ-1 アンチトリプシン欠損症(AATD) は、遺伝性のタイプの肺気腫です。これにより、抗プロテアーゼのレベルが低下し、肺にプロテアーゼ関連の損傷が生じる可能性があります。この状態は、変異したタンパク質が肝臓に蓄積すると肝臓障害を引き起こす可能性もあります。
COPD の症状の存在は、早期診断のための評価のきっかけとなるはずです。これにより治療へのアクセスが開かれ、生活の質の向上に役立つ可能性があります。残念なことに、多くの人はすでに肺に重度の損傷があるまで診断を受けません。
診断のために、医師は患者の症状、家族、病歴を調べ、肺の刺激物、特にタバコの煙への曝露について尋ねます。診断を確定するために、いくつかの検査を依頼する場合があります。
スパイロメトリー検査
医療専門家は通常、肺活量測定検査を使用して COPD の診断を確認します。
肺活量測定検査中、人は医師が肺活量計と呼ぶ機械に接続されたチューブに息を吹き込みます。この機械は、肺がどれだけの空気を保持できるか、そして人が肺からどれだけの速さで空気を吹き出すことができるかを測定します。
この検査では、症状が出る前に肺疾患を検出でき、病気の進行を追跡できる可能性があります。また、治療がどの程度うまく機能しているかを監視することもできます。
その他の肺機能検査
肺機能検査 (肺活量測定など) では、人が吸い込む空気の量と吐き出す空気の量を測定します。また、血液に十分な酸素を供給する肺の能力も検査します。
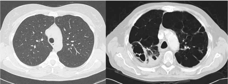
胸部X線またはCTスキャン
医師は COPD と肺気腫を診断するためにX 線とコンピューター断層撮影(CT) スキャンを使用することがあります。これらの画像検査では、がんや肺瘢痕の一種である肺線維症などの他の問題も特定できます。
血液ガス分析
この血液検査では、血液中の酸素と二酸化炭素の量を測定します。これにより、肺の機能がどの程度良好であるかを示すことができます。
その他の血液検査
血液検査は COPD や肺気腫を診断するものではありませんが、他の病気が肺機能の問題を引き起こしている可能性があるかどうかを確認または除外するのに役立ちます。重要なのは、血液検査で AATD などの遺伝病を診断できることです。
肺気腫を含むいかなる形態の COPD にも治療法はありませんが、治療は病気の進行を遅らせ、症状を管理するのに役立ちます。
治療には、内科的、外科的、治療的介入が含まれます。
医療行為
COPD および肺気腫の治療法には、吸入薬や経口薬が含まれる場合があります。
多くの場合、オプションには次のものが含まれます。
呼吸療法とリハビリテーション
医師は呼吸療法やリハビリテーションを勧めることもあります。
呼吸リハビリテーション プログラムの一環として、個人は呼吸と運動能力を向上させる新しい方法を学ぶことができます。治療は、人の生活の質を改善し、入院の頻度と期間を短縮することを目的としています。
このリハビリテーション中に、人々は次のことを学ぶことができます。
- 呼吸法
- 運動トレーニング
- 栄養カウンセリング
- 肺の状態の管理に関する教育
肺に重度の損傷があり、酸素レベルが低いままの場合、医師は酸素補充療法を推奨することがあります。
これには、マスクまたは鼻孔を介して酸素タンクから呼吸する人が含まれます。人の酸素レベルに応じて、これらのデバイスから継続的に呼吸する必要がある場合もあれば、1 日の特定の時間にのみ呼吸する必要がある場合もあります。
呼吸リハビリテーションについて詳しくはこちらをご覧ください。
手術
生活の質を改善し、病気の症状を管理するために手術が必要になる人もいます。
オプションには次のものが含まれます。
- 肺移植:外科医は、COPDで損傷した肺をドナーからの健康な肺と置き換えます。すべての人に適しているわけではなく、臓器拒絶反応などの大きなリスクがあります。
- 肺容積の減少:損傷した肺組織を除去することで肺容積を減少させ、酸素と二酸化炭素のガス交換を改善します。
- 嚢摘出術:これには、気嚢が損傷したときに肺に形成される、嚢として知られる大きな空隙を除去することが含まれます。水疱を除去すると、酸素と二酸化炭素のガス交換も促進されます。
COPD および肺気腫の治療をいつ受けるべきかを判断することは、初期症状が明らかではないため、難しい場合があります。上記の症状を経験した人は直ちに医師に相談してください。
すでに治療を受けている場合、次のいずれかが発生した場合は医師の診察を受ける必要があります。
- 通常よりもひどい、または頻繁な息切れ
- 粘液や痰の色、量、濃さの変化
- 粘液や痰が血まみれになる
- 咳や喘鳴の増加
- 足を上げて寝ても足や足首のむくみが治らない
- 頭痛やめまい、最も頻繁に起こるのは午前中
- 発熱、特にインフルエンザのような症状を伴う場合
- 原因不明の重度の衰弱
- 混乱または見当識障害
薬を飲んでも改善しない新たな息切れや呼吸困難を経験した人は、医師の診察を受ける必要があります。
喫煙は COPD の重大な危険因子です。禁煙すると、慢性気道損傷やあらゆる形態の COPD のリスクが軽減されます。
リスクを下げるために個人が実行できるその他の手順には、次のようなものがあります。
- 副流煙を避ける
- 保護具を着用することで職場の毒素への曝露を最小限に抑える
- 汚染された地域を避ける、または汚染がひどい時には外出する
COPD予防について詳しくは、こちらをご覧ください。
COPD を管理すると、人の生活の質が向上し、病気の進行を遅らせることができます。
COPD および肺気腫とともに生きるためのヒントは次のとおりです。
- 禁煙:喫煙は COPD や肺気腫を引き起こし、悪化させるため、診断後できるだけ早く禁煙することが重要です。
- 呼吸の制御:呼吸リハビリテーションで学んだテクニックを使用して、息切れを管理できます。
- 健康的な食事を摂る:これは体力を維持し、免疫システムを高めるのに役立ちます。
- 十分な運動をする:活動すると持久力が向上し、肺機能が向上するため、症状が軽減されます。定期的な身体活動も気分、体力、バランスを改善します。
- 粘液の管理:咳をコントロールし、水分を補給して気道から粘液を除去することが役立ちます。
- 汚染物質を避ける:受動喫煙を避け、空気の質が悪い日は屋内に留まることで、病気の進行を遅らせることができます。
COPD患者は医師の指示に従い、処方された薬をすべて服用し、定期的に医師の診察を受ける必要があります。
喫煙歴の長さに関係なく、禁煙にはメリットがあります。タバコに含まれるニコチンに依存しすぎるため、禁煙が難しいと感じる人もいます。次の戦略を試してみるとよいでしょう。
- できるだけ早くやめるには、減量しようとするのではなく、「冷たい七面鳥」を食べてください。
- 禁煙日のスケジュールを立て、リソースのリストを作成し、食欲を管理する計画を立てるなど、禁煙計画を立てましょう。
- 禁煙に費やす一瞬一瞬を投資として扱いましょう。タバコを吸わずに長く続けられるほど、ニコチンへの依存からの脱却に近づきます。
- 禁煙を容易にするために医学的治療を利用してください。禁煙に役立つ薬やニコチン代替療法について医師に尋ねることができます。
- 喫煙を運動などのより健康的な習慣に置き換えてみてください。
- 人の辞める理由のリストを作成し、欲求が生じたときにそれを参照してください。
- 禁煙は時間と練習が必要なプロセスとして扱いましょう。一度は辞められなかったとしても、次回からは辞めやすくなるようなことを学ぶかもしれません。
- 追加のサポートが必要な場合は、1-800-QUIT-NOW などの終了ラインを使用してみるとよいでしょう。
電子タバコとCOPD
電子タバコ、または電子タバコは、蒸気のようなエアロゾルを吸入および吐き出すために使用するガジェットです。喫煙の代わりにこの形式でニコチンを摂取する人もいます。しかし、科学者は電子タバコの長期的な健康への影響を十分に認識していません。
米国心臓協会は、禁煙を試みている人に対して、電子タバコを避け、代わりに他の実証済みの禁煙方法を試すよう推奨しています。
研究によると、COPD患者は禁煙方法として電子タバコの使用を避けるべきであることが示唆されています。電子タバコには、炎症や肺の損傷を刺激する従来のタバコと同様の作用があります。
電子タバコとCOPDのリスクについて詳しくは、こちらをご覧ください。
慢性気管支炎と肺気腫にはいくつかの類似点があります。これには、家族歴、治療法、その他いくつかの危険因子の共有が含まれる場合があります。
たとえば、どちらも同様の症状を引き起こしますが、症状だけではどちらの症状であるかを判断することはできません。症状の潜在的な違いには次のようなものがあります。
- 病気:慢性気管支炎のある人は、慢性の咳などの呼吸器感染症に似た症状を示すことがあります。
- 粘液の生成:慢性気管支炎は気管支に影響を与えます。これにより過剰な粘液が生成され、咳が激しくなる可能性があります。胸や喉が詰まったように感じることもあります。
- 呼吸困難:どちらの症状も呼吸困難を引き起こしますが、肺気腫は肺内のガス交換を可能にする嚢を直接攻撃します。これにより、さらに呼吸困難が生じたり、唇や爪が青くなるなどの症状が生じることがあります。
COPD はいくつかの肺疾患を指しますが、肺気腫もその 1 つです。
COPD と肺気腫は生命を脅かす可能性があります。人々がその兆候を認識し、症状に対処する方法を学ぶことが重要です。
喫煙をやめ、近くで喫煙しないように他の人に頼むことで、肺気腫や COPD のリスクを大幅に減らすことができます。喫煙者は禁煙計画を立て、禁煙のサポートが必要な場合は医師に相談する必要があります。
COPD 対 肺気腫・関連動画
参考文献一覧
- https://www.sciencedirect.com/science/article/pii/S1323893018300017?via%3Dihub
- https://openres.ersjournals.com/content/5/1/00192-2018
- https://www.ncbi.nlm.nih.gov/books/NBK559281/
- 電話:1-800-784-8669
- https://www.cdc.gov/dotw/copd/index.html
- https://www.nhlbi.nih.gov/health-topics/copd
- https://www.aafp.org/dam/AAFP/documents/journals/fpm/COPD-Asthma.pdf
- https://www.nhs.uk/conditions/home-oxygen-treatment/
- https://www.cdc.gov/tobacco/campaign/tips/quit-smoking/index.html
- https://www.cdc.gov/tobacco/basic_information/health_Effects/respiratory/index.htm
- https://www.ncbi.nlm.nih.gov/pmc/articles/PMC5577926/
- https://www.nhlbi.nih.gov/health-topics/pulmonary-rehabilitation
- https://www.heart.org/en/healthy-living/healthy-lifestyle/quit-smoking-tobacco/is-vaping-safer-than-smoking
- https://www.nhlbi.nih.gov/health/copd
- https://pubmed.ncbi.nlm.nih.gov/32779016/
- https://www.cdc.gov/copd/basics-about.html
