カテゴリー: 胆嚢

胆嚢

  • 結石性胆嚢炎とは何ですか?

    結石性胆嚢炎は、胆石(胆石症)の存在により発生する胆嚢の炎症です。

    これらの胆石は、胆嚢から小腸まで胆汁が流れる経路である胆嚢管を詰まらせる可能性があります。

    この閉塞により胆嚢内に胆汁が蓄積し、炎症や感染症を引き起こします。

    この記事では、結石性胆嚢炎について知っておくべきことを説明します。

    ヘレン・キング/ゲッティイメージズ

    急性結石性胆嚢炎は胆石による胆嚢管の閉塞による胆嚢の突然の炎症です。この状態は多くの場合、直ちに医師の診察を必要とする重度の症状を示します。

    慢性結石性胆嚢炎は、胆石閉塞の繰り返しにより生じる長期にわたる胆嚢炎症です。胆嚢壁の肥厚、線維化、胆嚢機能の低下につながります。

    結石性胆嚢炎に罹患すると、次のような症状が現れることがあります。

    • 重度の右上腹部の痛み:痛みは突然激しく、右肩または背中に広がり、脂肪の多い食べ物を食べた後に悪化することがよくあります。
    • 発熱と悪寒:これらは感染症や炎症を示しており、全身倦怠感を伴うことがよくあります。
    • 吐き気と嘔吐:胃腸管の炎症によりよく起こります。
    • 陽性マーフィー徴候:誰かが胆嚢上の領域を押すと痛みが生じ、突然呼吸が停止します。
    • 黄疸 (場合によっては):皮膚と目の黄変は、胆管の病気 (総胆管結石症) の可能性を示唆している可能性があります。

    胆石が胆嚢管を閉塞すると、急性結石性胆嚢炎の原因となります。

    この閉塞により胆嚢内に胆汁が蓄積し、炎症や感染症を引き起こします。

    胆石は、主にコレステロールまたはビリルビンなどの消化液の固まった沈着物から形成されます。これらは胆嚢管を遮断し、胆汁が胆嚢から流出するのを防ぎます。

    閉塞とは、胆汁が胆嚢から出られないことを意味し、胆汁が蓄積して停滞し、炎症を促進します。

    細菌は停滞した胆汁にも感染し、胆嚢壁のさらなる炎症や感染を引き起こす可能性があります。

    濃縮胆汁の蓄積自体も胆嚢内層を刺激して損傷し、炎症を引き起こす可能性があります。

    医師は病歴、身体検査、およびさまざまな診断検査を組み合わせて結石性胆嚢炎を診断します。

    医師は、腹痛の性質、期間、強さ、さらには発熱吐き気、嘔吐、黄疸などの関連症状について質問します。また、最近の体重減少、食事、胆石の家族歴、同様の痛みの過去のエピソードなどの危険因子も判断します。

    身体検査では、右上腹部の圧痛をチェックできます。マーフィー徴候テストを実行するには、右上腹部を押して深呼吸するように依頼します。痛みと突然の呼吸停止はマーフィー徴候陽性を示し、胆嚢の炎症を示唆します。

    医師が実施する血液検査には次のようなものがあります。

    使用できる画像検査には次のものがあります。

    • 超音波:結石性胆嚢炎を診断するための主要かつ最も効果的な画像検査です。胆石を検出し、胆嚢炎症の兆候 (胆嚢壁の肥厚、拡張) を示し、胆嚢周囲の液体 (胆嚢周囲液) を識別できます。
    • 肝胆道イミノ二酢酸 (HIDA) スキャン:この検査では、胆嚢機能と、超音波結果が決定的でない場合に胆嚢管に閉塞があるかどうかを評価します。 HIDA スキャンで胆嚢が満たされていない場合は、胆嚢管閉塞を示します。
    • コンピューター断層撮影 (CT) スキャン: CT スキャンでは、胆嚢と周囲の構造の詳細な画像が得られます。胆嚢穿孔や膿瘍などの合併症の特定に役立ちます。
    • 磁気共鳴胆管膵管造影:この非侵襲的画像検査は胆管と胆嚢を視覚化し、それら内の結石を検出できます。

    結石性胆嚢炎の治療には通常、次のような内容が含まれます。

    初期の医学的管理

    • 入院:急性結石性胆嚢炎の患者のほとんどは、綿密な監視と治療のために入院が必要です。
    • 断食 (NPO):胆嚢を休ませ、胆汁生成の刺激を減らすために口からの飲食を禁止します。
    • 静脈内輸液:水分補給を維持し、電解質の不均衡を修正します。
    • 痛みの管理:医師は痛みをコントロールするために鎮痛剤を投与します。
    • 抗生物質:医師は、特に感染の兆候(発熱や白血球数の上昇)がある場合に、感染症の治療または予防のためにこれらを使用します。

    胆嚢摘出術(胆嚢除去術)

    腹腔鏡下胆嚢摘出術が最も一般的で好ましい方法です。小さな切開で侵襲性が低く、回復が早く、痛みも少ないです。複雑な症例や腹腔鏡手術が不可能な場合には、開腹胆嚢摘出術が必要になる場合があります。

    結石性胆嚢炎の患者のほとんどは、手術を含む早期かつ適切な治療を受ければ良好な見通しが得られます。

    治療が遅れたり、重大な基礎健康上の問題を抱えている場合には、重篤な合併症が発生するリスクが存在します。

    胆嚢を切除すると、通常、症状が大幅に軽減され、全体的な健康状態が改善されます。

    急性胆嚢炎は自然に治りますか?

    急性胆嚢炎は通常、自然に解決することはなく、医師の治療が必要です。適切な管理を行わないと、胆嚢破裂、腹膜炎、敗血症などの重篤な合併症を引き起こす可能性があります。

    急性胆嚢炎ってどれくらい痛いの?

    急性胆嚢炎は通常、非常に痛みを伴います。通常、痛みは重度で右上腹部に局在し、背中や右肩まで広がることがよくあります。痛みは鋭くて激しい場合があり、動くことや快適な姿勢を見つけることが困難になります。

    結石性胆嚢炎の最良の治療法は何ですか?

    結石性胆嚢炎の最良の治療法には、通常、医学的管理と外科的介入の組み合わせが含まれます。

    医療管理には次のものが含まれます。

    • 胆嚢を休ませるための入院と絶食
    • 水分補給を維持するための点滴
    • 鎮痛剤による痛みの管理
    • あらゆる感​​染症を治療するための抗生物質

    胆嚢摘出術(胆嚢の除去)は根治的な外科治療です。ほとんどの場合、医師はこれを腹腔鏡(低侵襲手術)で行うことができ、より複雑な場合には開腹手術として行うことができます。

    結石性胆嚢炎を理解することは、タイムリーな診断と重篤な合併症を防ぐ効果的な治療のために非常に重要です。

    この症状の疑いがある場合は、直ちに医師の診察を受ける必要があります。

    結石性胆嚢炎とは何ですか?・関連動画

    参考文献一覧

    1. https://www.niddk.nih.gov/health-information/digestive-diseases/gallstones
    2. https://pubmed.ncbi.nlm.nih.gov/29132521/
    3. https://www.ncbi.nlm.nih.gov/books/NBK539698/
    4. https://www.radiologyinfo.org/en/info/cholecystitis#6ec7b9be1ad14ea5b0539c4f98f9afdc
    5. https://medlineplus.gov/lab-tests/complete-blood-count-cbc/
    6. https://www.ncbi.nlm.nih.gov/books/NBK448145/
    7. https://www.ncbi.nlm.nih.gov/pmc/articles/PMC5442405/
    8. https://www.ncbi.nlm.nih.gov/books/NBK482489/
    9. https://www.ncbi.nlm.nih.gov/books/NBK459171/
    10. https://rarediseases.org/rare-diseases/胆嚢炎/
    11. https://www.ncbi.nlm.nih.gov/books/NBK470236/
    12. https://www.ncbi.nlm.nih.gov/books/NBK568804/
    13. https://www.sciencedirect.com/science/article/abs/pii/S0009912017303569?via%3Dihub
  • 胆嚢がんによる痛みについて知っておくべきこと

    胆嚢がんは無症状の場合もありますが、腹痛を感じる人もいます。医師は胆嚢がんの痛みを市販薬または処方鎮痛薬で治療することがあります。

    胆嚢がんはまれで、通常は臓器の内層にある腺様細胞から発生します。

    症状は通常、がんのより進行した段階で発生します。胆嚢がん患者のほとんどは腹痛を経験します。

    この記事では、胆嚢がんの症状、胆嚢がんの痛みがどのようなものであるか、がんの治療と見通し、痛みやその他の症状に対するサポートを受ける方法について説明します。

    ココサン/ゲッティイメージズ

    米国癌協会 (ACS) によると、胆嚢癌患者のほとんどは病気の初期段階では症状を経験しません。

    ただし、胆嚢がんの症状が進行すると、腹痛は最も一般的な症状の 1 つとなります。

    2019年の研究では、最近胆嚢がんと診断された62人のサンプルサイズのうち、92%が症状として痛みを経験していることがわかりました。

    胆嚢がんの後期段階で発生する可能性のあるその他の一般的な症状は次のとおりです。

    胆嚢がんはまれであり、胆嚢の炎症である胆嚢炎などの他の疾患と症状を共有します。医師に相談すると、上記の症状の原因を知ることができます。

    胆嚢がんにより、腹部の右上部分に痛みが生じることがあります。英国の国民保健サービス(NHS)によると、これは痛みを伴う引きずる感情である可能性があるという。

    胆石やがんによって胆管が詰まると、痛みが鋭く感じられることもあります。

    痛みの持続時間と頻度はさまざまで、断続的な場合もあれば持続的な場合もあります。

    胆嚢がんが進行すると痛みは悪化しますか?

    痛みは胆嚢がんの一般的な症状ですが、通常はがんが進行期に進行するまで痛みを経験しません。

    肝臓や他の臓器を拡張するがん細胞の増殖により痛みが発生することがあります。がんが十分に大きくなると胆嚢の胆管を閉塞する可能性があり、さらなる痛みを引き起こす可能性があります。

    ACSは、胆嚢がんはまれであり、漠然とした症状が他の疾患を示す可能性があることを強調しています。胆嚢がんと診断されていない場合、腹痛は次のような別の状態を示している可能性があります。

    腹痛の潜在的な原因について詳しく学びましょう。

    初期段階では、医師は胆嚢がんを外科的に切除することによって治療することを目指しています。しかし、それが不可能な場合、治療は症状を管理し、患者の生活の質を改善するために緩和的なものとなる場合があります。

    ACS によると、胆嚢がんの痛みに対する緩和療法には次のようなものがあります。

    • 鎮痛薬
    • 胆管の排出
    • 閉塞した胆管を開くためのステント
    • アルコール注射
    • 放射線治療
    • 化学療法
    • 胆汁の排出を助ける胆道バイパス術などの緩和手術

    医師は温熱療法や免疫療​​法などの新しい治療法の臨床試験を提案することもあります。

    胆嚢がんの見通しは、その種類やステージなどの要因によって異なります。痛みやその他の症状は通常、胆嚢がんの初期段階ではなく、進行するにつれて発生します。

    ACS によると、5 年相対生存率は次のとおりです。

    • 胆嚢を超えて転移していない限局性胆嚢がんの場合は 69%
    • 近くのリンパ節または構造に転移した局所胆嚢がんの場合は 28%
    • 体の遠隔領域に転移した遠隔胆嚢がんの場合は 3%

    これらの統計は、他の胆嚢がん患者のデータを使用して、診断後 5 年間生存する可能性を推定します。

    以下のリソースは、胆嚢がんや痛みなどの症状に対処するのに役立ちます。

    • Cancer Survivors Network は、がん患者、家族、友人、介護者、生存者をつなぐピアサポート コミュニティです。
    • CaringBridge は、個人ページを作成して連絡を取り合い、サポート ネットワークと自分の旅を共有できる無料のオンライン ツールです。
    • 国立がん研究所は、人々が近くのサポートやリソース サービスを見つけるのに役立つ無料のオンライン ツール、オンライン チャット サービス、および 800-422-6237 に電話できるヘルプラインを提供しています。

    サポート サービスについて医師や医療専門家チームと話し合うことができ、他の有用なリソースや地域のサポート グループを提案してもらえる場合もあります。

    胆嚢がんは、病気の初期段階では症状を引き起こさない場合があります。ただし、痛みは進行期の胆嚢がんの一般的な症状です。

    胆嚢がんによる痛みは、右上腹部がズキズキと引きずられる感覚である場合があります。鋭い感じだと表現する人もいます。痛みの強さや持続時間はさまざまです。

    医師は胆嚢がんによる痛みを薬物療法、痛みを遮断する処置、臓器からの胆汁の流れを変える処置、または緩和的な化学療法で治療することがあります。

    胆嚢がんによる痛みについて知っておくべきこと・関連動画

    https://www.youtube.com/shorts/yMIrnLFTwZY

    参考文献一覧

    1. https://www.cancer.org/cancer/managing-cancer/palliative-care.html
    2. https://supportorgs.cancer.gov/home.aspx?lang=1
    3. https://www.ncbi.nlm.nih.gov/pmc/articles/PMC6812429/
    4. https://www.cancerresearchuk.org/about-cancer/gallbladder-cancer/symptoms
    5. https://www.cancer.gov/contact
    6. https://www.nhs.uk/conditions/gallbladder-cancer/symptoms/
    7. https://www.cancer.gov/types/gallbladder/patient/gallbladder-treatment-pdq
    8. https://www.cancer.org/cancer/types/gallbladder-cancer/detection-diagnosis-staging/survival-rates.html
    9. https://www.cancer.org/cancer/types/gallbladder-cancer/detection-diagnosis-staging/signs-and-symptoms.html
    10. https://www.cancer.org/cancer/types/gallbladder-cancer/about/what-is-gallbladder-cancer.html
    11. https://www.cancer.org/cancer/types/gallbladder-cancer/treating/treating-by-stage.html
    12. https://www.cancer.org/cancer/types/gallbladder-cancer/treating/palliative-therapy.html
    13. https://csn.cancer.org/
    14. https://www.caringbridge.org/
  • 壊疽性胆嚢炎について知っておくべきこと

    壊疽性胆嚢炎、つまり胆嚢の壊疽は、胆嚢炎による重度の炎症が組織の死に至る場合に発生します。

    壊疽性胆嚢炎(壊疽性胆嚢またはGGBとしても知られる)は生命を脅かす可能性がありますが、迅速な治療により解決できます。胆嚢炎の早期治療を受けなかった場合に起こる可能性があります。

    この記事では、壊疽性胆嚢炎、その症状、発生理由、および今後の見通しについて説明します。

    ヒスパノリズム/ゲッティイメージズ

    壊疽性胆嚢炎は、閉塞により胆嚢内に胆汁が蓄積した場合に生じる炎症である急性胆嚢炎の合併症です。

    胆嚢は、腸に入る前に胆汁を蓄える小さな臓器です。胆汁は肝臓で生成される物質です。体が脂肪を消化するのを助けます。

    胆嚢炎は、閉塞によって胆汁が胆嚢から出なくなると発生することがあります。詰まりの原因は胆石または胆汁泥である可能性があります。

    胆嚢炎は炎症や腫れを引き起こす可能性があります。胆嚢炎の症状には発熱、痛み、吐き気などがありますが、この段階では症状が現れない人も 1% ~ 2% います。

    胆嚢炎の治療を受けないと、胆嚢壁が厚くなり、損傷を受ける可能性があります。この時点で感染やさらなる炎症が発生する可能性があります。閉塞による圧力により、胆嚢壁への血液供給が失われる可能性があります。潰瘍形成や組織死、または壊疽が発生する可能性があります。これが壊疽性胆嚢炎です。

    壁に穴が開くと胆汁が漏れ出し、さらなる合併症を引き起こす可能性があります。

    2023年の研究によると、急性胆嚢炎患者の2%から29.6%が壊疽性胆嚢炎を発症しています。

    胆嚢汚泥について詳しくご覧ください。

    壊疽性胆嚢炎の症状には次のようなものがあります。

    胆嚢炎も同様の症状を引き起こしますが、壊疽性胆嚢炎では症状がより顕著または重度になります。

    高齢者や糖尿病の人には症状がない場合があります。専門家の中には、末梢神経系に何らかの損傷があると、痛みに気づく能力が低下する可能性があると示唆する人もいます。

    重篤な場合には、敗血症が発症する可能性があります。これは生命を脅かす状態であり、急速に死に至る可能性があります。症状には発熱や痛みなどがあります。それは医療上の緊急事態です。

    慢性胆嚢炎について詳しくご覧ください。

    壊疽性胆嚢炎は、胆嚢炎の治療を受けなかった場合、または治療が遅れた場合に発生する可能性があります。

    胆嚢炎が進行すると、胆汁の蓄積により胆嚢壁に圧力がかかり始めることがあります。その結果、血液はこの領域の血管を通過できなくなります。これは、壊死または壊疽とも呼ばれる組織の死を引き起こす可能性があります。

    さらに、ガス発生微生物の存在によって感染症が発症することもあります。これにより、人の状態がさらに複雑になる可能性があります。

    以下の人は胆嚢炎が壊疽性胆嚢炎に進行するリスクが高くなる可能性があります。

    • 男性です
    • 年齢は45歳以上です
    • 糖尿病を患っている
    • 心血管(心臓)疾患を患っている
    • 白血球数が高い

    壊疽性胆嚢炎が始まると急速に悪化することがあります。

    胆嚢炎の原因について詳しく学びましょう。

    医師が壊疽性胆嚢炎の可能性があると判断した場合、次のようなことを行う可能性があります。

    • 症状を考えてみましょう。
    • その人の病歴について尋ねます。
    • 血液検査をしてください。
    • 胆嚢壁の腫れ、肥厚、またはその他の異常な特徴がないかどうかを確認するために、超音波検査、CT スキャン、またはその両方を依頼してください。

    医師は胆嚢炎と壊疽性胆嚢を区別するのが難しいと感じる場合があります。医師は手術中にのみその存在を確認できる場合があります。

    一般的な胆嚢の問題について詳しく学びましょう。

    壊疽性胆嚢炎の治療は通常、胆嚢の全体または一部を切除する緊急手術です。

    患者の体調が悪すぎて手術を受けられない場合、医療チームは患者が別の機会に手術を受けられるよう、状態を安定させるよう努めます。

    胆嚢炎のある人の場合、手術は通常、腹腔鏡下で行われます。迅速な治療を行えば、多くの人は手術翌日には帰宅でき、回復には約 1 週間かかります。

    壊疽性胆嚢炎の場合も腹腔鏡手術が可能な場合があります。ただし、一部の人には開腹手術が必要な場合があります。

    次のような要因によっては、回復に時間がかかる場合もあります。

    • 状態の重症度
    • その人の年齢と全体的な健康状態
    • 発生するあらゆる合併症

    2023年の症例研究では、壊疽性胆嚢の手術を受けた糖尿病と高血圧を患う62歳の男性の治療について説明しています。この外科医は胆嚢の患部を切除しました。合併症はなく、患者は4日間のドレーンが必要で、5日目に帰宅した。

    胆嚢炎の治療について詳しくご覧ください。

    統計によると、壊疽性胆嚢炎の致死率は 15% ~ 50% です。迅速な治療により良好な結果が得られる可能性が高まります。これは通常、症状が現れてから 72 ~ 96 時間以内に胆嚢を除去する手術を受けることを意味します。

    最大 25% の人が合併症を経験しており、その中には深刻な影響を与えるものもあります。

    合併症には次のようなものがあります。

    • 手術部位の感染
    • 肺の問題
    • 膿瘍
    • 瘻孔
    • 胆嚢の切除が必要な場合、それに伴う合併症
    • 腎臓の問題や心血管疾患など、胆嚢炎と同時に発生する可能性のある他の症状によって発生する可能性のある合併症

    患者の年齢と全体的な健康状態は、完全回復の可能性に影響します。

    重度の炎症が存在する場合、手術中に胆管が損傷されるリスクがあります。これにより、良い結果が得られる可能性も低くなります。

    壊疽性胆嚢炎に関してよくある質問をいくつか紹介します。

    壊疽性胆嚢の生存率はどれくらいですか?

    統計によれば、症例の 20% ~ 50% が致死的です。ただし、これは症状の重症度、治療を受けるまでの期間、および個々の要因によって異なります。治療に時間がかかるほどリスクは高くなります。

    胆嚢炎と壊疽性胆嚢炎の違いは何ですか?

    胆嚢炎は、胆嚢の詰まりにより胆汁が胆嚢内に溜まる状態です。痛みや吐き気を引き起こす可能性があります。医師が食事の変更を勧めることもありますが、多くの人は手術が必要です。

    2% ~ 29.6% の人では、胆嚢炎が壊疽性胆嚢炎に進行する可能性があります。感染や胆嚢壁への血液供給の喪失は、組織死やその他の合併症を引き起こします。

    壊疽性胆嚢は腹腔鏡で切除できますか?

    外科医は腹腔鏡手術で壊疽性胆嚢を切除できますが、それは個々のケースによって異なります。

    壊疽性胆嚢炎は、生命を脅かす可能性のある胆嚢炎の合併症です。症状は胆嚢炎に似ていますが、より重度になる傾向があります。

    この症状のある人は、胆嚢の全部または一部を切除する緊急手術が必要になる可能性があります。多くの人は完全に回復しますが、壊疽性胆嚢炎は、特に迅速な治療がなければ死に至る可能性があります。

    壊疽性胆嚢炎について知っておくべきこと・関連動画

    参考文献一覧

    1. https://www.cureus.com/articles/127204#!/
    2. https://synapse.koreamed.org/articles/1131141
    3. https://www.ncbi.nlm.nih.gov/books/NBK459171/
    4. https://www.ncbi.nlm.nih.gov/pmc/articles/PMC10687379/
    5. https://www.ncbi.nlm.nih.gov/pmc/articles/PMC5894319/
    6. https://www.cureus.com/articles/127204-無症候性壊疽性急性胆嚢炎-生命を脅かす状態#!/
    7. https://www.ncbi.nlm.nih.gov/pmc/articles/PMC4337439/
  • 胆嚢がなければアルコールは飲めますか?

    胆嚢を外科的に切除した場合、手術直後はアルコールを控える必要があります。しかし、回復後は再び適度に飲酒できるようになります。

    胆嚢除去手術の用語は腹腔鏡下胆嚢摘出術です。手術直後はアルコールを控えるのが最善ですが、長期的には適度に飲酒しても大丈夫です。

    この記事では、胆嚢がなくてもアルコールを飲めるかどうかを検討します。

    MTストックスタジオ/ゲッティイメージズ

    胆嚢摘出直後はアルコールを控えるのが最善ですが、回復後は適度に飲酒できます。胆嚢は消化管の器官ですが、アルコールの代謝には関与しません。

    人が摂取したアルコールのほとんどは肝臓で消化されます。酵素アルコールデヒドロゲナーゼは、体内からアルコールを除去するのに重要な役割を果たします。

    実際、2019年の研究によると、アルコールは胆石の発生を防ぐのに役立つ可能性があります。アルコールは、膵臓、脳、消化管などの体内の他の臓器でも分解されます。

    ただし、過度のアルコール摂取はさまざまな慢性疾患を引き起こす可能性があることを覚えておくことが重要です。

    胆嚢とは何ですか?

    胆嚢は肝臓の下にある洋梨の形をした器官で、肝臓が生成する胆汁を貯蔵し、濃縮します。胆嚢は胆汁を小腸に放出し、脂肪を消化します。胆嚢摘出術は、米国で最も行われている手術の 1 つです。

    胆嚢摘出後に何を食べるべきか、何を避けるべきかについて詳しく学びましょう。

    除去後も、人の身体がアルコールを処理する方法は変わらない可能性があります。手術には挿管と麻酔が必要なため、外科医はアルコールを摂取する前に待つことを推奨する場合があります。専門家は、胆嚢摘出後にいつ飲酒を開始できるかについての一連のガイドラインを持っていません。

    胆嚢除去後は、消化器系の機能を再構成する必要があります。肝臓で生成される胆汁は胆嚢に保管されなくなります。代わりに、小腸に直接放出されます。これは、消化器系が安定するまでの間、アルコールの消化に影響を与える可能性があります。

    胆嚢除去などの消化器系の構造変化は、小腸細菌の異常増殖(SIBO)を引き起こす可能性があります。 SIBOは、腸内に過剰な数の細菌が存在する場合に発生します。 SIBO の症状には次のようなものがあります。

    専門家は、アルコールを過剰に摂取する人はSIBOのリスクが高まる可能性があると示唆しています。胆嚢摘出はアルコール消化に直接影響を及ぼさない可能性がありますが、胆嚢摘出術後のアルコール摂取量の減少は一部の人にとって有益である可能性があります。

    1 日の摂取量に応じて、アルコールは胆石などの胆嚢疾患を予防する可能性があります。しかし、アルコール摂取と胆嚢疾患との関連性は十分に認識されていません。

    2022年の研究では、軽度かつ適度なアルコール摂取により、特定の人々の胆管がんのリスクが高まる可能性があることが示唆されています。研究者らは、前糖尿病または糖尿病の人は胆道がんのリスクが高いと結論付けました。このリスクは、血糖値が「正常」な人には見られませんでした。

    胆石

    24件の研究を対象とした2018年のレビューでは、アルコール摂取と胆石症の間に用量依存的な関係が存在することが判明しました。飲酒は胆石症を予防するようです。

    研究の目的は、胆石を防ぐために摂取できる最適なアルコール量を決定することでした。研究者らは、1日当たりのアルコール摂取量が28グラム未満であれば胆石のリスクが低いことを発見した。

    炎症

    アルコールは特に胆嚢炎症や胆嚢炎を引き起こすわけではありません。ただし、アルコールを大量に摂取すると腸での処理が困難になるため、アルコールは腸内で炎症を引き起こす可能性があります。アルコールとその消化の副産物は、腸の炎症反応を促進する可能性があります。

    この反応は局所的なものにとどまる可能性がありますが、腸内の他の器官や全身に広がることもあります。研究者らは、アルコール関連疾患の多くは、過剰なアルコール摂取によって引き起こされる腸内の炎症に起因すると示唆しています。

    胆嚢摘出後の飲酒には、アルコールに対する体の反応を認識する必要があります。飲酒量を追跡し、体の反応に注目することは、許容できるアルコールの量を調整するのに役立ちます。この追跡には、アルコールの種類と消費量の詳細をすべて記録することも含まれます。

    この意識の高まりは、人々がどのくらいの量のアルコールを飲んでもよいかという目標を設定するのに役立ちます。消費量を減らす必要がある場合、専門家は次のことを提案します。

    • アルコールの代替品を見つける
    • トリガーの回避
    • 衝動を管理する方法を計画する

    胆嚢摘出直後は、体を回復させるためにアルコールを控える必要があります。しかし、胆嚢がなくても、人はアルコールを飲むことができます。

    胆嚢がなければアルコールは飲めますか?・関連動画

    参考文献一覧

    1. https://pubmed.ncbi.nlm.nih.gov/24323179/
    2. https://www.frontiersin.org/articles/10.3389/fpsyt.2020.00664/full
    3. https://www.gutnliver.org/journal/view.html?doi=10.5009/gnl18278
    4. https://www.re Thinking Drinking.niaaa.nih.gov/ Thinking-about-a-change/strategies-for-cutting-down/tips-to-try.aspx
    5. https://www.ncbi.nlm.nih.gov/books/NBK482488/
    6. https://www.ncbi.nlm.nih.gov/pmc/articles/PMC8009142/
    7. https://ascopubs.org/doi/abs/10.1200/JCO.22.00145
    8. https://www.ncbi.nlm.nih.gov/pmc/articles/PMC5513683/
    9. https://www.ncbi.nlm.nih.gov/pmc/articles/PMC6346994/
    10. https://pubmed.ncbi.nlm.nih.gov/28521679/
  • 無石性胆嚢炎について知っておくべきこと

    無石性胆嚢炎は、胆石が原因では起こらない胆嚢の炎症です。無石性胆嚢炎は生命を脅かす可能性があり、迅速な治療が必要です。

    脳卒中、心臓発作、極度の体重減少、または長期間の絶食など、別の病気の合併症として発生する場合があります。

    無石性胆嚢炎では、右上腹部に激しい痛みや突然の痛みが生じることがあります。

    この記事では、無石性胆嚢炎の症状、原因、診断、治療、見通しについて説明します。

    グレース・キャリー/ゲッティイメージズ

    無石性胆嚢炎は、胆石が原因では起こらない胆嚢の炎症です。無石とは、胆石の関与がないことを意味します。胆嚢炎とは胆嚢の炎症を意味します。

    胆嚢は、肝臓からの胆汁を貯蔵する洋梨の形をした臓器です。胆嚢は消化を助けるために胆汁を小腸に放出します。胆嚢は腹部の右側、肝臓の下にあります。

    無石性胆嚢炎は生命を脅かす可能性があり、この症状のある人は直ちに治療が必要です。

    無石性胆嚢炎の症状には次のようなものがあります。

    • 右上腹部の痛み。深呼吸すると痛みが悪化することがある
    • 食後、特に脂肪分の多い食べ物の後の腹痛またはけいれん
    • 吐き気
    • 膨満感
    • 食物不耐症
    • げっぷ
    • 嘔吐

    急性無石胆嚢炎は、右上腹部に突然の激しい痛みを引き起こすことがあります。痛みは肩甲骨の間の領域に広がることがあります。

    胆嚢や胆管などの胆道系を通って胆汁が通常よりもゆっくりと移動すると、胆汁酸塩が蓄積し、胆嚢内に圧力がかかる可能性があります。

    これにより、次のような問題が発生する可能性があります。

    • 血流の問題
    • 褥瘡
    • 組織の死
    • 胆嚢の穿孔

    無石性胆嚢炎の原因と危険因子には次のようなものがあります。

    • 長期間の断食
    • 極端な減量
    • 完全非経口栄養、消化器系を迂回する静脈栄養システム
    • 大手術からの回復、または集中治療が必要な方
    • 脳卒中
    • 心臓発作
    • 敗血症
    • 重度の火傷
    • 長く続くトラウマ

    無石性胆嚢炎は男性と女性に同様に影響を与える可能性がありますが、手術後は男性の方が影響を受ける可能性が高くなります。

    HIV などによる免疫系の低下も、無石性胆嚢炎のリスクを高めます。

    無石性胆嚢炎を診断するために、医師は HIDA とも呼ばれる胆シンチグラフィー核スキャンを使用することがあります。この画像検査では、医師が腕の静脈に放射性物質を注射します。

    この物質は肝臓に移動し、胆汁と合流して胆嚢と胆管に入ります。これはスキャナーに表示され、医師が胆道系がどのように機能しているかを確認できるようになります。

    医師はまた、胆嚢の空っぽを引き起こすホルモンであるコレシストキニンを人々に投与します。

    医師は腹部の超音波検査またはCT スキャンを行って、胆嚢壁の炎症をチェックすることもあります。

    医師は、白血球数の上昇や肝機能の異常など、無石性胆嚢炎の兆候を検出できる血液検査を指示する場合があります。

    無石性胆嚢炎の治療には、胆嚢を除去する手術である胆嚢摘出術が含まれます。

    医師は、腹部に小さな切開を行う低侵襲手術である腹腔鏡検査を使用します。

    外科医が手術を行う前に、人々は全身麻酔を受けます。外科医は腹腔鏡(一端にライトとカメラが付いた細い管)を使用して手術を進め、胆嚢を摘出します。

    腹腔鏡手術が適さない場合は、開腹手術が必要になる人もいます。開腹手術では、外科医は腹部を大きく切開して胆嚢を切除します。

    無石性胆嚢炎で考えられる合併症には次のようなものがあります。

    • 胆嚢の穿孔
    • 胆嚢の壊疽。血流不足または感染によって発生する可能性があります。
    • 敗血症

    胆嚢切除手術で考えられる合併症には次のようなものがあります。

    • 過剰な出血
    • 感染
    • 周囲への被害
    • 胆汁または肝管への外科的損傷
    • 胆管から胆汁が漏れる

    無石性胆嚢炎は生命を脅かす可能性があり、直ちに治療が必要です。迅速な治療により、症状の進行や悪化を防ぐことができます。

    時間の経過とともに、この状態による死亡リスクは減少し、現在では約 10% になる可能性があります。死亡のリスクは、年齢やその他の併存する健康状態によって異なる場合があります。

    無石性胆嚢炎の回復には数か月かかる場合があります。

    このセクションでは、無石性胆嚢炎に関するよくある質問に答えます。

    無石性胆嚢炎の治療に医師はどのような抗生物質を使用しますか?

    医師は、無石性胆嚢炎の治療の一環として広域抗生物質を使用することがあります。広域スペクトルの抗生物質は、広範囲の細菌を標的とします。

    抗生物質は一般に無石性胆嚢炎の治療には効果がありませんが、血流中の細菌の治療には役立ちます。

    無石性胆管痛を治療するにはどうすればよいですか?

    軽度の無石性胆嚢炎の場合、次のような治療法があります。

    • 胆嚢を休ませるための絶食
    • 胃腸の圧迫を利用して圧力を下げる
    • 電解質バランスを維持する
    • 抗生物質を服用する
    • 感染症の予防または治療

    低脂肪食と鎮痛剤も胆嚢炎の症状を軽減するのに役立つ場合があります。

    無石性胆嚢炎は、胆石が原因では起こらない胆嚢の炎症です。大手術、重度の外傷、極度の体重減少など、別の症状や治療の合併症として発生する場合もあります。

    無石性胆嚢炎の治療には、胆嚢を切除する手術が含まれる場合があります。無石性胆嚢炎は生命を脅かす可能性があり、重篤な合併症を防ぐためには迅速な治療が重要です。

    無石性胆嚢炎について知っておくべきこと・関連動画

    参考文献一覧

    1. https://www.ncbi.nlm.nih.gov/books/NBK448145/
    2. https://www.ncbi.nlm.nih.gov/books/NBK459182/
    3. https://www.radiologyinfo.org/en/info/胆嚢炎
    4. https://karger.com/ddi/article/40/4/468/827910
  • ステージ4の胆嚢がんについて知っておくべきこと

    ステージ 4 の胆嚢がんは、病気の最も進行した段階です。これは、病気が肝臓、肺、脳などの体の他の部分に広がっていることを意味します。ステージ 4 の胆嚢がんは治癒可能ではありませんが、治療により症状を管理し、生活の質を向上させることができます。

    多くの場合、医師は胆嚢がんが進行した段階に達するまで診断しません。これは、病気の初期症状が非特異的であることが多いためです。さらに、人々はそれらを他の症状と簡単に間違えたり、まったく無視したりする可能性があります。

    胆嚢がんがステージ 4 に達すると、がんは近くのリンパ節や体内の他の臓器に広がります。この段階では、見通しは否定的であり、治療の焦点は症状の軽減と生活の質の向上を目的とした緩和ケアに移行します。

    この記事では、一般的な症状、治療法、見通しなど、ステージ 4 の胆嚢がんから何が予想されるかを検討します。

    キャバン画像/ラフィ・マグデシアン/ゲッティイメージズ

    ステージ 4 の胆嚢がんは、病気の最も進行した段階を指します。

    米国癌協会は、ステージ 4 の胆嚢癌を 2 つのサブカテゴリーに分類しています。

    • ステージ 4A:がんは門脈、肝動脈、または肝臓以外の 2 つ以上の臓器や構造に転移しています。近くのリンパ節にも転移している可能性があります。
    • ステージ 4B:がんが 4 つ以上の近くのリンパ節、または肝臓や離れた臓器などの体の他の部分に転移しています。

    胆嚢がんの概要を読んでください。

    胆嚢がんは早期診断が難しく、通常、医師は後期段階で診断します。

    医師は胆嚢がんの疑いがある場合、身体検査、血液検査、超音波、 CT スキャン、MRI などの画像検査を含む徹底的な検査を実施します。

    その他のテストには以下が含まれる場合があります。

    • 血管造影
    • 肝機能検査
    • 超音波内視鏡検査
    • 生検
    • 腹腔鏡検査
    • 経皮経肝胆管造影 – 医師は最初に針を通し、次にカテーテルを皮膚を通して肝臓に通し、1つまたは複数の胆管に特殊な染料を注入します。
    • 内視鏡的逆行性胆管膵管造影 – 医師は、一端にライトとカメラが付いている細い管である内視鏡を食道に通し、カテーテルと色素を挿入し、X 線画像を使用して胆管を検査します。

    ステージ 4 の胆嚢がんの症状は、がんが転移した場所によって異なります。

    一般的な症状には次のようなものがあります。

    • 腹痛
    • 吐き気と嘔吐
    • 黄疸、皮膚や目が黄色くなります。
    • 腹部のしこりまたは腫れ

    ステージ 4 の胆嚢がんを治療する方法はありませんが、症状を管理し、生活の質を向上させるために利用できる緩和治療の選択肢があります。

    医師は、ステージ 4 の胆嚢がんに対して次の治療法の 1 つまたは複数を推奨する場合があります。

    • ステント留置を伴う経皮経肝胆道ドレナージ(PTBD)または内視鏡的胆道ドレナージ(EBD):医師は胆管に小さなチューブまたはステントを留置して、胆管を開いた状態に保ち、胆汁が流れるようにします。通常、胆道閉塞の性質、大きさ、位置に応じて、次のいずれかの方法を推奨します。
      • PTBD では、胆汁を排出するために皮膚を通して肝臓と胆管に細いチューブまたはカテーテルを挿入します。
      • EBD では、医師は内視鏡 (先端にライトが付いた細い管) を口から消化管に挿入し、胆管に到達します。
    • 手術:医師は、胆管閉塞による症状を軽減するための緩和治療として手術を行う場合があります。
    • 化学療法:化学療法では、薬物を使用して体全体のがん細胞を殺します。
    • 放射線療法:放射線療法では、高エネルギー光線を使用してがん細胞を殺し、腫瘍を縮小します。
    • 臨床試験:他の治療法が効かなかったステージ 4 の胆嚢がん患者にとって、臨床試験は選択肢の 1 つとなる場合があります。

    痛みの管理、栄養サポート、精神的サポートなどの他の支持療法も、ステージ 4 の胆嚢がんの全体的な治療計画の一部となる場合があります。

    ステージ 4 の胆嚢がんの見通しは通常、非常に否定的です。 5 年相対生存率は、特定の疾患のある人が、診断を受けた後にその疾患のない人と比較してどれくらい生存するかを知るのに役立ちます。

    • 胆嚢がんの合計 5 年相対生存率は約 20% です。
    • 近くのリンパ節または組織に転移した局所期胆嚢がんの人の 5 年相対生存率は約 28% です。
    • 離れた臓器や組織に転移した遠隔期胆嚢がん患者の 5 年生存率は約 3% と非常に低くなります。

    ただし、これらの統計は 2012 年から 2018 年のデータに基づいており、最新の治療の進歩を反映していない可能性があります。

    胆嚢がんの見通しがほとんど否定的である理由について詳しくご覧ください。

    ステージ 4 の胆嚢がん患者は、包括的なサポート システムの恩恵を受けることができます。これには、治療や疼痛管理を提供できる医師、看護師、緩和ケア専門家などの医療専門家からのサポートが含まれる場合があります。

    ステージ 4 の胆嚢がん患者のための具体的なサポート グループとリソースをいくつか紹介します。

    • アメリカ癌協会
    • がんケア
    • 国立がん研究所
    • 胆管がん財団
    • PAN財団

    がんに関するリソース

    がんに関する証拠に基づいた情報とリソースをさらに見つけるには、専用ハブにアクセスしてください。

    ステージ 4 の胆嚢がんは、他の臓器や組織に転移している進行した形態です。

    ステージ 4 の胆嚢がんを治療する方法はありませんが、症状を管理し、生活の質を改善するために利用できる緩和治療があります。これらの治療には、手術、放射線療法、化学療法、標的療法が含まれる場合があります。

    ステージ4の胆嚢がんについて知っておくべきこと・関連動画

    参考文献一覧

    1. https://www.cancercare.org/
    2. https://www.cancer.org/cancer/types/gallbladder-cancer/detection-diagnosis-staging/diagnosis.html
    3. https://www.cancer.gov/
    4. https://www.cancer.gov/types/gallbladder/patient/gallbladder-treatment-pdq#:~:text=転移%20is%20the%20spread%20of,distant%20parts%20of%20the%20body。
    5. https://www.cancer.org/
    6. https://cholangiocarcinoma.org/
    7. https://www.cancer.gov/types/gallbladder/patient/gallbladder-treatment-pdq
    8. https://www.cancer.org/cancer/types/gallbladder-cancer/detection-diagnosis-staging/signs-and-symptoms.html
    9. https://www.cancer.org/cancer/types/gallbladder-cancer/detection-diagnosis-staging/survival-rates.html
    10. https://www.パンファウンデーション.org/
    11. https://www.ncbi.nlm.nih.gov/books/NBK493190/
    12. https://www.niddk.nih.gov/health-information/diagnostic-tests/endoscope-retrograde-cholangiopancreatography
  • 胆汁逆流: 知っておくべきこと

    胆汁逆流は、肝臓で作られる液体である胆汁が胃または食道に逆流するときに発生します。それは基礎疾患または特定の外科手術の合併症の兆候である可能性があります。

    胆汁は腸が食物を消化するのを助けます。胆汁逆流はさまざまな理由で発生する可能性があります。胃や腸の異常な形成などの基礎疾患が原因となる場合があります。胆汁逆流は、胃や胆嚢の手術など、特定の外科的治療の副作用としても発生することがあります。

    この記事では、胆汁逆流について、症状、原因、医師の診断方法や治療方法などを概説します。また、胆汁逆流を防ぐ方法についても説明します。

    1820145953 イングワーヴァニル/ゲッティイメージズ

    胆汁逆流は、小腸内の胆汁が胃、または場合によっては食道に逆流するときに発生します。

    通常、消化液が誤った方向に流れるのを防ぐ弁または括約筋の 1 つが適切に機能しない場合、胆汁逆流を引き起こす可能性があります。胆汁は体内にあるべきではない場所に到達してしまいます。

    胆汁逆流は、健康上の問題がない人にはまれな傾向がありますが、特定の手術の合併症としてよく知られています。重度の腹痛など、いくつかの症状を引き起こす可能性があります。時間が経つと、この状態に関連する炎症がいくつかの合併症を引き起こす可能性があります。

    胆汁逆流は、胃酸が食道に逆流するときに起こる胃酸逆流とは異なります。しかし、人は両方を同時に経験することができます。

    胆汁逆流はいくつかの症状を引き起こす可能性があり、その一部は胃酸逆流などの胃腸 (GI) 系に関係する他の多くの症状と共通しています。

    胆汁逆流の症状には次のようなものがあります。

    • 吐き気
    • 激しい上腹部の痛み
    • 胸焼け
    • 口の中の悪臭
    • 持続的な咳
    • 嗄れ声
    • 黄色または緑色の液体を嘔吐する

    胆汁逆流はどれくらい続きますか?

    胆汁逆流の期間はさまざまです。

    最初に発症した後、週に数回経験する人もいます。胆汁逆流は、適切な治療を受けるまで再発する可能性があります。

    胆汁逆流は、他の消化器疾患、特に胃酸逆流と同様の症状を引き起こすため、医師は検査をしないとその人がどの胃酸逆流症であるかを特定できない場合があります。

    食事やライフスタイルを変えても改善しない胃腸症状を経験した場合、または市販の胃酸逆流薬で症状が軽減されない場合は、医師に相談する必要があります。ただし、胆汁逆流は通常、これらの対策だけでは改善しません。

    胆汁逆流は次の理由で発生する可能性があります。

    • 肥満手術胆嚢手術などの手術の合併症として
    • 食道弁の構造上の問題が原因で、食べ物や胆汁が食道に逆流してしまいます。
    • 幽門弁と呼ばれる胃弁の機能の問題が原因で、消化性潰瘍が原因で発生する可能性があります。

    通常、医師は一連の診断検査を経て原因を特定できます。

    胆汁逆流の診断には通常、次のような検査の組み合わせが必要です。

    • Bilitec モニタリング システムを使用して胆汁の存在とその色を検出する検査
    • 肝臓、胆嚢、胆管の状態を評価するための肝胆道イミノ二酢酸(HIDA)スキャン
    • 食道、胃、小腸の上部に異常な形成がないかを検査する上部内視鏡検査
    • 食道切開検査やpH検査など、胃酸逆流を除外するための他の検査

    胆汁逆流は、通常、食事やライフスタイルの変更によって改善することはありません。

    医師は軽度の胆汁逆流に対して薬を勧める場合があります。これらには次のものが含まれる場合があります。

    • 胆汁酸封鎖剤は、胆汁の循環を妨害します。
      • コレスチラミン (プレバライト)
      • コレスチポール (コレスチド)
      • コレセベラム (ウェルチョル)
    • スクラルファート (カラファ酸)、胃に保護膜を形成し、逆流の原因となっている可能性のある消化性潰瘍を治療します。
    • 逆流の根本原因である可能性のある肝臓または胆管の障害を治療するウルソジオール(アクティガル)

    より重度の胆汁逆流の場合、または薬が効果がない場合、医師は手術を勧めることがあります。これにより、消化管系の非定型奇形が修正されたり、他の外科的処置による問題が修正されたりする可能性があります。

    手術は長期的な影響を防ぐのにも役立ちます。

    手術

    介入には、方向転換手術や逆流防止手術が含まれる場合があります。

    分流手術では、専門家は小腸のさらに下に胆汁を排出するための新しい接続を作成します。これにより、胃への逆流が防止されます。

    逆流防止手術では、食道内の物質の移動を制御する下部食道括約筋の周囲に胃の内壁の一部を縫い付けることが含まれます。ただし、これが効果的なオプションであることを確認する十分な証拠はありません。

    以下の変更を行うと、胆汁が食道に逆流するのを防ぐことができます。

    • 余分な体重を減らす
    • 食後3時間は横にならないようにする
    • 高脂肪食品を制限する
    • 食事時に大量の食べ物を食べるのを避ける
    • カフェインとペパーミントを避ける

    胆汁逆流は、胃酸逆流などの他の消化管疾患と同様の症状を示します。胆汁逆流は一般的ではありませんが、消化管系の特定の弁の異常な形成または機能によって発生する可能性があります。また、肥満症や胆嚢の手術の合併症として発生することもあります。

    胆汁逆流には通常、投薬が必要ですが、場合によっては手術が必要です。胆汁逆流は治療せずに放置すると消化管を刺激し、合併症のリスクを高める可能性があります。

    胆汁逆流: 知っておくべきこと・関連動画

    参考文献一覧

    1. https://www.ncbi.nlm.nih.gov/pmc/articles/PMC8661444/
    2. https://www.ncbi.nlm.nih.gov/pmc/articles/PMC9500345/
    3. https://www.cghjournal.org/article/S1542-3565(18)30222-2/fulltext
    4. https://www.ncbi.nlm.nih.gov/pmc/articles/PMC8631358/
    5. https://www.ncbi.nlm.nih.gov/pmc/articles/PMC9484982/
    6. https://www.ncbi.nlm.nih.gov/pmc/articles/PMC9309561/
    7. https://www.ncbi.nlm.nih.gov/pmc/articles/PMC8573365/
  • 胆嚢の問題が腰痛を引き起こす可能性はありますか?

    胆石、炎症、ポリープなどの胆嚢に影響を与える症状は、腰痛を引き起こす可能性があります。これらの症状は腹部に痛みを引き起こすことが多く、その痛みが背中に広がることもあります。

    胆嚢結石などの胆嚢の問題により痛みが生じると、通常、最初に腹部に痛みを感じます。痛みは背中に広がることもあります。

    胆嚢は、腹部の右上、肝臓の下にある小さな臓器です。胆汁を貯蔵して放出し、消化器系による脂肪の分解を助けます。胆嚢の問題には、胆石、胆嚢炎、ポリープ、破裂、癌などが含まれます。

    胆嚢関連の腰痛について詳しく知りたい方は、以下をお読みください。

    スタジオ ファーマ/ストックシー

    はい、胆嚢の問題は腰痛を引き起こす可能性があります。腰痛を引き起こす可能性のある胆嚢の問題には次のようなものがあります。

    胆石

    胆石は、コレステロールまたはビリルビンと呼ばれる物質で構成される硬い塊です。高レベルの胆汁や脂肪が結晶を形成すると胆嚢内に形成され、胆石になる可能性があります。

    胆石のある人は、通常、脂肪の多い食事をたくさん食べた後に、胆道疝痛の痛みを経験することがあります。胆石が胆嚢の胆管を閉塞することにより、胆嚢が収縮し、突然の痛みが現れたり消えたりすることがあります。

    腹部の右上部分に痛みを感じ、その後、背中や肩の中央に放散しながら痛みを感じることがあります。痛みは、突然の鋭いけいれんのように感じられる場合もあれば、持続的な鈍い痛みのように感じる場合もあります。

    場合によっては、吐き気や嘔吐を経験することもあります。

    胆嚢の炎症

    胆嚢炎、または胆嚢の炎症は、胆汁が胆嚢から出られない場合に発生します。これは、胆管内の胆汁の蓄積または胆石の閉塞が原因である可能性があります。

    時間が経つにつれて、胆嚢内の過剰な胆汁は炎症、腫れ、感染症を引き起こし、最終的には臓器の機能不全を引き起こす可能性があります。

    胆嚢炎の痛みは、右上腹部に突然の鋭い痛みとして現れ、右肩や背中に向かって広がることがあります。

    胆嚢ポリープ

    胆嚢ポリープとは、胆嚢内のポリープや突起など、異常な組織増殖を引き起こすいくつかの状態を指します。ポリープは症状を引き起こさないこともあり、ほとんどは非癌性です。ただし、直径が 1 センチメートルを超えるポリープは、胆嚢がんのリスクが高くなる可能性があります。

    コレステロール結石など、他の胆嚢の問題も抱えている場合は、胆嚢炎が引き起こす痛みと同様の痛みを経験することがあります。これには、鋭い突然の腹痛、吐き気、膨満感が伴う場合があります。痛みは右肩や背中に広がることもあります。

    胆嚢破裂

    胆嚢炎や胆石の治療を受けないと、胆嚢が破裂したり裂けたりすることがあります。これは多くの場合、生命を脅かす医療上の緊急事態です。

    胆嚢が破裂すると、胆汁が腹部に漏れます。これにより、腹部に重度の鋭い痛みが生じることがあります。胆嚢の破裂に先立って、腹部や背中に痛みを感じることがあります。

    胆汁逆流

    胆石、組織の増殖、または物質の蓄積によって胆嚢胆管が閉塞されると、胆汁が胆嚢に逆流し、炎症や感染症を引き起こす可能性があります。

    これは胆嚢炎などの合併症を引き起こす可能性があり、背中や肩に広がる突然の激しい腹痛を引き起こすことがあります。

    胆嚢がん

    胆嚢がんはまれで、ほとんどすべての症例は腺がんです。これらは、体の表面の多くに並ぶある種の細胞で発生するがんです。

    胆嚢がん患者の多くは初期には症状がありません。ただし、がんが進行すると、胃の上の領域に痛みが生じることがあります。

    背中の痛みは胆嚢がんの一般的な症状ではありませんが、背中の真ん中と右肩に放散痛を経験した場合は、その可能性を除外するために医師に相談する必要があります。

    胆嚢ジスキネジア

    胆嚢ジスキネジアは、胆石や他の機械的問題とは関係のない胆嚢機能の故障です。医師もこの状態の正確な原因を知りません。

    胆嚢ジスキネジアのある人は、胆嚢が収縮して蓄えた胆汁を押し出し、消化を助けるために胆汁を小腸に届けることができません。

    その結果、胆嚢が腫れて炎症を起こし、胆嚢炎を引き起こしたり、胆道疝痛を引き起こしたりすることがあります。腹部に突然、背中の中央から右肩まで広がる激しい痛みを経験することがあります。

    急激な体重減少は胆石のリスクを高める可能性があります。血中コレステロール値が高い人は、胆石を発症するリスクも高まる可能性があります。

    特定の食事は健康な胆嚢に有益である可能性があります。自然食品、果物や野菜、全粒穀物、その他の健康的な選択肢を食べることが役立つ場合があります。

    加工食品や飲料、脂肪、砂糖、塩分を多く含むものを避けることも、胆嚢の問題の予防に役立つ可能性があります。

    胆嚢の痛みを経験している人、またはその疑いがある人は医師に連絡する必要があります。胆嚢の問題は通常、治療または手術が必要です。早期介入は重篤な合併症を防ぐのに役立ちます。

    胆石やその他の閉塞を治療しないと、激しい痛みが生じ、場合によっては胆嚢破裂を引き起こす可能性があります。破裂は医療上の緊急事態です。

    胆石、胆嚢炎、ジスキネジアなどの胆嚢の問題は腹部に痛みを引き起こす可能性があり、その痛みは背中の中央や右肩まで広がることがあります。医師が胆道疝​​痛と呼ぶこの痛みは、通常、突然、鋭く、現れたり消えたりすることがあります。

    胆嚢の痛みを経験した人は医師に相談してください。胆嚢の問題を治療せずに放置すると、重篤な合併症を引き起こす可能性があります。

    胆嚢の破裂は生命を脅かす可能性があり、直ちに緊急治療が必要です。

    胆嚢の問題が腰痛を引き起こす可能性はありますか?・関連動画

    https://www.youtube.com/shorts/O3cazAeAWow

    参考文献一覧

    1. https://www.ncbi.nlm.nih.gov/pmc/articles/PMC3745208/
    2. https://www.cancer.gov/types/gallbladder/patient/gallbladder-treatment-pdq
    3. https://www.ncbi.nlm.nih.gov/books/NBK470211/
    4. https://www.cancer.org/cancer/gallbladder-cancer/about/what-is-gallbladder-cancer.html
    5. https://www.ncbi.nlm.nih.gov/books/NBK459171/
    6. https://www.niddk.nih.gov/health-information/digestive-diseases/gallstones/dieting
    7. https://www.ncbi.nlm.nih.gov/pmc/articles/PMC4902749/
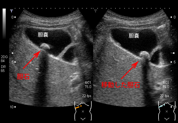
  • 胆嚢炎の超音波画像診断のすべて

    超音波スキャンは、医師が胆嚢炎を診断するために使用する主な検査の 1 つです。スキャン検査により、医師はこの症状の原因となる胆石の存在を発見できる場合があります。

    胆嚢炎は胆嚢の炎症です。通常、胆石が胆嚢の開口部に詰まったときに発生します。

    この症状は通常、腹部の右上に鋭い痛みを引き起こします。治療を行わないと重篤な合併症を引き起こす可能性があるため、正確な診断を下すことが重要です。

    この記事では、胆嚢炎の診断における超音波画像の使用について見ていきます。また、この検査を受けることになった場合に何が予想されるかについても検討します。

    ウィリー・B・トーマス/ゲッティイメージズ

    医師が胆嚢炎の可能性があると判断した場合、超音波検査を受けることがあります。

    胆嚢の超音波検査は、胆嚢疾患の兆候を最初に検査するのに最適な画像検査です。臨床医は胆石炎症が存在するかどうかを確認できます。

    臨床医は、その速度、アクセスしやすさ、および放射線の不足により、 CT スキャンなどの他の画像形式よりも超音波を好みます。

    超音波検査は胆石の表示に適していますが、医師が血液検査身体検査と併用すると、胆嚢炎の診断に最も役立ちます。

    胆嚢炎の約95%は、胆嚢内の化学物質が凝固して形成される胆石が原因で発生します。

    あまり一般的ではない原因には、怪我や重度の感染症などがあります。

    胆嚢炎の原因について詳しく学びましょう。

    超音波検査を受ける前に、医師は胆嚢炎症の他の兆候がないかを調べるために身体検査を行います。特に、胆嚢に異常があるかどうかを判断するためにマーフィー徴候を探します。

    マーフィー徴候をテストするには、次のことが起こります。

    1. 医師は患者の右側の肋骨の下に圧力を加えます。
    2. 彼らはその人に深く息を吸うように頼みます。
    3. 胆嚢は医師が手を置いた場所の近くに移動します。
    4. 胆嚢が炎症を起こしている場合、このプロセスは痛みを伴い、それ以上息を吸い込むことができなくなります。

    医師は血液検査を指示することもあります。胆嚢が炎症を起こしている場合、白血球数が増加する可能性があります。

    超音波検査が必要な場合は、診療所や病院で受けられる場合があります。事前に準備をする必要はありません。

    超音波画像診断を行う医療専門家である超音波検査技師は、トランスデューサーと呼ばれる杖のようなデバイスを人の皮膚に当てて超音波スキャンを実行します。スムーズな動きと継続的な接触を可能にするために、皮膚にジェルを塗布する場合があります。

    トランスデューサーは人体を通して音波を放射し、その音が胆石などの密度の高い表面で反射して画像が形成されます。

    臨床医は超音波検査中にマーフィー徴候を検査することもできます。

    超音波スキャンにかかる時間はおそらく 45 分未満です。

    超音波スキャンの仕組みについて詳しくは、こちらをご覧ください。

    超音波検査では、胆嚢炎に関連する多くの要因を見つけることができます。これらには次のものが含まれます。

    • 胆石
    • 胆嚢の肥大
    • 胆嚢壁の肥厚
    • 胆嚢の周囲に体液が蓄積すること

    これらの兆候の存在は、胆嚢炎の診断に役立ちます。

    超音波は、胆嚢開口部の胆石を特定し、マーフィー徴候を観察するのに最も正確です。結果として、これらは超音波検査者が胆嚢炎を診断するために探す主な所見となります。

    胆嚢炎のこれらの兆候が存在しない場合、人が経験している症状には別の原因がある可能性があります。同様の症状を示す症状には、胃炎虫垂炎などがあります。

    医師が超音波検査の結果、胆嚢炎を診断できた場合、最適な治療方針を決定します。

    多くの場合、再発のリスクがあるため、胆嚢摘出手術が推奨されます。これは、開腹手術または鍵穴手術の場合があります。

    手術が患者にリスクをもたらし、胆嚢炎が特に軽度の場合、医師は食事の変更や投薬による状態の管理を検討することがあります。

    医師が最終的な診断を下すことができない場合、次のステップはさらなる検査を実施することです。これには、追跡物質を胆汁に注入する肝胆道シンチグラフィーと呼ばれる手順が必要となる場合があります。

    胆汁は胆嚢に蓄えられる消化液です。

    胆嚢摘出手術について詳しくは、こちらをご覧ください。

    胆嚢炎の超音波所見は何ですか?

    胆嚢炎がある場合、超音波検査で胆嚢の開口部に胆石の存在が示されることがよくあります。また、胆嚢が腫れているかどうか、または胆嚢の周囲に体液が蓄積しているかどうかも示される場合があります。

    胆嚢炎に最適な画像検査は何ですか?

    臨床医は、超音波がそのスピード、アクセスしやすさ、そして放射線を使用しないという事実から、胆嚢炎の最良の画像検査であると考えています。

    胆嚢の炎症は超音波検査で確認できますか?

    はい、場合によっては、超音波検査技師が超音波検査で胆嚢の炎症を検出できる場合があります。

    超音波検査は、医師が胆嚢炎を診断するために使用する重要な検査です。胆嚢の開口部にある胆石の存在を検出できます。これがほとんどの症例の原因です。

    医師は、CT スキャンなどの他の形式の画像処理よりも迅速かつ簡単な超音波の使用を好みます。

    医師は、超音波検査と並行して、血液検査や身体検査を使用してマーフィー徴候を確認することもあります。

    胆嚢炎の超音波画像診断のすべて・関連動画

    参考文献一覧

    1. https://www.ncbi.nlm.nih.gov/pmc/articles/PMC4545132/
    2. https://www.ncbi.nlm.nih.gov/books/NBK459171/
    3. https://pubmed.ncbi.nlm.nih.gov/35289293/
    4. https://jamanetwork.com/journals/jama/article-abstract/2789654
    5. https://www.nhs.uk/conditions/ultrasound-scan/
    6. https://www.ncbi.nlm.nih.gov/pmc/articles/PMC4035397/
  • 胆嚢がんの病期分類について知っておくべきこと

    胆嚢がんを診断すると、医師は胆嚢がんを 4 つの段階のいずれかに分類します。各段階は、腫瘍の大きさと、がん細胞が体内で広がっているかどうか、またどこに広がっているかを示します。

    胆嚢がんはまれながんの形態であり、初期段階では症状がないため、通常は検出が困難です。症状がある場合は、発熱、腹痛、皮膚や白目が黄色くなる黄疸などがあります。

    胆嚢は、腹部の右上、肝臓のすぐ下にある小さな臓器です。胆汁は脂肪の多い食べ物の分解を助けるために肝臓が生成する液体です。

    この記事では、胆嚢がんの病期分類がどのように機能するか、さまざまな病期とは何か、この疾患の治療法、およびこの疾患を持つ人々に起こり得る見通しについて説明します。

    がんに関するリソース

    がんに関する証拠に基づいた情報とリソースをさらに見つけるには、専用ハブにアクセスしてください。

    マスコット/ゲッティイメージズ

    胆嚢がんの診断を受けると、医師はがんの病期も決定します。これは、がんが転移しているかどうか、どこに転移しているか、体内のがんの量、適切な治療法を理解するのに役立ちます。

    米国の医師が通常、胆嚢がんの各段階を判定するために使用するシステムは、米国癌合同委員会 (AJCC) の TNM システムです。これには次の 3 つの要素が含まれます。

    • T:腫瘍のサイズ、およびがんが胆嚢の層を通って肝臓などの近くの臓器に成長したかどうか
    • N:がんが近くのリンパ節に転移している場合
    • M:がんが肺など、胆嚢から遠く離れた体内の臓器に転移している場合

    胆嚢がんのステージは0から4まであります。数値が高いほど、がんの治療は難しくなる可能性があります。

    医師は段階を次のように説明します。

    • ステージ 0:胆嚢がんの最も初期の段階で、がん細胞が胆嚢の内壁の内側にのみ存在する場合。
    • ステージ 1:腫瘍が形成され、胆嚢の結合組織または筋肉層まで成長した場合。
    • ステージ 2:さらに 2 つのステージで発生します。
      • 2A:がんが筋肉層を通って腹腔の内層まで成長した場合。
      • 2B:腫瘍が肝臓の側面の組織まで成長しているが、肝臓自体にはまだ影響を与えていない場合。
    • ステージ 3:さらに 2 つのステージで発生します。
      • 3A:がんが胆嚢の外壁を通って増殖し、肝臓、、膵臓など近くの臓器のいずれかに到達している可能性があります。
      • 3B:腫瘍が近くの臓器の 1 つに成長し、胆嚢の近くにある最大 3 つのリンパ節に影響を及ぼしている可能性がある場合。
    • ステージ 4:胆嚢がんの最終段階であり、最も重篤です。これはさらに 2 つの段階で発生します。
      • 4A:癌が肝臓に栄養を供給する主要な血管内、または肝臓の外側の少なくとも 2 つの構造内に増殖した場合。胆嚢近くの最大 3 つのリンパ節にも転移している可能性があります。
      • 4B:がんが少なくとも 4 つのリンパ節に転移しているが、遠隔臓器には転移していない場合、またはがんがどのリンパ節にも転移していない可能性があるが、肺などの遠隔臓器の 1 つに転移している場合。

    通常、胆嚢がん患者にとって手術は最も望ましい選択肢です。ただし、胆嚢がんの段階によっては、さらなる治療が必要になる場合があります。例えば:

    • ステージ 1:外科医は通常、胆嚢を切除します。現段階で必要な治療はこれだけです。ただし、がんが胆嚢の筋肉層を通って増殖している場合、外科医は肝臓の一部、周囲のリンパ節、胆管も切除することがあります。
    • ステージ 2:外科医は通常、胆嚢、肝臓の一部、周囲のリンパ節、胆管を切除します。 Cancer Research UK によると、化学療法や放射線療法などのさらなる治療が必要になる場合もあります。
    • ステージ 3:この段階でも、外科医は胆嚢、周囲のリンパ節、臓器の手術により、がんの大部分を切除できる可能性があります。通常、化学療法や放射線療法などのさらなる治療が必要になります。
    • ステージ 4:外科医は通常、この段階での手術を推奨しません。ただし、化学療法や放射線療法を推奨する場合もあります。あるいは、がんの症状の一部を管理するための緩和ケアが自分に適していると判断する人もいるかもしれません。

    場合によっては、新しい治療法の臨床試験に参加できる場合もあります。ただし、自分に資格があるかどうか、またどの治験が自分にとって有益であるかについての詳しい情報については、医療専門家に相談する必要があります。

    医師は通常、国立がん研究所の監視・疫学・最終結果 (SEER) データベースからの情報を使用して、胆嚢がんの見通しを判断します。

    医師が胆嚢がんを診断するために使用する番号付きのステージの代わりに、SEER データベースは見通しを次のカテゴリにグループ化します。

    • 限局性:これは、がんが胆嚢の外に広がった兆候がない場合です。米国癌協会によると、生存率は69%だという。
    • 局所性:胆嚢がんが周囲の構造やリンパ節に転移した状態です。生存率は28%です。
    • 遠隔:胆嚢がんが肺など、胆嚢から遠く離れた体の部分に転移している場合です。生存率は3%です。

    上記の割合は、2012 年から 2018 年の間に胆嚢がんの診断を受けた人に基づいているため、現在診断を受けている人は、割合が示唆するよりも良い見通しを持っている可能性があります。さらに、全体的な健康状態や年齢などの複数の要因に応じて、見通しは人によって異なります。

    自分自身の見通しについての詳細については、医師に相談する必要があります。

    医師が胆嚢がんと診断すると、がんは 4 つの段階のいずれかに分類されます。これは、体内のがんの量、およびがんが転移しているかどうか、またどこに転移しているかによって異なります。

    医師は、胆嚢がんの病期に基づいて適切な治療法を推奨できます。胆嚢がんのさまざまな段階に応じて、手術、化学療法、放射線療法、緩和ケアなどの治療法がいくつかあります。

    さらに、医療専門家は、個人ベースで個人の見通しに関する詳細情報を提供できます。

    胆嚢がんの病期分類について知っておくべきこと・関連動画

    参考文献一覧

    1. https://seer.cancer.gov/
    2. https://www.cancerresearchuk.org/about-cancer/gallbladder-cancer/treatment/treatment-decions
    3. https://www.cancer.org/cancer/types/gallbladder-cancer/detection-diagnosis-staging/survival-rates.html
    4. https://www.ncbi.nlm.nih.gov/pmc/articles/PMC10213899/
    5. https://www.cancer.org/cancer/types/gallbladder-cancer/detection-diagnosis-staging/staging.html
    6. https://training.seer.cancer.gov/staging/systems/ajcc/
    7. https://www.cancer.org/cancer/types/gallbladder-cancer/treating/treating-by-stage.html