カテゴリー: 卵巣がん

卵巣がん

  • がん抗原 125 検査について知っておくべきこと

    がん抗原 125 (CA-125) 検査は血液検査です。さまざまな健康状態を示す可能性のある血流中のタンパク質を測定します。これらには、卵巣がんなどの特定の種類のがんや、子宮内膜症などの一部の良性疾患が含まれます。

    CA-125 検査は、卵巣がん、子宮内膜がん、または卵管がんを示す可能性のある血液中の特定のタンパク質を測定します。医師は、これらのがんの治療効果を監視するために CA-125 検査を使用することもあります。

    CA-125 レベルが高い場合は、子宮内膜症憩室炎、妊娠などの他の症状を示している可能性もあります。

    この記事では、CA-125 テストの内容、医師がいつテストを使用できるか、結果が何を意味するのかについて説明します。

    CA-125 検査は、医師が卵巣がんや子宮内膜がんなどの特定の種類のがんを診断または監視するために使用する血液検査です。

    細胞はその表面に CA-125 と呼ばれるタンパク質を生成し、その後血流中に放出されます。 CA-125 は腫瘍マーカーまたはバイオマーカーであり、レベルの上昇は体内の癌の存在を示す可能性があることを意味します。

    進行卵巣がん患者の 80% 以上、および早期卵巣がん患者の 50% 以上で CA-125 レベルが上昇しています。子宮内膜症や子宮筋腫などの非がん性疾患も CA-125 レベルの上昇を引き起こす可能性があります。

    医師は、卵巣がんの疑いがある場合に CA-125 検査を使用することがあります。検査結果は診断に役立つ可能性があります。

    卵巣がんの治療を受けている場合、CA-125 検査は、医師が治療の効果をモニタリングするのに役立ちます。 CA-125 レベルの低下は治療が奏功していることを示している可能性がありますが、CA-125 レベルが同じか上昇している場合は代替治療の必要性を示している可能性があります。

    医師は、卵巣がんが再発したかどうかを判断するために、CA-125 検査を他の検査と併用することもあります。

    卵巣がんの初期症状について学びましょう。

    卵巣がんの症状がある人、または卵巣がんの治療を受けている人は、CA-125 検査を受けることがあります。

    2021年の研究によると、CA-125検査は感度が低いため、早期卵巣がんの診断にはあまり役に立ちません。また、閉経前の人々では結果の特異性が低いため、この検査は閉経後の人々にとってより有用です。

    卵巣がん研究同盟 (OCRA) によると、CA-125 検査は閉経後で骨盤腫瘤のある人の検査に最も正確です。

    カナダ癌協会は、CA-125 検査は卵巣癌のスクリーニングに推奨される検査ではないと述べています。これは、早期卵巣がん患者では CA-125 レベルが正常である可能性があるためです。また、良性の原因が高レベルの原因となる場合もあります。

    米国予防サービス特別委員会は、偽陽性のリスクを含むスクリーニングのマイナス面が利点を上回ることに同意し、「卵巣がんのスクリーニングは卵巣がん死亡率を低下させない」と結論付けています。

    CA-125 検査は血液検査であるため、医師は腕の静脈に針を挿入して血液サンプルを採取します。その後、医師はサンプルを研究室に送り、病理学者がサンプルを分析します。

    医師が結果を受け取ったら、その人に連絡して、結果の意味と次のステップの概要を説明します。

    CA-125 テストの準備は必要なく、事前に通常どおり飲食することができます。その後、通常の活動を再開することもできます。

    月経によって CA-125 レベルが上昇する可能性があるため、月経中は CA-125 検査を受けないことが最善です。 CA-125 レベルは通常、骨盤領域に炎症がある場合に高くなります。したがって、CA-125 レベルの上昇を引き起こす可能性のある他の非癌性疾患および要因には、次のようなものがあります。

    CA-125 レベルの上昇を引き起こす可能性のある卵巣がん以外のがんには次のものがあります。

    OCRA によると、CA-125 の正常レベルは 1 ミリリットルあたり 0 ~ 35 単位 (U/ml) です。

    医師は、35 U/ml を超えるレベルを CA-125 レベルが高いとみなします。

    CA-125 レベルが高い場合は、一般に非癌性疾患の兆候です。

    ただし、CA-125 レベルが高い場合は、卵巣がん、子宮内膜がん、卵管がんなどのがんの種類を示す場合があります。 CA-125 レベルが異常に高くなくても、卵巣がんに罹患する可能性もあります。

    子宮内膜がん患者において、CA-125 レベルが非常に高い場合は、がんが子宮の外に広がっていることを示している可能性があります。医師は CA-125 の結果を使用して、手術ががんの除去にどの程度効果を発揮したかを確認することもできます。

    がんの治療を受けている人は、CA-125 レベルの低下は治療が効いていることを意味している可能性があります。医師は新しいレベルを元のレベルと比較することでこれを判断します。

    CA-125 検査は、血流中の CA-125 タンパク質の量を測定する血液検査です。

    CA-125 のレベルが高い場合は、子宮筋腫、子宮内膜症、卵巣がんなどの一部のがんなど、特定の健康状態を示している可能性があります。月経や妊娠も CA-125 レベルの上昇を引き起こす可能性があります。

    医師は、卵巣がんの疑いがある場合に CA-125 検査を使用することがあります。また、卵巣がんや子宮内膜がんの治療効果を監視するためにこの検査を使用することもあります。

    CA-125 検査で異常な結果が出た場合、医師は根本的な原因を確認するためにさらなる検査を実施し、必要な治療法を提案することがあります。

    がん抗原 125 検査について知っておくべきこと・関連動画

    参考文献一覧

    1. https://www.ncbi.nlm.nih.gov/books/NBK562245/
    2. https://www.cancer.org/cancer/endometrial-cancer/detection-diagnosis-staging/how-diagnosed.html
    3. https://ocrahope.org/patients/about-ovarian-cancer/symptoms-and-detection/what-is-ca-125/
    4. https://cancer.ca/en/treatments/tests-and-procedures/cancer-antigen-125-ca-125
    5. https://www.cancer.org/cancer/ovarian-cancer/detection-diagnosis-staging/detection.html
  • 腹膜癌腫症と卵巣癌はどのように関連していますか?

    腹膜癌腫症は、卵巣からの癌細胞が腹膜に広がると発生します。進行性または再発性の上皮性卵巣がんによく見られます。

    腹膜がんは、腹膜で発生するまれな進行がんです。腹膜で発生することもあり、医師が原発性腹膜がんと呼ぶこの状態や、卵巣など他の臓器の腫瘍からの悪性細胞の拡散が原因となることもあります。悪性細胞の拡散によって発生した状態を医師は腹膜癌腫症と呼びます。

    腹膜がんが腹膜に由来するか、他の場所から転移したかにかかわらず、医師は腹膜がんを進行がんとみなします。この病気の人は見通しが悪くなります。

    この記事では、腹膜癌腫症と卵巣癌との関連性を探ります。また、誰がこの状態のリスクにさらされているか、その症状、原因などについても説明します。

    PER画像/ストックシー

    腹膜は、上皮細胞からなる組織の薄い層です。壁側腹膜は腹壁の内側を覆い、内臓腹膜は卵巣を含む腹腔内の臓器を包み込んで連続しています。

    神経、リンパ管、血液の通り道として機能し、腹腔内の臓器をサポートします。 2 つの層の間に液体が満たされた小さな空間により摩擦が軽減され、層とそれに包まれた器官が自由に滑ることができます。

    腹膜癌腫症が上皮性卵巣癌とともに発症すると、卵巣腫瘍から癌細胞が剥がれ落ち、腹膜液中に浮遊して腹膜細胞に付着します。

    卵巣がん患者の約 75% は、医師が卵巣がんを診断した時点ですでに腹膜転移を起こしています。この段階では、多くの場合、壁側腹膜および内臓腹膜の内面に小さな白色の沈着物のように見える癌細胞が広範囲に広がっています。

    しかし、卵巣を切除したとしても腹膜がんが残る可能性はあります。

    原発性腹膜癌を発症する場合もあります。原発性腹膜癌は、癌が腹膜組織から発生した場合に発生します。ただし、これは腹膜癌腫症よりもはるかに頻度が低いです。

    腹膜と卵巣の表面は両方とも上皮細胞で構成されています。これは、これらの領域のがんが同じように見え、同じように作用し、同様の症状を引き起こし、同様の治療を必要とする可能性があることを意味します。

    腹膜で覆われた他の臓器の腫瘍から広がる癌細胞は、腹膜癌腫症を引き起こします。

    2021 年のレビューによると、最も一般的な原発腫瘍の場所には卵巣、結腸、直腸が含まれており、これらのがんを持つ人々が最もリスクにさらされています。

    原発性腹膜がんは、主に女性が罹患する稀ながんです。そのサブタイプである卵巣外原発性腹膜癌は、女性のみに発生します。この疾患を持つ人の平均年齢は 56 ~ 62 歳です。

    国立がん研究所は、卵巣がんの家族歴のある女性は原発性腹膜がんおよび卵巣がんのリスクがあると述べています。その他の危険因子には次のものがあります。

    腹膜がんは、病気の程度に応じてさまざまな症状を示します。医師は通常、卵巣がんなどのがんの末期段階で、あいまいな症状から診断します。

    これらには次のものが含まれます。

    最も一般的な症状には腹部の膨満と痛みがあり、最も一般的な兆候には、医師が腹水と呼ぶ、顕著な腹部の塊や過剰な腹水が含まれます。腹膜がん患者の 85% に腹水と腹部症状が見られます。

    他の場所の腫瘍から癌細胞が広がると、腹膜癌腫症が引き起こされます。この状態を引き起こす最も一般的な原発腫瘍は、卵巣、胃、および結腸直腸です。

    腹膜に転移する可能性のあるその他の腫瘍には、次のようなものがあります。

    原発性腹膜がんの原因は不明です。しかし、研究によると、 BRCA1遺伝子の生殖系列変異が症例の17.6%を引き起こすことが示唆されています。

    医師は腹膜がんを診断するために、患者の症状、病歴、家族歴について質問します。また、腹部に兆候がないかを調べるために身体検査や骨盤検査も行います。

    明確な診断を下すためにいくつかの検査を要求する場合があります。画像検査は、腹膜内の異常な塊や肉芽を探すのに役立ちます。これらのテストには次のものが含まれます。

    • 超音波:これは通常、医師が癌性肉芽を検出するために使用する予備検査です。ただし、超音波検査では大きさが2センチメートル未満のものは識別できません。肉芽だけでなく、腹水、癒着、リンパ節腫脹 (リンパ節の腫れ) などの他の特徴も検出できます。
    • CT スキャン: 5 ミリメートルほどの小さな肉芽を確認できます。
    • MRI スキャン: MRI スキャンは、小さな腹膜癌腫症の検出において CT スキャンよりも感度が高くなります。これらは、状態を診断し、病期分類するために選択されるモダリティです。
    • 下部または上部消化管シリーズ:バリウムと呼ばれる液体を飲み込み、X 線で胃腸構造の輪郭を撮影します。

    腫瘍の組織学的サブタイプを決定するには、侵襲的処置が不可欠です。これらには、医師が開腹術または腹腔鏡検査を実施し、1 つまたは複数の臓器の組織サンプルを採取して癌性かどうかを確認する生検が含まれる場合があります。

    医師は、顕微鏡で検査するために腹部から液体を除去する穿刺を行うこともあります。

    CA-125 腫瘍マーカーをチェックするために血液検査を要求する場合があります。腹膜がんはこのタンパク質を生成することが多く、CA-125 の上昇はがんを示している可能性があります。ただし、腹膜がんに限定されるものではありません。

    卵巣がんの腫瘍マーカー検査について詳しくは、こちらをご覧ください。

    見通し

    医師は原発性腹膜がんや腹膜がん腫症の末期疾患を考慮しており、これらの症状のある人は見通しが悪くなります。

    腹膜癌の生存率中央値は6か月ですが、これは段階によって異なります。ステージ 0、1、2 の腹膜癌腫症の場合は 5 ~ 10 か月です。ステージ3および4のがん患者の場合、2~3.9か月です。

    生存率は原発腫瘍の起源によっても異なる場合があります。

    • 膵臓: 2.9ヶ月
    • 胃: 6.5ヶ月
    • 結腸直腸: 6.9ヶ月

    腹膜がんには集学的治療アプローチが最良の選択肢です。治療法は、腫瘍の段階、悪性度、大きさ、位置、さらには年齢や全体的な健康状態によって異なります。

    治療法には次のようなものがあります。

    • 化学療法:この治療法では、抗がん剤を使用してがん細胞の増殖を阻止します。腹膜がんは通常、進行した段階にあるため、医師は全身的に化学療法を使用して、体の他の部分に広がったがん細胞を標的にすることができます。これらを静脈から血流に投与することも、経口摂取することもできます。
    • 細胞縮小手術:この外科手術には、腹膜の一部の腫瘍の除去、腹膜切除術による腹膜の一部または全体の除去、および影響を受けた臓器または組織の完全な除去が含まれます。
    • 腹腔鏡下温熱腹腔内化学療法 (HIPEC):これには、手術後 2 時間、平均体温よりも高く加熱された化学療法薬を腹膜に直接注入することが含まれます。これは 30 ~ 120 分間行われ、薬の効果を高めることを目的としています。
    • 術後早期の腹腔内化学療法:これは、化学療法薬を腹膜に送達するという点で HIPEC に似ています。医師は手術後の初日に手術を行います。
    • 緩和手術:これには、患者の症状を軽減し、生活の質を改善するために手術を行うことが含まれます。がんが転移して手術不能になった場合、医師はこれを使用します。

    医師は多くの場合、原発性腹膜がんを進行性上皮性卵巣がんと同様に、同じ種類の化学療法薬を使用して治療します。

    国立衛生研究所 (NIH) によると、治療には以下が含まれる場合があります。

    • 手術とそれに続く他の治療:外科医はがんのすべてまたは可能な限りの切除を試み、子宮、卵巣、卵管を切除する場合もあります。通常、手術後には、静脈内化学療法、腹腔内化学療法、または標的療法を伴う化学療法が行われます。
    • 化学療法と標的療法とその後の手術:腹腔内化学療法の後に腹腔内化学療法を行うこともあります。
    • 唯一の治療法としての化学療法:医師は手術ができない人に化学療法を使用する場合があります。
    • PARP 阻害剤による標的療法: PARP 阻害剤は、がん細胞の修復と複製を妨げる薬剤の一種です。
    • PARP阻害剤による標的療法の臨床試験:医師は、臨床試験中の新しい抗がん剤の試用を推奨する場合があります。

    腹膜癌腫症は、特に卵巣癌による非特異的な症状をすでに経験している場合、早期に診断することが困難な場合があります。次のような新たな症状が現れた場合は、医師に相談する必要があります。

    • 腹痛
    • 軽い食事の後は満腹感がある
    • 食欲不振
    • 直腸または性器からの出血

    見逃されがちな卵巣がんの症状について詳しくは、こちらをご覧ください。

    腹膜癌腫症は腹膜癌の二次的な形態であり、卵巣を含む離れた腫瘍部位から癌細胞が広がることで発生します。これは、がん細胞が腹膜(腹部の臓器を覆う内層)を通って移動するときに発生します。

    卵巣がんと同様、その症状は曖昧で特異的ではないため、医師はこの種のがんを後期段階で診断することがよくあります。進行卵巣がんの診断を受けたほとんどの人は、すでに腹膜がん腫症を患っています。医師はこの病気を進行がんと関連付け、この病気を持つ人々は見通しが悪くなります。

    腹膜癌腫症と卵巣癌はどのように関連していますか?・関連動画

    参考文献一覧

    1. https://acsjournals.onlinelibrary.wiley.com/doi/full/10.3322/caac.21277
    2. https://www.ncbi.nlm.nih.gov/books/NBK541114/
    3. https://www.cancerresearchuk.org/about-cancer/ovarian-cancer/types/epithelial-ovarian-cancers/primary-peritoneal
    4. https://www.ncbi.nlm.nih.gov/books/NBK562138/
    5. https://www.cancer.gov/types/ovarian/patient/ovarian-epithelial-treatment-pdq#_195
    6. https://journals.sagepub.com/doi/full/10.1369/0022155417742897
    7. https://www.cancer.gov/types/ovarian/patient/ovarian-epithelial-treatment-pdq
    8. https://www.statpearls.com/ArticleLibrary/viewarticle/27025
    9. https://www.ncbi.nlm.nih.gov/pmc/articles/PMC5931085/
    10. https://www.ncbi.nlm.nih.gov/books/NBK562138/#article-27025.s4
  • ルブラカ(ルカパリブ)

    ルブラカとは何ですか?

    ルブラカはブランド名の処方薬です。卵巣、卵管、腹膜(お腹の内側を覆う薄い層の組織)の特定の種類のがんの治療に FDA から承認されています。*† Rubraca は、成人の特定の種類の前立腺がんの治療にも FDA から承認されています。 .†

    Rubraca には、ポリ (ADP-リボース) ポリメラーゼ (PARP) 阻害剤と呼ばれる薬物のグループに属する有効成分ルカパリブが含まれています。 PARP 阻害剤は PARP酵素をブロックします。 PARP酵素は、がん細胞の自己修復と増殖を助けます。 PARP阻害剤はこの酵素をブロックすることで、がん細胞の増殖を防ぐことができます。

    ルブラカは飲み込む錠剤として提供されます。 200 ミリグラム (mg)、250 mg、300 mg の 3 つの強度で入手できます。ルブラカを1日2回摂取することになるでしょう。

    * 卵管や腹膜に発生する特定のがんは卵巣がんに似ているため、卵巣がんと呼ばれることもあります。この記事では、卵巣がん、卵管がん、腹膜がんをすべて卵巣がんと呼びます。
    † これらの用途の詳細については、「卵巣がんに対するルブラカ」および「前立腺がんに対するルブラカ」のセクションを参照してください。

    FDAの承認

    2016年、食品医薬品局(FDA)は、特定の形態の卵巣がんの治療にルブラカを承認しました。

    そして2020年、FDAはルブラカに特定の形態の前立腺がんの治療薬として早期承認を与えた。

    FDAは通常、徹底的な臨床試験が行われた後にのみ医薬品を承認します。ただし、ルブラカなどの特定の薬については、すべての研究が完了する前に FDA がその薬を承認しました。早期承認とは、治療法の選択肢がほとんどない前立腺がんなどの重篤な疾患に使用される薬剤を FDA が早期に承認することです。

    ルブラカの早期承認は、初期の臨床研究の結果に基づいています。さらなる研究が行われた後、FDAは完全な承認を与えるかどうかを決定する予定です。

    効果

    ルブラカの有効性については、以下の「卵巣がんに対するルブラカ」および「前立腺がんに対するルブラカ」のセクションを参照してください。

    ルブラカのジェネリック

    ルブラカはブランド薬としてのみ入手可能です。現在、汎用形式では入手できません。

    ジェネリック医薬品は、ブランド医薬品に含まれる有効医薬品の正確なコピーです。ジェネリック医薬品は通常、ブランド医薬品よりも安価です。

    ルブラカの副作用

    ルブラカは軽度または重度の副作用を引き起こす可能性があります。以下のリストには、ルブラカの服用中に発生する可能性のある主な副作用のいくつかが含まれています。これらのリストには、考えられるすべての副作用が含まれているわけではありません。

    ルブラカの副作用の可能性について詳しくは、医師または薬剤師に相談してください。彼らは、厄介な副作用に対処する方法についてのヒントを提供してくれるでしょう。

    注:食品医薬品局 (FDA) は、承認した医薬品の副作用を追跡しています。ルブラカで生じた副作用を FDA に報告したい場合は、MedWatch を通じて行うことができます。

    軽度の副作用

    ルブラカの軽度の副作用には次のようなものがあります:*

    • 腹部(お腹)の痛み
    • 肝臓または腎臓の機能を評価する血液検査の変化
    • 食欲の低下
    • 物の味の変化
    • 下痢または便秘
    • コレステロール値の増加
    • 発疹
    • 息切れ
    • 口内炎(口の中のただれ)
    • 風邪などの上気道感染症
    • 吐き気† または嘔吐
    • 疲労† (エネルギー不足)

    これらの副作用のほとんどは、数日または数週間以内に消える可能性があります。ただし、症状が悪化したり消えない場合は、医師または薬剤師に相談してください。

    * これは、ルブラカの軽度の副作用の部分的なリストです。その他の軽度の副作用について知りたい場合は、医師または薬剤師に相談するか、Rubraca の処方情報をご覧ください。
    † これらの副作用の詳細については、以下の「副作用の詳細」を参照してください。

    重篤な副作用

    ルブラカによる重篤な副作用は一般的ではありませんが、発生する可能性があります。重篤な副作用がある場合は、すぐに医師に連絡してください。症状が生命を脅かすと思われる場合、または医療上の緊急事態が発生していると思われる場合は、911 または最寄りの緊急電話番号に電話してください。

    重篤な副作用とその症状には次のようなものがあります。

    ※これらの副作用の詳細については、下記の「副作用の詳細」をご覧ください。

    副作用の詳細

    この薬を使用すると特定の副作用がどのくらいの頻度で発生するのか、あるいは特定の副作用がこの薬に関係するのか疑問に思うかもしれません。この薬が引き起こす可能性のある、または引き起こさない可能性のあるいくつかの副作用について詳しく説明します。

    アレルギー反応

    ほとんどの薬と同様、ルブラカを服用した後にアレルギー反応を起こす人もいます。臨床研究では、卵巣がんを患う成人の13~43%が、ルブラカに対する発疹または発疹様のアレルギー性皮膚反応を経験しました。これは、プラセボ(実薬を使用しない治療)を受けた成人の23%と比較されました。

    前立腺がんの成人では、ルブラカを摂取した成人の 27% に発疹が発生しました。ルブラカは別の薬やプラセボと比較されませんでした。

    軽度のアレルギー反応の症状には次のようなものがあります。

    • 皮膚の発疹
    • かゆみ
    • 紅潮(皮膚の熱感と赤み)
    • 光過敏症(詳細については、以下の「光過敏症」セクションを参照してください。)

    より重度のアレルギー反応が起こることはまれですが、可能性はあります。重度のアレルギー反応の症状には次のようなものがあります。

    • 皮膚の下、通常はまぶた、唇、手、足の腫れ
    • 舌、口、喉の腫れ
    • 呼吸困難

    ルブラカに対する重度のアレルギー反応がある場合は、すぐに医師に相談してください。症状が生命を脅かすと思われる場合、または医療上の緊急事態が発生していると思われる場合は、911 または最寄りの緊急電話番号に電話してください。

    吐き気

    ルブラカの副作用の一つに吐き気があります。臨床研究では、吐き気は以下の場合に発生しました。

    • 治療中の症状に応じて、ルブラカを服用した人の 52% ~ 77%
    • プラセボ(有効な薬剤を使用しない治療法)を服用していた人の 36%

    これらの臨床研究でルブラカを服用中に人々が吐き気を経験した期間は不明です。ただし、同じ臨床研究でルブラカを摂取した人々は次のようになりました。

    • 6%から15%が吐き気を経験し、非常に煩わしかったため、治療対象の状態に応じて、投与量を減らして投与する必要がありました。
    • 3% が吐き気を経験し、非常に不快だったので治療を中止しなければならなかった

    この薬の服用中に吐き気が生じた場合は医師に相談してください。彼らはあなたの不快感を和らげる方法を提案してくれるでしょう。

    倦怠感

    ルブラカの最も一般的な副作用の 1 つは、疲労と呼ばれるエネルギー不足です。臨床研究では:

    • 治療中の症状に応じて、ルブラカを摂取した人の 62% ~ 77% が疲労を経験しました
    • プラセボを服用していた人の46%が疲労を経験

    これらの臨床研究では、ルブラカを服用中に人々がどのくらいの時間疲労を経験したかは不明です。しかし、同じ臨床研究でルブラカを摂取した人の10%から13%は、あまりにも煩わしい疲労感を経験したため、投与量を減らして投与する必要がありました。 (割合は治療対象の症状によって異なります。)

    疲労の症状には次のようなものがあります。

    • 集中力の低下
    • 筋肉痛
    • 日中に眠気を感じる

    ルブラカの服用中に疲労感がある場合は、医師に相談してください。エネルギーを高める方法をアドバイスしてもらえます。

    うつ

    場合によっては、ルブラカの使用によりうつ病が引き起こされる可能性があります。ある臨床研究では、卵巣がんの治療のためにルブラカを投与された人の 11% にうつ病が発生しました。* この研究でプラセボを摂取した人々でうつ病がどのくらいの頻度で発生したかは不明です。

    前立腺がんに対するルブラカの臨床研究でうつ病を経験した人の割合は不明です。

    うつ病の症状には次のようなものがあります。

    • 以前好きだった活動に興味がなくなる
    • 食欲の変化
    • いつもより睡眠時間が多いか少ない
    • 落ち込んでいる

    ルブラカの服用中にうつ病の症状が出た場合は、すぐに医師に相談してください。彼らは役立つかもしれない治療法や別の薬を勧めてくれます。

    * 卵管や腹膜(お腹の内側を覆う薄い組織層)に発生する特定のがんは、卵巣がんに似ている場合があります。そのため、卵巣がんと呼ばれることもあります。この記事では、卵巣がん、卵管がん、腹膜がんをすべて卵巣がんと呼びます。

    光に対する過敏症

    ルブラカの使用により、日光に対する過敏症である光線過敏症が起こる可能性があります。臨床研究では、卵巣がん*の治療のためにルブラカを服用した人の10%にこの副作用が発生しました。この研究で他の薬を服用中に光線過敏症を経験した人の割合は不明です。

    前立腺がんに対するルブラカの臨床研究で光線過敏症を経験した人の割合は不明です。

    光過敏症の症状には次のようなものがあります。

    ルブラカを服用している間は、太陽の下で時間を過ごすことは避けてください。日光に当たる必要がある場合は、日焼け止めを着用し、皮膚を保護する衣服を着用してください。ルブラカ服用中の光線過敏症のリスクについて医師に相談してください。

    * 卵管や腹膜に発生する特定のがんは卵巣がんに似ているため、卵巣がんと呼ばれることもあります。この記事では、卵巣がん、卵管がん、腹膜がんをすべて卵巣がんと呼びます。

    貧血

    ルブラカは赤血球数の減少である貧血を引き起こす可能性があります。臨床研究では、以下の場合に貧血が発生しました。

    • 治療中の症状に応じて、ルブラカを服用した人の 39% ~ 44%
    • プラセボを摂取した人の5%

    これらの臨床研究でルブラカを服用中に人々が貧血を経験した期間は不明です。ただし、同じ臨床研究でルブラカを摂取した人々は次のようになりました。

    • 14% ~ 17% が貧血を経験しており、非常に煩わしかったため、治療対象の状態に応じて、投与量を減らして投与する必要がありました。
    • 3% が治療を中止しなければならないほど貧血を経験した

    貧血がひどくない限り、貧血の症状は出ません。貧血の症状には次のようなものがあります。

    • 異常な心拍リズム
    • めまい
    • 速い呼吸
    • 心不全
    • 心拍数の増加
    • 喉の渇きの増加
    • 青白い肌または黄色の肌
    • 発汗
    • 疲れ
    • 弱さ

    ルブラカの服用中にこれらの症状が発生した場合は、医師に相談してください。彼らは役立つかもしれない治療法や別の薬を勧めてくれます。

    骨髄異形成症候群および急性骨髄性白血病

    まれに、ルブラカの使用により骨髄に深刻な問題が発生することがあります。これは骨髄異形成症候群 (MDS) につながる可能性があります。これは、骨髄が健康な血球の生成を停止する骨髄がんと血液がんのグループです。人によっては、MDS が急性骨髄性白血病 (AML) と呼ばれる白血球がんを引き起こす可能性があります。

    臨床試験では、ルブラカを投与された特定の人々にこの MDS または AML が見られました。彼らは、以前にプラチナを含む化学療法または他の特定のがん治療を受けた人々でした。

    臨床試験中、ルブラカを摂取した1,146人のうち、20人(1.7%)がMDSまたはAMLを発症しました。これらの症状は、ルブラカをわずか 4 週間からほぼ 4.5 年間服用していた人々に発生しました。

    興味深いことに、転移性去勢抵抗性前立腺がん(mCRPC)患者209人を対象とした進行中の臨床試験では、MDSもAMLも報告されていない。研究参加者全員がルブラカを投与されました。治験はまだ継続中であるため、研究が完了すると、このグループの人々におけるルブラカの副作用についてさらに多くのことが分かることになるでしょう。

    MDS および AML は非常に重篤な状態であり、臨床試験でルブラカを服用し MDS または AML を発症した人が死亡するケースもありました。ただし、死亡がどのくらいの頻度で発生したかは不明です。

    MDS および AML の症状

    MDS および AML の症状には次のようなものがあります。

    • 通常より出血しやすくなる
    • 便または尿中の血
    • あざ
    • 疲労(エネルギー不足)
    • 感染
    • 血球数が少ない
    • 輸血の必要性
    • 呼吸困難
    • 弱さ
    • 減量

    ルブラカの服用中にこれらの症状が発生した場合は、すぐに医師に相談してください。それらの多くは他の血液疾患と重複します。医師は、血液疾患があるかどうかを確認するために血液検査を行う場合があります。血球数が通常より低い場合、医師は血球数が改善するまでルブラカの投与を一時停止するか、投与量を減らすことがあります。臨床検査で MDS または AML であることが確認された場合、医師は治療を中止する可能性があります。

    脱毛(副作用ではありません)

    ルブラカの臨床研究では脱毛は観察されませんでした。しかし、脱毛は化学療法や他の一部の抗がん剤の一般的な副作用です。

    ルブラカの服用中に脱毛が心配な場合は、医師に相談してください。彼らは役立つかもしれない治療法を提案することができます。

    卵巣がんに対するルブラカ

    食品医薬品局(FDA)は、特定の症状を治療するためにルブラカなどの処方薬を承認しています。ルブラカは、他の症状に対して適応外で使用されることもあります。適応外使用とは、ある症状の治療に承認されている薬が別の症状の治療に使用されることです。

    卵巣がん(卵管がん、腹膜がんを含む)に対するルブラカ

    ルブラカは、特定の形態の卵巣がんを患う成人への使用が FDA から承認されています。卵管や腹膜(お腹の内側を覆う薄い組織層)に発生する特定のがんは、卵巣がんに似ている場合があります。そのため、卵巣がんと呼ばれることもあります。この記事では、卵巣がん、卵管がん、腹膜がんをすべて卵巣がんと呼びます。

    ルブラカが治療する特定の種類の卵巣がんは、上皮性卵巣がんです。 「上皮性」とは、がんが卵巣の上皮(外層)にあることを意味します。そして、ルブラカが治療に使用されるタイプの腹膜癌は、原発性腹膜癌と呼ばれます。 「原発性」であるためには、がんが腹膜で発生し、腹膜で増殖する必要があります。

    卵巣がんの治療を目的として、ルブラカは次の目的で使用できます。

    • 再発(再発)しており、プラチナベースの化学療法に反応している卵巣がん
      • 「反応中」とは、治療に対して部分的または完全に反応していることを意味します。この治療により、部分的な奏効が得られ、がん細胞のレベルがある程度低下しました。この治療により完全な奏効が得られ、がん細胞は血液検査では検出できないレベルまで減少しました。
      • ルブラカは、がんの悪化や再発のリスクを下げるために長期にわたって服用できるため、維持療法と呼ばれます。
    • 特定のBRCA遺伝子変異(乳がんを防ぐ遺伝子の損傷)を持つ成人の卵巣がん
      • BRCA変異は有害であるに違いありません。 「有害」とは、その変異によって特定のがんの発症リスクが高まることを意味します。
      • 突然変異は、生殖系列、体細胞、またはその両方である必要もあります。 「生殖系列」とは、両親のどちらかから受け継いだ突然変異を指します。 「体細胞性」とは、親から受け継がれない突然変異を指します。
      • ルブラカは、少なくとも 2 回の化学療法を受けた成人のこの卵巣がんに使用されます。

    卵巣がんの症状には、膨満感や骨盤領域、腹部、背中の痛みなどがあります。卵巣または卵管が関与している場合は、予期しない性器出血が発生する可能性があります。原発性腹膜がんでは、食事を終える前に満腹感を感じることもあります。

    卵巣がんに対する効果

    臨床研究では、ルブラカが卵巣がんの効果的な治療法であることが示されています。

    無増悪生存期間の概要

    ある臨床研究では、卵巣がんが再発し、プラチナベースの化学療法に反応した成人を調査しました。 Rubraca をプラセボ(有効な薬剤を使用しない治療) と比較しました。

    研究者らは、卵巣がんのためにルブラカを投与された人は、プラセボを投与された人よりも無増悪生存期間が長くなるのかどうかを知りたいと考えていました。 「無増悪生存期間」とは、がんが悪化することなく生存できる期間です。人々には、がんが悪化するまで、または治療の副作用に耐えられなくなるまで、ルブラカまたはプラセボが投与されました。

    ルブラカを摂取した人の半数でがんが増殖または転移するまでに約10.8か月かかった。プラセボを摂取した人の半数でがんが増殖または転移するまでに約5.4カ月かかった。

    BRCA変異を有し、ルブラカを服用した成人の半数では、がんが増殖または転移するまでに約13.6~16.6か月かかった。 BRCA変異を持つ成人のうちプラセボを摂取した人の半数では、がんが広がるまでに約5.4カ月かかった。

    ルブラカとがんの増殖

    別の臨床研究では、卵巣がんとBRCA遺伝子変異を有し、少なくとも2つの以前の化学療法薬に反応しなかった成人を評価した。研究者らは、ルブラカががんの増殖を阻止するかどうか知りたいと考えていました。人々は、がんが悪化するか副作用に耐えられなくなるまで、ルブラカを投与されました。

    ルブラカは、この薬を服用した人の54%で卵巣がんの増殖を阻止しました。半数の人において、ルブラカはがんの増殖を約 9.2 か月間阻止しました。

    前立腺がんに対するルブラカ

    食品医薬品局 (FDA) は、特定の形態の前立腺がんを患う成人に対する Rubraca の使用を承認しました。この目的のために:

    • がんは転移性(体の他の領域に広がる)かつ去勢抵抗性でなければなりません。 「去勢」とは、テストステロンレベルの低下を指します。異常なテストステロンレベルは、多くの場合、前立腺がんの増殖を引き起こす役割を果たします。前立腺がんは、テストステロンレベルを低下させるための手術や治療にもかかわらず、がんが転移または成長し続ける場合、去勢抵抗性と呼ばれます。
    • 特定のBRCA遺伝子変異 (乳がんを防ぐ遺伝子の損傷) を持っている必要があります。
      • BRCA変異は有害であるに違いありません。 「有害」とは、その変異によって特定のがんの発症リスクが高まることを意味します。
      • 突然変異は、生殖系列、体細胞、またはその両方である必要もあります。 「生殖系列」とは、両親のどちらかから受け継いだ突然変異を指します。 「体細胞性」とは、親から受け継がれない突然変異を指します。
      • さらに、以前に抗アンドロゲン療法とタキサンと呼ばれる一種の薬剤による化学療法を受けている必要があります。抗アンドロゲン療法は、アンドロゲン ホルモンの作用をブロックする薬を指す用語です。 (テストステロンはアンドロゲンの一種です)。アンドロゲン ホルモンは、前立腺上のがん細胞の増殖を刺激します。したがって、抗アンドロゲン療法はがん細胞の増殖を防ぐのに役立ちます。

    FDAは、この薬の初期臨床研究に基づいて、ルブラカの前立腺がん使用の早期承認を与えた。さらなる研究が行われた後、FDAは完全な承認を与えるかどうかを決定する予定です。詳細については、上記の「 FDA の承認」セクションを参照してください。

    前立腺がんは男性に発生し、前立腺から始まります。この腺は膀胱と陰茎の間にあります。

    前立腺がんの症状には、排尿時の痛みや精液や尿中の血が含まれる場合があります。症状としては、排尿の開始や尿の流れの維持に困難が伴うこともあります。

    前立腺がんに対する有効性

    臨床研究では、ルブラカが前立腺がんの効果的な治療法であることが示されています。

    ある臨床研究では、前立腺がんにBRCA遺伝子変異がある成人を対象に研究が行われました。彼らは抗アンドロゲン療法とタキサン化学療法も受けていた。研究者らは、ルブラカががんの増殖を阻止するかどうか知りたいと考えていました。人々は、がんが悪化するまで、または治療の副作用に耐えられなくなるまで、ルブラカを投与されました。

    ルブラカは、この薬を服用した人の 44% で腫瘍の縮小を助けました。この臨床試験では、研究結果にカウントされるためには、腫瘍のサイズが少なくとも 30% 縮小している必要がありました。ルブラカは、別の薬やプラセボ(有効な薬を使用しない治療法)とは比較されませんでした。

    ルブラカががんの増殖を阻止した期間は、1.7か月から2年の範囲でした。この試験の長期追跡調査は現在も継続中です。

    ルブラカのその他の用途

    上記の用途に加えて、ルブラカは他の目的で適応外で使用される場合があります。適応外医薬品の使用とは、ある用途で承認されている医薬品が、承認されていない別の用途に使用されることです。そして、ルブラカが他の特定の症状にも使用されるのではないかと疑問に思うかもしれません。以下は、Rubraca の他の用途に関する情報です。

    乳がんに対するルブラカ(適応外使用)

    食品医薬品局(FDA)は乳がんの治療にルブラカを承認していません。ただし、この薬はこの目的で適応外で使用されることがあります。この症状の治療におけるルブラカの役割を決定するには、さらなる研究が必要です。現在、このような臨床研究により、乳がんに対するルブラカの有効性が評価されています。

    乳がんの治療に Rubraca を使用することについて質問がある場合は、医師に相談してください。

    膵臓がんに対するルブラカ(適応外使用)

    Rubraca は膵臓がんの治療として FDA から承認されていません。ただし、この薬はこの目的で適応外で使用されることがあります。臨床研究では、ルブラカが、以前に少なくとも 2 種類の化学療法を受けたことがあるBRCA遺伝子変異を持つ成人の膵臓がんの治療に有効であることが示されました。

    膵臓がんの治療にルブラカを使用する方法について詳しく知りたい場合は、医師に相談してください。

    ルブラカと子供たち

    ルブラカは小児への使用は承認されていません。この薬が子供にとって安全か有効かどうかは不明です。

    ルブラカに関するよくある質問

    ここでは、ルブラカに関するよくある質問への回答を示します。

    ルブラカは化学療法ですか?

    いいえ、ルブラカは化学療法薬ではありません。化学療法薬は急速に増殖する細胞を殺します。化学療法薬はがん細胞と健康な細胞を区別できません。化学療法によって健康な細胞が損傷を受ける可能性があり、多くの副作用が引き起こされます。

    ルブラカはがんの標的療法です。標的療法はがん細胞に特に焦点を当てているため、健康な細胞に対する影響は化学療法よりも低くなります。

    Rubraca は、ポリ (ADP-リボース) ポリメラーゼ (PARP) 阻害剤と呼ばれる薬物のグループに属します。 PARP阻害剤は、PARP酵素を特異的にブロックしてがん細胞の増殖を防ぎます。酵素は、体内の化学変化を助けるタンパク質です。

    ルブラカ治療中、いつ血液検査が必要になりますか?

    医師は、ルブラカによる治療を開始する前と、薬を服用している間毎月、血液を検査します。血球数が少ない場合は、毎週血液検査が行われる場合があります。医師は、血球数が改善するまでルブラカの使用を一時停止することもあります。

    血液検査が必要な理由は、ルブラカの摂取により血小板減少症(血小板と呼ばれる血球の数が減少すること)を引き起こす可能性があるためです。この薬は、特定の白血球数が減少する白血球減少症リンパ球減少症好中球減少症を引き起こす可能性もあります。

    まれに、ルブラカの摂取により、骨髄異形成症候群 (MDS)および急性骨髄性白血病 (AML)と呼ばれる 2 つの重篤な状態を引き起こす可能性もあります。これらは骨髄の疾患です。どちらの状態も、上記の血液疾患と同様の症状を引き起こす可能性があります。血液疾患、MDS、AML の詳細については、上記の「副作用の詳細」セクションを参照してください。

    ルブラカ治療中の血液検査について質問がある場合は、医師にご相談ください。

    ルブラカを服用している間、なぜ日光を避けなければならないのですか?

    ルブラカを摂取すると、光過敏症(日光に対する過敏症)が生じる可能性があります。光過敏症は、皮膚の水疱、発疹、または日焼けを引き起こす可能性があります。臨床研究では、卵巣がん*の治療のためにルブラカを服用した人の10%にこの副作用が発生しました。前立腺がんに対するルブラカの臨床研究で光線過敏症を経験した人の割合は不明です。

    自分自身を守るためのヒントを含む詳細については、「副作用の詳細」の「光に対する過敏症」セクションを参照してください。

    * 卵管や腹膜(お腹の内側を覆う薄い組織層)に発生する特定のがんは、卵巣がんに似ている場合があります。そのため、卵巣がんと呼ばれることもあります。この記事では、卵巣がん、卵管がん、腹膜がんをすべて卵巣がんと呼びます。

    ルブラカの副作用を監視する必要がありますか?

    Rubraca の治療中、医師は臨床検査 (血液検査など) を実施して、薬の副作用の一部を監視します。ただし、ルブラカを服用しているときに自分がどのように感じたかを記録しておくことも役立つかもしれません。この薬の製造元は、治療を追跡するのに役立つ 60 ページの日記を提供しています。自分の気分を評価し、副作用をリストアップするためのスポットが含まれています。

    ルブラカの服用中に副作用が発生するのではないかと心配な場合は、医師に相談してください。

    ルブラカを服用後に嘔吐した場合、もう一度服用する必要がありますか?

    いいえ、嘔吐した後にルブラカを再度服用するべきではありません。次回は通常の時間に服用してください。ルブラカの服用中に嘔吐した場合は医師に相談してください。彼らは原因を特定し、役立つ可能性のある治療法を提案するのに役立ちます。

    ルブラカの投与量

    医師が処方するルブラカの投与量は、いくつかの要因によって異なります。これらには次のものが含まれます。

    • Rubraca を使用して治療している症状の種類と重症度
    • あなたの年齢
    • 経験する可能性のある副作用
    • その他の病状がある可能性があります

    通常、医師は低用量から開始します。その後、時間をかけて調整して、あなたに最適な量に達します。医師は最終的に、望ましい効果をもたらす最小用量を処方します。

    以下の情報は、一般的に使用または推奨される投与量について説明しています。ただし、必ず医師の処方した用量を守って服用してください。医師はあなたのニーズに合わせて最適な投与量を決定します。

    薬の形と強さ

    ルブラカは飲み込む錠剤として提供されます。 200 ミリグラム (mg)、250 mg、300 mg の 3 つの強度で入手できます。

    卵巣がんの投与量

    ルブラカは、再発しプラチナベースの化学療法に反応している上皮性卵巣がん* の治療に使用できます。特定のBRCA遺伝子変異 (乳がんを防ぐ遺伝子の損傷) がある場合、この薬は卵巣がんの治療にも使用できます。以前に少なくとも 2 つの化学療法を受けている必要があります。ルブラカのこの使用法の詳細については、上記の「卵巣がんに対するルブラカ」セクションを参照してください。

    卵巣がんに対するルブラカの推奨用量は、1 日 2 回 600 mg (300 mg 錠 2 錠) です。食事の有無にかかわらず薬を服用できます。

    ルブラカにより重篤な副作用が発生した場合、医師は投与量を減らすか、投与を中止することがあります。この薬の考えられる副作用の詳細については、上記の「ルブラカの副作用」セクションを参照してください。

    ルブラカの服用中に発生する可能性のある副作用については医師に相談してください。

    * 卵管や腹膜(お腹の内側を覆う薄い組織層)に発生する特定のがんは、卵巣がんに似ている場合があります。そのため、卵巣がんと呼ばれることもあります。この記事では、卵巣がん、卵管がん、腹膜がんをすべて卵巣がんと呼びます。

    前立腺がんに対する投与量

    ルブラカは、転移性および去勢抵抗性の前立腺がんの治療に使用できます。また、特定のBRCA遺伝子変異 (乳がんを防ぐ遺伝子の損傷) を持っている必要があります。さらに、以前に抗アンドロゲン療法とタキサンと呼ばれる一種の薬剤による化学療法を受けている必要があります。ルブラカのこの使用法の詳細については、上記の「前立腺がんに対するルブラカ」セクションを参照してください。

    前立腺がんに対するルブラカの推奨用量は、1 日 2 回 600 mg (300 mg 錠 2 錠) です。食事の有無にかかわらず薬を服用できます。

    飲み忘れた場合はどうなりますか?

    ルブラカを飲み忘れた場合は、次の通常の時間に飲んでください。忘れた分を補うために余分に服用しないでください。

    飲み忘れがないようにするには、携帯電話にリマインダーを設定してみてください。服薬タイマーも便利かもしれません。

    この薬は長期間使用する必要がありますか?

    ルブラカは、薬が有効であり、厄介な副作用がない限り、長期治療として使用されることを目的としています。あなたと医師がルブラカが安全で効果的であると判断した場合は、おそらく長期間服用することになるでしょう。

    ルブラカ vs. リムパーザ

    ルブラカが同様の用途で処方される他の薬とどう違うのか疑問に思うかもしれません。ここでは、ルブラカとリムパーザがどのように似ていて、どのように異なるのかを見ていきます。

    材料

    ルブラカにはルカパリブという薬が含まれています。リムパーザにはオラパリブという薬が含まれています。

    ルブラカとリムパーザはどちらも、ポリ(ADP-リボース)ポリメラーゼ(PARP)阻害剤と呼ばれる種類の薬剤に属します。薬物のクラスとは、同様に作用する薬物のグループです。

    PARP 阻害剤は PARP酵素をブロックします。 PARP酵素は、がん細胞の自己修復と増殖を助けます。 PARP阻害剤はこの酵素をブロックすることで、がん細胞の増殖を防ぐことができます。

    用途

    食品医薬品局 (FDA) は、成人の特定の形態の卵巣がん* および前立腺がん† を治療するためにルブラカとリムパーザを承認しました。リムパーザは他のがんの治療にも承認されています。

    * 卵管および腹膜(お腹の内側を覆う薄い組織層)の特定のがんは、卵巣がんに似ている場合があります。そのため、卵巣がんと呼ばれることもあります。この記事では、卵巣がん、卵管がん、腹膜がんをすべて卵巣がんと呼びます。
    † FDA は、薬剤の初期臨床研究に基づいて、ルブラカのこの使用に対する早期承認を与えました。さらなる研究が行われた後、FDAは完全な承認を与えるかどうかを決定する予定です。詳細については、上記の「 FDA の承認」セクションを参照してください。

    卵巣がんの場合

    卵巣がんの場合、両薬剤は特定の形態の上皮性卵巣がん、卵管がん、および原発性腹膜がんの治療に承認されています。この目的のためには、がんが再発しており、プラチナベースの化学療法に反応している必要があります。維持療法としてルブラカとリムパーザを使用します。

    この薬は他の形態の卵巣がんの治療にも承認されています。ルブラカの用途の詳細については、上記の「卵巣がんに対するルブラカ」のセクションを参照してください。リムパーザの使用について詳しくは、医師に相談してください。

    前立腺がんの場合

    ルブラカとリムパーザは、さまざまな形態の前立腺がんの治療に承認されています。ルブラカの使用に関する詳細については、上記の「前立腺がんに対するルブラカ」セクションを参照してください。リムパーザの使用については医師が詳しく説明してくれるでしょう。

    その他の用途

    リムパーザは、特定の形態の乳がんおよび膵臓がんを患う成人への使用も承認されています。

    薬の形態と投与方法

    ルブラカとリムパーザは両方とも飲み込む錠剤です。各薬は通常、1 日 2 回服用します。

    副作用とリスク

    ルブラカとリムパーザはよく似た副作用を引き起こす可能性がありますが、異なる副作用もいくつかあります。以下にこれらの副作用の例を示します。

    軽度の副作用

    これらのリストには、各薬剤、またはルブラカとリムパーザの両方(個別に服用した場合)で発生する可能性のある最も一般的な軽度の副作用が最大 10 件含まれています。

    • ルブラカで発生する可能性があるもの:
      • 肝機能を評価する血液検査の変化
      • コレステロール値の増加
    • リムパーザで発生する可能性があるもの:
      • 関節痛(関節痛)または筋肉痛(筋肉痛)
      • 頭痛
      • 軽度の血小板減少症(血小板と呼ばれる血球の数が少ない)および軽度の貧血(赤血球の数が少ない)
    • ルブラカとリムパーザの両方で発生する可能性があります。
      • 腹部(お腹)の痛み
      • 腎機能を評価する血液検査の変化
      • 物の味の変化
      • 口内炎(口の中のただれ)
      • 吐き気、嘔吐、下痢、または便秘
      • 疲労(エネルギー不足)

    重篤な副作用

    これらのリストには、ルブラカ、リムパーザ、または両方の薬剤 (個別に服用した場合) で発生する可能性のある重篤な副作用の例が含まれています。

    効果

    ルブラカとリムパーザはFDAが承認した用途が異なりますが、どちらも特定の形態の卵巣がんおよび前立腺がんの治療に使用されます。

    これらの薬剤は臨床研究で直接比較されていませんが、研究ではルブラカとリムパーザの両方が上記の症状の治療に効果的であることが判明しています。

    コスト

    どちらの薬に対して実際に支払う価格も、保険プラン、居住地、利用する薬局によって異なります。

    ルブラカとリムパーザはどちらも先発医薬品です。現在、どちらの薬にもジェネリック医薬品はありません。ブランド薬は通常、ジェネリック医薬品よりも高価です。

    ルブラカ vs. ゼジューラ

    リムパーザ(上記) と同様、ゼジュラという薬もルブラカと同様の用途があります。ここでは、ルブラカとゼジュラがどのように似ていて、どのように異なるのかを比較します。

    材料

    ルブラカにはルカパリブという薬が含まれています。ゼジュラにはニラパリブという薬物が含まれています。

    Rubraca と Zejula は両方とも、ポリ (ADP-リボース) ポリメラーゼ (PARP) 阻害剤と呼ばれる薬物のクラスに属します。薬物のクラスとは、同様に作用する薬物のグループです。

    PARP 阻害剤は PARP酵素をブロックします。 PARP酵素は、がん細胞の自己修復と増殖を助けます。 PARP阻害剤はこの酵素をブロックすることで、がん細胞の増殖を防ぐことができます。

    用途

    食品医薬品局 (FDA) は、成人の特定の形態の卵巣がん* を治療するために Rubraca と Zejula を承認しました。ルブラカは、成人における特定の形態の前立腺がんの治療にも FDA から承認されています。

    * 卵管および腹膜(お腹の内側を覆う薄い組織層)の特定のがんは、卵巣がんに似ている場合があります。そのため、卵巣がんと呼ばれることもあります。この記事では、卵巣がん、卵管がん、腹膜がんをすべて卵巣がんと呼びます。

    卵巣がんの場合

    卵巣がんの場合、ルブラカとゼジュラは両方とも、特定の形態の上皮性卵巣がん、卵管がん、原発性腹膜がんの治療に承認されています。この目的のためには、がんが再発しており、プラチナベースの化学療法に反応している必要があります。ルブラカとゼジュラは維持療法として使用されます。

    この薬は他の形態の卵巣がんの治療にも承認されています。ルブラカの用途の詳細については、上記の「卵巣がんに対するルブラカ」のセクションを参照してください。 Zejula の使用に関する情報については、医師に相談してください。

    その他の用途

    ルブラカは、特定の形態の前立腺がんを治療するために成人での使用も承認されています。詳細については、上記の「前立腺がんに対する Rubraca 」セクションを参照してください。

    薬の形態と投与方法

    ルブラカは飲み込む錠剤として提供されます。おそらく1日2回摂取することになるでしょう。

    Zejula は飲み込むカプセルとして提供されます。おそらく1日1回摂取することになるでしょう。

    副作用とリスク

    ルブラカとゼジュラは、似たような異なる副作用を引き起こす可能性があります。以下にこれらの副作用の例を示します。

    軽度の副作用

    これらのリストには、Rubraca、Zejula、または両方の薬物で発生する可能性のある最も一般的な軽度の副作用の最大10個が含まれています(個別に服用した場合)。

    • Rubracaで発生する可能性があります:
      • 腎機能を評価する血液検査の変化
      • コレステロールのレベルの増加
    • Zejulaで発生する可能性があります:
      • 不眠症(睡眠障害)
      • や筋肉の痛み
    • RubracaとZejulaの両方で発生する可能性があります:
      • 腹部(お腹)の痛み
      • 物の味の変化
      • 吐き気または嘔吐
      • 疲労(エネルギー不足)

    重篤な副作用

    これらのリストには、ルブラカ、ゼジュラ、または両方の薬物(個別に服用した場合)で発生する可能性のある深刻な副作用の例が含まれています。

    • Rubracaで発生する可能性があります:
      • 光感受性(引き起こす日光に対する感受性

    ルブラカ(ルカパリブ)・関連動画

  • 卵巣がんと妊娠: ガイド

    卵巣の腫瘍や腫瘤は妊娠中に比較的よく見られます。ただし、妊娠中に医師が卵巣腫瘍を発見した場合、それが癌であることはほとんどありません。妊娠中の卵巣がんはまれです。

    妊娠中には、お腹の張りや骨盤の圧迫感など、卵巣がんの特定の症状もよく見られるため、医師が卵巣がんを診断するのが難しい場合があります。

    妊娠中に卵巣がんに罹患した場合、医師は通常、それを治療し、その人が正期産を達成できるよう支援することを目指します。

    この記事では、卵巣がんが妊娠中に産みの親と胎児にどのような影響を及ぼす可能性があるか、また利用可能な治療法について検討します。また、卵巣がんから回復した後に妊娠を希望する人にとって考えられる選択肢についても検討します。

    キャバン画像/ゲッティイメージズ

    2020 年のレビューによると、卵巣の腫瘤は妊娠の 0.15 ~ 5.7% で発生する可能性があり、そのほとんどは良性です。

    著者らは、良性卵巣腫瘍が卵巣がんに発展することは非常にまれであると述べています。卵巣がんは、妊娠中の卵巣の異常な増殖の約 3 ~ 6% を占めます。

    妊娠中に卵巣がんの診断を受けた場合、医師はその妊娠はハイリスクであると判断します。

    卵巣がんを患っている妊娠中の人の全生存率は、妊娠していない人と同様です。

    卵巣がんの生存率について詳しくは、こちらをご覧ください。

    がんが胎児の健康や発育に影響を与える可能性は低いです。がんが胎児に影響を及ぼすには、がん細胞が胎盤の関門を通過する必要があります。

    人の血液供給からの栄養素と酸素は胎盤を通って胎児に届きますが、がん細胞が胎盤に広がることはまれであり、胎児に広がることはさらにまれです。

    手術や化学療法を含む卵巣がんの治療は、がんそのものよりも胎児に高いリスクをもたらす可能性があります。

    外科医は妊娠中でも比較的安全に卵巣がんの手術を行うことができます。ただし、妊娠初期に手術を受けた場合は、流産のリスクがわずかに高くなります。胎児へのリスクがわずかに増加する可能性がありますが、手術が必要な場合は手術を遅らせるべきではありません。

    妊娠第 2 期または第 3 期に化学療法を受けるのが胎児にとって最も安全です。妊娠第 1 期は胎児が器官を発育する時期です。化学療法による胎児奇形のリスクは、妊娠第 1 期に 10 ~ 20%、妊娠第 2 期または妊娠 3 期に発生する確率は 1.3% です。

    研究によると、妊娠第 2 期および第 3 期に化学療法を受けた場合、胎児に長期にわたる重大な合併症は発生しません。

    LabTestsOnline によると、ヒト絨毛性性腺刺激ホルモン (hCG) は通常、妊娠中にのみ測定できるホルモンです。妊娠検査薬では尿中のhCGを検出できます。

    一部の異常な腫瘍やがんは hCG を放出します。これは、hCG が腫瘍マーカーになる可能性があることを意味します。ただし、妊娠検査薬では卵巣がんを診断することはできません。

    血液は、癌の診断ツールとして hCG レベルを測定するための好ましい方法です。血中の hCG レベルの上昇は、尿中の hCG レベルも上昇することを意味しますが、結果は互換性がありません。

    卵巣がんを診断するために、医療専門家は次の検査を実行します。

    • 身体検査と内診
    • 超音波検査やその他の画像検査
    • 血液検査(CA-125など)
    • 腫瘍が疑われる場合は腫瘤の切除

    超音波プローブを膣に挿入する経膣超音波検査を受けることもあります。

    妊娠中の卵巣がんの管理と治療に関わる医療チームは、次のようなメンバーで構成されます。

    • 産科医
    • 腫瘍学者
    • 麻酔科医
    • 新生児科医
    • 心理学者

    これは、決定が複雑であり、生みの親と胎児の健康に懸念が生じる可能性があるためです。

    治療の種類と治療スケジュールは、がんの段階や広がり、がんの種類、サブタイプなどのさまざまな要因によって異なります。

    医師は個人に合わせて治療を行い、通常は手術と化学療法が行われます。

    2020年のレビューでは、医師は通常、妊娠16~20週の間に手術を実施し、妊娠第2期と第3期に化学療法を実施できると指摘している。

    妊娠後期に医師ががんを診断した場合、出産後まで治療を開始できる場合があります。医師は、治療を開始し、卵巣がん患者のリスクを最小限に抑えるために、早めに出産することを検討することもあります。

    状況によっては、妊娠の継続について医師と相談する必要があるかもしれません。がんが進行または進行している場合は、直ちに治療が必要になる場合があります。

    治療は将来の妊娠にどのような影響を及ぼしますか?

    がん治療は、次のように将来の妊娠に影響を与える可能性があります。

    • 子宮頸部の手術:子宮頸部の一部を切除する手術を受けると、流産または早産のリスクが高くなる可能性があります。これは、手術後に子宮頸部が妊娠の成長をサポートできない可能性があるためです。
    • 化学療法:一部の化学療法は心臓細胞に損傷を与え、心臓を弱める可能性があり、妊娠のリスクを高めます。
    • 放射線療法:放射線療法を受ける場合、子宮の細胞と血液供給に影響を与える可能性があります。また、早産、流産、低体重児出産の可能性も高まる可能性があります。

    医師は、がん治療後に妊娠を試みるまでしばらく待つようアドバイスする場合があります。どのくらいの期間がかかるかは、次のようなさまざまな要因によって異なります。

    • がんの種類と段階
    • その人の年齢
    • 彼らが受ける治療

    医療専門家は、妊娠するまでどれくらいの期間待つべきかをアドバイスできるでしょう。

    卵巣がんに罹患している場合、治療の一環として両方の卵巣、卵管、子宮を切除することがあります。これは、その人は自然には妊娠しないが、他の選択肢がある可能性があることを意味します。

    医師ががんを早期に診断し、がんが片方の卵巣のみに関与している場合、子宮を温存し、もう一方の卵巣は生殖能力を維持できる可能性があります。ただし、化学療法は早期閉経のリスクを高め、残っている卵巣に損傷を与える可能性があります。

    卵巣がん後の妊娠には次のような選択肢があります。

    体外受精(IVF)

    卵巣がん治療の一環として子宮全摘術を受けなかった場合でも、体外受精を使用して妊娠できる可能性があります。

    体外受精は、人のパートナーまたはドナーからの精子が人の卵子またはドナーの卵子と受精し、医療専門家がそれを子宮に配置するプロセスです。

    代理出産

    卵巣と子宮を除去する子宮全摘術を受けた人、または体外受精が適切な選択肢ではない場合、代理出産を検討することがあります。代理とは、人の妊娠を通じて発育中の胎児を別の人が育てることを意味します。

    医療専門家は、人工授精によってパートナーまたはドナーの精子を代理母に注入するか、本人またはドナーの卵子から採取した胚とパートナーまたはドナーの精子を代理母の子宮に注入します。

    米国がん協会にはがんヘルプラインがあり、800-227-2345 でがんサポートを求めることができ、個人はオンラインでチャットすることができます。

    卵巣がんの支援を提供する組織には次のようなものがあります。

    • 卵巣がん研究同盟
    • 全国卵巣がん連合
    • 全国LGBTがんプロジェクト

    いくつかのがん組織は、特に有色人種を対象としたサポートを提供しています。

    • 黒人女性の健康の重要性
    • ラティーナ・コントラ・ガン
    • 共有

    医療専門家は、がんと共存する妊娠はすべて高リスクであると考えています。妊娠中に受ける卵巣がんの治療は、手術や化学療法など、妊娠していない場合と同様のものが多くあります。ただし、いつどのように治療を受けるかは異なる場合があります。

    医師は妊娠第 1 期以降に手術をスケジュールする場合がありますが、これはいくつかの変数によって異なります。彼らは第 2 学期と第 3 学期に化学療法を行う場合があります。これは胎児へのリスクを最小限に抑えるためです。ただし、がんが進行または悪性度の高い場合は、治療が遅れると生命が脅かされる可能性があるため、医師は妊娠を中絶することについて話し合うことがあります。

    一方または両方の卵巣、卵管、子宮を切除する手術を伴う卵巣がん治療後は、妊娠がより困難になる可能性があります。

    1 つの卵巣、卵管、子宮を残している場合は、自然に妊娠する可能性もあれば、体外受精を検討することも可能です。代理出産も検討するかもしれない。妊娠するまでどれくらいの期間待つべきかについて医療専門家と話し合うこともできます。

    卵巣がんと妊娠: ガイド・関連動画

    参考文献一覧

    1. https://www.lgbtcancer.org/
    2. http://www.medicalnewstoday.com/articles/245491
    3. http://latinascontracancer.org/
    4. https://labtestsonline.org/tests/hcg-tumor-marker
    5. http://www.medicalnewstoday.com/articles/155651
    6. https://ovarian.org.uk/ovarian-cancer/patient-hub/advice-younger-women/ovarian-cancer-and-your-fertility/
    7. https://www.ncbi.nlm.nih.gov/pmc/articles/PMC7765590/
    8. https://bwhi.org/
    9. https://raredises.info.nih.gov/diseases/7295/ovarian-cancer
    10. https://ocrahope.org/
    11. https://www.sharecancersupport.org/outreach/share-ambassadors
    12. https://www.esmoopen.com/article/S2059-7029(20)32557-6/fulltext
    13. https://acsjournals.onlinelibrary.wiley.com/doi/10.1002/cncr.31732
    14. https://www.cancer.org/treatment.html
    15. https://ovarian.org/
    16. https://www.cancer.org/about-us/online-help/contact-us.html?url=https%3A//www.cancer.org/treatment.html
  • 知らず知らずのうちにどれくらいの期間、がんになる可能性があるのでしょうか?検出できない種類など

    がんは体内で何年にもわたってゆっくりと進行し、場合によっては本人が気づかないうちに進行します。症状に気づいた時点で、がんは進行した段階にある可能性があります。

    しかし、医師は多くのがんを、症状が現れる前であっても早期に診断できます。

    この記事では、人が知らず知らずのうちにがんを患っている可能性がある期間と、検出されない可能性があるがんの種類について検討します。

    性別と性別に関するメモ

    セックスとジェンダーはスペクトル上に存在します。この記事では、出生時に割り当てられた性別を指すために「男性」、「女性」、またはその両方という用語を使用します。詳細については、ここをクリックしてください

    コービス/VCG/ゲッティイメージズ

    知らず知らずのうちにがんに罹患する可能性がある期間は大きく異なります。それは次のような複数の要因によって決まります。

    • がんの種類
    • その場所
    • どれくらいの速さで成長し、広がるのか

    カルチノイドがんなどの一部のがんは、非常にゆっくりと増殖します。顕著な症状が現れるまでに数年、あるいは数十年かかる場合もあります。この間、がんは検出されない可能性があります。

    個人の全体的な健康状態や病状など、がんに似た症状を引き起こす可能性のある要因により、がんが検出されないこともあります。場合によっては、症状を他の原因に帰して見逃したり無視したりすることがあります。

    症候性がんとは、初期段階であっても明らかな症状を引き起こすがんを指します。具体的な症状はがんの種類や部位によって異なりますが、次のようなものがあります。

    • 痛み
    • 倦怠感
    • 原因不明の体重減少
    • 異常なしこりまたは成長

    逆に、無症候性のがんは、進行しても目立った症状を引き起こさない場合があります。このような場合、医師は、定期的な健康診断、スクリーニング、または無関係な健康上の懸念の調査中に、偶然にがんを検出することがあります。

    このことは、定期的な健康評価とスクリーニングの重要性を浮き彫りにしています。なぜなら、定期的な健康評価とスクリーニングは、たとえ症状が現れる前であっても、がんを早期段階で検出する上で重要な役割を果たす可能性があるからです。

    一部の種類のがんは、微妙な症状や非特異的な症状を呈することが多いため、検出がより困難です。これらにより、症状が見落とされやすくなったり、症状が他の原因によるものであると考えられたりする可能性があります。それらには次のものが含まれます。

    • 膵臓がん:このがんは、進行した段階に達するまで検出されないことがよくあります。これは、腹部の奥深くに位置し、目立った初期症状がないことが原因である可能性があります。
    • 肺がん: 肺がんは、初期段階では重大な症状を引き起こさないことがほとんどです。症状は喘息などの他の呼吸器疾患に関連している可能性があり、診断が遅れることがあります。
    • 卵巣がん:このがんは沈黙する性質で知られています。症状は他の疾患に関連している可能性があり、診断が遅れ、治療がより困難になる可能性があります。
    • 甲状腺がん:喉にしこりや痛みを感じる人もいますが、多くは無症状です。
    • 腎臓がん:初期段階の腎臓がんは症状を示さない場合があり、医師が画像検査中に関連のない理由で偶然に腎臓がんを検出することがあります。
    • 結腸直腸がん:大腸がんは漠然とした症状を引き起こし、初期段階では発見するのが難しい場合があります。
    • 肝臓がん:初期段階の肝臓がんでは、目立った症状が現れない場合があります。医師が定期的な医療検査中、または無関係な症状を調査しているときに偶然にそれを検出する場合があります。

    進行期まで無症状である可能性のあるその他のがんには次のようなものがあります。

    • 脳腫瘍:脳腫瘍の微妙な兆候としては、持続的な頭痛、原因不明の発作、視力の変化、認知および行動の変化などが挙げられます。
    • 精巣がん:定期的に精巣を自己検査することは、早期発見のために重要です。精巣のしこり、腫れ、痛み、異常などの変化を見て感じることは、潜在的な問題を特定し、タイムリーな医学的評価を促すのに役立ちます。
    • 乳がん:場合によっては、乳がんはしこりや明らかな症状を引き起こさないことがあります。マンモグラフィーと乳房の自己検診は、乳房の異常の早期発見に役立ちます。
    • 前立腺がん男性は時間をかけて危険因子を理解し、前立腺特異抗原の血液検査や直腸指検査などの推奨されるスクリーニング検査を受ける必要があります。
    • 皮膚がん:黒色腫を含む特定の種類の皮膚がんは、進行期まで無症状であるか、わずかな症状を示すことがあります。定期的な皮膚の自己検査、ほくろの大きさ、形、色、質感の変化を監視し、日焼け止め対策を実践することは、早期発見に役立ちます。

    スクリーニング プログラムは、治療選択肢がより効果的である早期段階でがんを検出するために不可欠です。これらのプログラムに参加し、微妙な兆候や症状を監視することで、個人はさまざまながんの早期発見と転帰の改善に貢献できます。

    がんの初期兆候は、休んでも回復しない極度の疲労など、漠然としていて微妙な場合があります。がんの種類によっては、次のような他の症状が現れる場合があります。

    • リンパ節の腫れ
    • 原因不明の体重減少または増加
    • 食欲不振
    • 吐き気と嘔吐
    • 腹痛
    • 異常なしこりや腫れ
    • 持続的な痛み
    • 異常なあざや出血
    • 排便習慣や排尿習慣の変化
    • 持続的な咳
    • 嚥下困難
    • 皮膚の変化
    • 寝汗
    • 視覚の問題または聴覚障害
    • 頭痛

    新たな健康上の問題や症状が現れた場合、または悪化した場合は、医師に相談する必要があります。がんとは無関係の多くの病状が憂慮すべき症状を引き起こす可能性があります。考えられる原因に関係なく、経験した厄介な症状については医師に相談する必要があります。

    がんの家族歴がある人は、スクリーニングや予防の選択肢について医師と話し合う必要があります。早期の発見と治療は、がんの転帰を改善する上で重要な役割を果たします。

    知らず知らずのうちにがんを患う可能性がある期間については、唯一の答えはありません。それは、がんの種類、その増殖速度、個人の健康状態、スクリーニングの実施など、さまざまな要因によって異なります。

    一部のがんは明確な兆候や症状を引き起こす場合がありますが、特に初期段階では無症候性のがんもあります。無症候性の可能性のあるがんの例には、肺がん、前立腺がん、膵臓がん、脳がんなどがあります。

    人々は定期的に健康診断やスクリーニングを受け、自己検査を実施して、潜在的ながん関連の懸念をできるだけ早く特定する必要があります。

    知らず知らずのうちにどれくらいの期間、がんになる可能性があるのでしょうか?検出できない種類など・関連動画

    参考文献一覧

    1. https://www.msdmanuals.com/professional/dermatologic-disorders/cancers-of-the-skin/bowen-disease
    2. https://www.ncbi.nlm.nih.gov/books/NBK448337/
    3. https://www.bmj.com/content/377/bmj-2022-071076
    4. https://www.cancer.org/cancer/types/breast-cancer/screening-tests-and-early-detection/american-cancer-society-recommendations-for-the-early-detection-of-breast-cancer。 html
    5. https://www.cancer.org/content/dam/CRC/PDF/Public/8845.00.pdf
    6. https://www.cancer.org/cancer/diagnosis-staging/signs-and-symptoms-of-cancer.html
    7. https://www.ncbi.nlm.nih.gov/books/NBK448101/
    8. https://www.england.nhs.uk/cancer/early-diagnosis/
    9. https://www.ncbi.nlm.nih.gov/pmc/articles/PMC8024804/
    10. https://ijgc.bmj.com/content/early/2022/06/08/ijgc-2022-003361
    11. https://www.nature.com/articles/s41598-022-08083-6#:~:text=無症候性%20PDAC%20is%20characterized%20by,膵臓%20ダクト%2C%20誘発%20PDAC%20検出。
    12. https://rarediseases.org/rare-diseases/renal-cell-carcinoma/
  • 卵巣嚢腫は癌化する可能性がありますか?

    ほとんどの卵巣嚢腫は無害であり、治療しなくても自然に消えることがよくあります。まれに、一部の種類の卵巣嚢腫は卵巣がんに発展することがあります。嚢胞ががんになるリスクは、閉経を経験した人でより高くなります。

    この記事では、 卵巣嚢腫に注目し、卵巣嚢腫がどのようにして 癌に発展する可能性があるかを説明します。卵巣嚢腫の症状、診断、治療についても見ていきます。

    卵巣嚢腫は、卵巣内または卵巣上で発生する液体の袋です。

    卵巣は女性の生殖器系の一部です。月経周期の一環として、卵巣は約 28 日ごとに卵子を放出します。このプロセスは排卵として知られています。卵巣は女性ホルモンのエストロゲンとプロゲステロンも生成します。

    卵巣嚢腫は、人の卵巣内または卵巣上に発生する可能性のある液体で満たされた嚢です。通常、 嚢胞は良性です。つまり、癌性ではなく、多くの場合、治療しなくても消えます。

    小さな嚢胞は月経周期の一部として自然に発生する可能性があるため、卵巣嚢腫は定期的に月経がある人に比較的よく見られます。

    月経周期中の定期的な排卵によって発生する卵巣嚢腫は、機能性卵巣嚢胞として知られています。

    卵巣嚢腫は通常、癌性ではなく、症状を引き起こしません。定期的な内診検査中に偶然、卵巣嚢腫があることに気づく人もいます。

    閉経後は卵巣嚢腫が形成される可能性が低くなります。閉経は、人の人生の中で月経がなくなる段階を示します。ただし、閉経後に嚢胞が形成される場合は、がん化する可能性が高くなります。

    病的卵巣嚢胞

    場合によっては、異常かつ過剰な細胞増殖の結果として卵巣嚢腫が発生することがあります。これらは病的卵巣嚢胞として知られています。

    病的卵巣嚢胞は時には悪性である場合があり、これは卵巣がんを引き起こす可能性があることを意味します。閉経を経験した人は、病的な嚢胞を発症する可能性が高くなります。

    子宮内膜症などの特定の基礎疾患も、病的な卵巣嚢胞の発生を引き起こす可能性があります。子宮内膜症は、子宮の内側を覆う細胞が、卵巣や卵管など子宮の外に現れ始める病気です。

    卵巣がん

    卵巣がんは、卵巣内の細胞が制御されずに成長および増殖して腫瘍を形成するときに発生します。治療しない場合、これらの腫瘍細胞は近くの組織や体内の他の場所に広がる可能性があります。

    上皮性卵巣腫瘍

    卵巣がんの発生部位に応じて、さまざまなタイプの卵巣がんが発生します。上皮性卵巣腫瘍は最も一般的なタイプの卵巣がんであり、卵巣の外表面の細胞で発生します。

    卵巣嚢腫は腹部の不快感を引き起こす可能性があります。

    卵巣嚢腫のある人は通常、症状をほとんどまたはまったく感じません。卵巣がんの初期段階では、症状がまったくないか、軽微な症状しか引き起こさないこともあります。

    ただし、卵巣嚢腫が非常に大きい場合、破裂している場合、または卵巣への血液供給を遮断している場合は、次のような後期卵巣がんに似た症状を引き起こす可能性があります。

    • 下腹部の鈍痛または鋭い痛みなどの骨盤痛
    • 膨満感や重さなどの腹部の不快感
    • 少量の食べ物を食べた後、すぐに満腹感を感じる
    • 食欲不振
    • 膀胱や腸を空にするのが難しい
    • 頻繁または緊急の排尿の必要性
    • セックス中の痛み
    • 異常な月経(非常に重い、非常に軽い、または不規則な月経など)
    • 発熱または嘔吐

    これらの症状がある人は医師の診察を受ける必要があります。卵巣嚢腫のある人が重篤な、異常な、または再発する症状を経験し始めた場合は、できるだけ早く医師の診察を受ける必要があります。

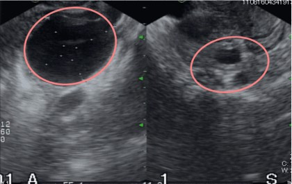
    卵巣嚢腫を診断するために、医師は次のような超音波スキャンを実行することがあります。

    • 経膣超音波検査。内診。超音波プローブを膣内に挿入して卵巣の画像を取得します。
    • 経腹超音波検査。医師は患者の下腹部をスキャンして骨盤領域の写真を取得します。

    医師が超音波検査中に卵巣嚢腫を発見した場合、嚢胞の監視を続けるために追加の超音波スキャンを要求する場合があります。

    医師が嚢胞が癌であると疑う場合は、癌抗原 125 (CA 125) 血液検査も推奨する場合があります。血中の CA 125 濃度が高い場合は、卵巣がんの兆候である可能性があります。

    ただし、CA 125 レベルが高い人全員が卵巣がんを患っているわけではありません。以下のような他の条件でも高レベルの CA 125 が生成される可能性があります。

    • 骨盤感染症
    • 筋腫
    • 子宮内膜症
    • 月経期間
    医師は嚢胞を評価して、治療が必要かどうかを判断します。

    ほとんどの卵巣嚢腫は治療を受けなくても自然に消えます。ただし、次のような場合には治療が必要になる場合があります。

    • 嚢胞の大きさと外観
    • 彼らの症状
    • 閉経したかどうか

    医師は次のいずれかの治療アプローチを提案する場合があります。

    注意深く待っています

    医師は、治療せずに嚢胞をただ観察し、進行状況を観察することを勧める場合があります。これには、嚢胞のサイズや外観が変化するかどうかを確認するための定期的な骨盤超音波検査が含まれる場合があります。

    医師は、卵巣嚢腫のある人に経口避妊薬を推奨することがあります。経口避妊薬を服用しても嚢胞のサイズは小さくならないかもしれませんが、悪化を防ぐのには役立つかもしれません。

    手術

    医師は、次のような嚢胞を手術して除去することを推奨する場合があります。

    • 非常に大きい、または成長している
    • 持続性があり、投薬後にも残る
    • 女性の子供を産みたいという欲求を邪魔している
    • 珍しいようです
    • 痛みなどの症状を引き起こしている
    • 悪性の可能性があります

    嚢胞の種類に応じて、次のような手術の選択肢があります。

    • 膀胱切除術。この手術には嚢胞の除去が含まれますが、卵巣の除去は含まれません
    • 卵巣摘出術。この手術では、卵巣を嚢胞とともに切除しますが、もう一方の卵巣は無傷のまま残します。
    • 子宮全摘術。この手術では、子宮、卵巣、卵管を摘出して悪性嚢胞を除去します。その後、 化学療法または放射線療法が必要になる場合があります。

    卵巣嚢腫は比較的一般的で、月経周期中に自然に形成されることがあります。ほとんどの卵巣嚢腫は無害で非癌性であり、通常は治療を必要としません。

    閉経後に形成される卵巣嚢腫は、卵巣がんになる可能性がわずかに高くなります。卵巣嚢腫があり、重篤な症状、持続する症状、または異常な症状を経験し始めた人は、できるだけ早く医師の診察を受ける必要があります。

    卵巣嚢腫の通常の治療アプローチは、注意深く待つことです。嚢胞が厄介な症状を引き起こしている場合、癌化している場合、または妊娠や出産の妨げになっている場合、医師は外科的除去を推奨する場合があります。

    卵巣嚢腫は癌化する可能性がありますか?・関連動画

    参考文献一覧

    1. https://www.cancer.org/cancer/ovarian-cancer/about/what-is-ovarian-cancer.html
  • 粘液性卵巣がんについて知っておくべきこと

    粘液性卵巣がんは、上皮性卵巣がんのまれなサブタイプです。このタイプのがんは化学療法にあまり反応しないため、手術が最良の治療法です。

    米国癌協会 (ACS) によると、粘液性卵巣癌は卵巣癌の約 6% を占めており、この用語は医師が癌性上皮腫瘍に対して使用する用語です。

    医師卵巣癌は、漿液性、明細胞、粘液性、類内膜など、腫瘍を構成する細胞の種類によって分類されます。 ACS によると、漿液性癌が最も一般的です。

    この記事では、人が経験する可能性のある症状、利用可能な治療法、診断に必要な内容など、粘液性卵巣がんについて詳しく説明します。

    女性の健康について詳しく知りたい場合は、当社の専用ハブをご覧ください。

    セルゲイ・フィリモノフ/ストックシー

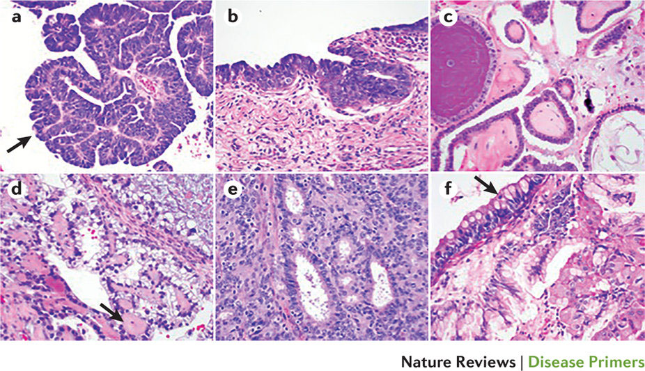
    粘液性卵巣がんは稀な形態の卵巣がんであり、上皮性卵巣がんのサブタイプです。

    悪性卵巣腫瘍の約 85 ~ 90% には上皮性卵巣がんが関与しています。卵巣上皮組織は卵巣の外側を覆っています。

    粘液癌細胞は濃厚な粘液を生成します。通常、このタイプの細胞は子宮頸部、胃、腸の内部に形成されます。

    シカゴ大学医療センターは、粘液癌細胞は大きく、液体で満たされており、粘液で覆われた細胞が主に腫瘍を構成します。

    これらは消化器系で増殖する癌細胞に似ている可能性があり、粘液性卵巣癌が卵巣で発生したのか、体の別の領域で発生したのかを判断することが困難になる場合があります。

    がんが身体のある領域で発生し、別の領域に広がる場合、それは転移性がんとして知られています。

    2020年に発表された研究では、粘液性卵巣がんの約80%が、別の原発部位からのがんが卵巣に転移した後に発症することが判明した。

    この研究によると、粘液癌の 45% は消化管から転移し、20% は膵臓、18% は子宮頸部および子宮内膜、そして 8% は乳房から転移しました。

    ただし、粘液がんは卵巣の原発腫瘍として発生することもあります。

    原発腫瘍の約 80% は、診断を受けた時点で病気のステージ 1 にあります。

    粘液性卵巣がんのある人は、卵巣に大きな腫瘤があり、次のような症状が現れることがあります。

    腫瘍は大きくなり、さまざまな症状を引き起こす可能性があるため、病気の早期に粘液性卵巣がんの診断を受けることがあります。

    2017年の症例報告では、初期段階の粘液性卵巣がんが、非湿性咳嗽、息切れ、関節痛などの他の顕著な症状を引き起こす可能性があることを示しました。

    このケースでは、広範囲にわたる血栓が発生しており、粘液性卵巣がんと診断されました。しかし、著者らは、この症例はこの病気のまれな症状であったと書いています。

    卵巣がんの初期症状について詳しくは、こちらをご覧ください。

    現在、粘液性卵巣がんの原因は明らかではありません。 2020 年の調査によると、唯一の危険因子は研究により、喫煙が原因であることが判明しました。

    喫煙による健康への悪影響について詳しくは、こちらをご覧ください。

    以下の要因により、他の形態の卵巣がんのリスクが高くなる可能性があります。

    • 卵巣がんの家族歴
    • 幼い頃から始まる月経
    • 授乳していない
    • 生きたまま出産したことがない(未経産)
    • 閉経が遅い

    しかし、研究によると、これらの危険因子は粘液性卵巣がんには当てはまりません。

    たとえば、ACS は、40 歳未満の女性に卵巣がんが発生することはまれであり、全卵巣がんの半分以上は 63 歳以上の女性に発生すると述べています。

    対照的に、2019年の研究によると、20歳から40歳までの女性は粘液性卵巣がんを発症する可能性が高くなります。

    2021 年の調査によると、症例の 65 ~ 80% で、粘液性卵巣がんのステージ 1 の診断が受けられます。

    英国のがん慈善団体Cancer Research UKは、診断プロセスの一環として内診が必要になる可能性があると書いている。これは外部でも内部でも可能です。

    卵巣、子宮頸部、周囲の臓器や組織の詳細な画像を作成するために超音波スキャンが必要になる場合もあります。これは、腹部超音波スキャンまたは経膣スキャンである場合があります。場合によっては、両方を兼ね備えている人もいます。

    CA-19、CA-125、癌胎児性抗原 (CEA) 検査などの血液検査は、人の診断の指針となります。医師はこれらを利用して、人の今後の見通しを予測したり、がんが治療にどの程度反応しているかを確認したりすることもできます。

    2020年の研究では、がん抗原CA19-9、CA-125、CEAのレベルの上昇が、良性、境界型、悪性の粘液性卵巣腫瘍を区別する診断プロセスに役立つことが判明した。

    粘液性卵巣がんを確定診断するには、生検を受ける必要があります。通常、医師は手術中にこれを行います。この後、病理学者がサンプルを顕微鏡で分析します。

    MRI スキャンを受ける場合もあります。 MRI では、粘液性卵巣がんが原発腫瘍なのか、それとも体内の別の部位から転移しているのかを確認できます。

    通常、粘液性卵巣がんの治療には手術が行われます。

    粘液性卵巣がんを治療する手術の主な目的は、目に見えるがんや 1 センチメートル (cm) を超える腫瘍をすべて除去することであり、医師はこれを「最適な減量」と呼んでいます。

    ACS は、外科医が治療を行うと人々の見通しが良くなると説明しています。手術後に大きな腫瘍が残っている人々と比較して、腫瘍を最適に減量しました。腫瘍がまだ残っている場合、医師はそれを「次善の減量」と呼びます。

    状況は異なりますが、卵巣、子宮頸部、子宮、卵管を切除する手術を受ける場合があります。また、骨盤や腹部のリンパ節を切除する手術を受けて、それらの領域にがんが転移していないかどうかを確認することもあります。

    場合によっては、虫垂も切除されることがあります。これは、粘液性卵巣がんが虫垂に転移する可能性があるためです。

    初期段階の粘液性卵巣がんの人にとって、必要な治療法は手術だけかもしれません。

    進行期のがん患者には、プラチナベースの化学療法などの追加治療が必要になる場合があります。

    しかし、2020年と2021年の研究によると、プラチナベースの化学療法は粘液性卵巣がんの効果的な治療法ではありません。これは医師のせいかもしれませんは、さまざまな種類の卵巣がんを治療するためにこの種の化学療法を設計しましたが、粘液性卵巣がんは異なるゲノム構造を持っています。

    2021年の研究によると、古い研究では、プラチナベースの化学療法に対する粘液性卵巣がんの奏効率は12~35%であるのに対し、高悪性度漿液性がんでは70%であったことが判明したという。

    化学療法が効果がない場合に何が起こるかについて詳しくは、こちらをご覧ください。

    粘液性卵巣がんを抱えながら生きる人の見通しは、病気がどの段階に達しているかによって異なります。病気のステージ 1 の診断を受ければ、患者の見通しは改善する可能性があります。

    病気の初期段階の全体的な 5 年生存率は 90% です。

    生存率とは、特定の診断を受けた後、一定期間生存している人の割合を指します。たとえば、5 年生存率 50% は、診断を受けてから 5 年後も 50% の人がまだ生きていることを意味します。

    これらの数値は推定値であり、以前の研究または治療の結果に関連していることを覚えておくことが重要です。自分の状態が自分にどのような影響を与えるかについて医療専門家に相談することができます。

    外科医が切除した腫瘍の量に影響を与える可能性があります人の見通し。

    病気の後期段階で診断を受けた場合、見通しはさらに悪化する可能性があります。これは、転移性粘液性卵巣がんがある場合にも当てはまります。

    進行性粘液性卵巣がんの場合、余命は 12 ~ 30 か月です。

    粘液性卵巣がんは、まれなタイプの卵巣がんです。骨盤や腹部の痛み、膨満感、疲労感など、さまざまな症状が現れることがあります。

    通常、腫瘍を除去するには手術が必要で、これには卵巣、子宮頸部、子宮の切除が含まれる場合があります。研究によると、医師が他の種類の卵巣がんに使用するプラチナベースの化学療法は、粘液性卵巣がんに対しては一般にそれほど効果的ではありません。

    粘液性卵巣がん患者の見通しは、診断を受ける病気の段階によって異なります。早期診断により、この特定の種類のがんの生存率が向上します。

    粘液性卵巣がんについて知っておくべきこと・関連動画

    参考文献一覧

    1. https://www.cancer.org/cancer/ovarian-cancer/about/what-is-ovarian-cancer.html
    2. https://pubmed.ncbi.nlm.nih.gov/34773517/
    3. https://pubmed.ncbi.nlm.nih.gov/31902686/
    4. https://www.uchicagomedicine.org/cancer/types-treatments/ovarian-cancer/mucinous-ovarian-cancers
    5. https://pubmed.ncbi.nlm.nih.gov/32830422/
    6. https://www.cancer.org/cancer/ovarian-cancer/treating/surgery.html
    7. https://www.cancer.org/cancer/ovarian-cancer/causes-risks-prevention/risk-factors.html
    8. https://pubs.rsna.org/doi/full/10.1148/rg.2019180221
    9. https://www.ovacome.org.uk/Handlers/Download.ashx?IDMF=574413d9-0e41-4621-a642-c65d06d6b203
    10. https://ovarianresearch.biomedcentral.com/articles/10.1186/s13048-021-00783-3
    11. https://www.uchicagomedicine.org/cancer/types-treatments/ovarian-cancer/mucinous-ovarian-cancers#:~:text=Mucinous%20ovarian%20cancer%20is%20a,of%20cells%20coated%20in%20mucus 。
    12. https://www.ncbi.nlm.nih.gov/pmc/articles/PMC7168201/#:~:text=Around%2080%25%20of%20粘液%20癌腫、乳房%20%5B17%2C18%5D。
    13. https://www.ncbi.nlm.nih.gov/pmc/articles/PMC5484457/
    14. https://www.cancerresearchuk.org/about-cancer/ovarian-cancer/types/borderline
    15. https://www.ncbi.nlm.nih.gov/pmc/articles/PMC7168201/
  • がん: どのようにして死ぬのですか?

    がんという用語は、体の細胞が制御不能に分裂および増殖し、多くの場合周囲の組織に広がる一連の状態を指します。これらの癌細胞は臓器の機能を損ないます。

    がんは、重要な器官、神経、血管まで成長し、それらの機能を妨害し、損なうことによって死をもたらします。それはほぼすべての人間の細胞で始まる可能性があります。

    通常、新しい細胞は成長と分裂を通じて形成されます。細胞は古くなりすぎるか損傷を受けると死に、新しく形成された細胞がそれらを置き換えます。

    がんは細胞の破壊と再生のプロセスを混乱させます。その結果、新しい細胞はますます異常になり、体が破壊すべきときにも古い細胞が生き続けます。

    新しい細胞は、必要がないときにも形成されます。これらの過剰な細胞は制御不能に分裂し始め、腫瘍性増殖を形成する可能性があります。

    腫瘍の増殖、がんがどのように広がるか、そしてどのようにして死に至る可能性があるかについて詳しく知るために読み続けてください。

    画像クレジット: PansLaos/Getty Images

    がんは、細胞機能、特に細胞の成長と分裂の方法を制御する細胞遺伝子の変化によって発症するため、遺伝的疾患です。

    人はこれらの遺伝的変化を両親から受け継ぐことができます。これらの変化は、細胞が分裂するとき、または毒素への環境暴露が細胞 DNA に損傷を与えるときに発生する遺伝的エラーによって発生する可能性もあります。

    遺伝子が突然変異したり、遺伝子のコピーが過剰に存在したりすると、スイッチが入ってはいけないときに永久にスイッチが入ってしまうことがあります。がん遺伝子と呼ばれるこれらの異常な遺伝子は、がんを引き起こす可能性があります。がん遺伝子は細胞の制御不能な増殖を引き起こし、がんや腫瘍の形成を引き起こす可能性があります。

    通常は細胞の増殖を制限するのに役立つ腫瘍抑制遺伝子の変化も、がん性腫瘍の増殖を引き起こす可能性があります。

    多くの場合、腫瘍は異常な組織の固い塊です。そうは言っても、一部のがんは血液中に形成されますが、これらは通常固形腫瘍を形成しません。

    がん細胞と正常細胞の間にはいくつかの違いがあります。これらの違いにより、がん細胞は臓器の損傷、機能不全、そして最終的には死に至る可能性のある腫瘍を形成することができます。

    通常の健康な細胞とは異なり、がん細胞は制御不能かつ非常に高い速度で増殖および分裂することがあります。また、がん細胞は、正常な細胞のように成熟したり、高度に特殊化された機能を実行するように発達したりしません。

    がん細胞は、通常、異常な細胞や損傷した細胞を破壊して除去する免疫系から「隠れる」こともあります。

    さらに、がん細胞は、腫瘍に栄養を与え周囲を取り囲む健康な細胞、血管、分子に影響を与える場合もあります。たとえば、がん細胞は正常細胞に血管を生成させ、腫瘍が成長するにつれて必要な酸素と栄養素を供給します。これらの新しい血管は老廃物も除去します。

    がん性腫瘍の塊が壊れて、血液やリンパ系を通って体中を移動し、さまざまな場所に新しい腫瘍を形成することもあります。悪性腫瘍も治療後に再増殖することがあります。

    臓器や血流内のがん細胞や腫瘍は臓器の機能を破壊する可能性があります。それらは臓器の健康な細胞を破壊し、その栄養素や酸素の供給を遮断し、老廃物を蓄積させる可能性があります。

    がんが重度になり、重要な臓器の機能が損なわれたり妨げられたりすると、死に至る可能性があります。

    以下のリストは、さまざまな種類のがんが最終的にどのようにして死亡を引き起こすかの例をいくつか示しています。

    • 消化器がん:消化器系の閉塞や感染症に関連した栄養失調が原因で死亡します。
    • 肺がん:肺の虚脱、感染、酸素不足により死亡する可能性があります。
    • 骨がん:血流中のカルシウム濃度の上昇と健康な骨髄の減少により、感染と闘い、出血を止め、組織に酸素を供給する体の能力が低下します。
    • 肝臓がん:体内の化学物質や毒素の蓄積により死亡を引き起こします。
    • 血液がん:血管に損傷を与え、致命的で制御不能な出血を引き起こす可能性があります。

    良性腫瘍

    一部の腫瘍は良性または非癌性です。

    良性腫瘍は非常に大きくなる場合がありますが、通常は広がることはありません。脳腫瘍は、場合によっては生命を脅かす可能性がありますが、ほとんどの腫瘍は除去または破壊しても再び再生することはなく、死に至ることはありません。

    腫瘍は悪性または癌性である場合もあります。がん性腫瘍は周囲の組織に広がり、浸潤する傾向があり、その機能や健康に影響を与えます。

    早期に治療を行えば、通常、がんの初期段階で重篤な症状が現れたり、死に至ることはありません。

    しかし、未治療の後期がんは重篤な症状を引き起こす傾向があり、死亡に至る可能性が高くなります。

    「上皮内」がんと早期がん

    以下のセクションでは、早期がんについてさらに詳しく見ていきます。

    ステージ0

    これは、がんや腫瘍が「原位置」、つまりもともと発生した場所に存在することを意味します。普及していないということです。

    この段階は通常、腫瘍や癌細胞を外科的に除去することで治癒可能性が高くなります。

    ステージ1

    初期段階のがんと呼ばれることが多い、ステージ 1 のがんまたは腫瘍は小さく、周囲の組織に深く浸透していません。また、体の他の部分やリンパ系にも転移していません。

    ステージ 0 または 1 のがんの人は、何の症状も感じられない場合があります。また、次のような症状を経験したり、体の変化に気づく人もいます。

    • 異常なしこり、でこぼこ、硬さ、腫れ
    • 皮膚の変化(ほくろの新規または変化、かゆみ、鱗状化、またはえくぼ、変色、黒ずみ、しわ、炎症など)
    • 改善しない咳や声がれ
    • 異常な乳頭または性器の分泌物または変化
    • 排尿困難または排尿時の痛み
    • 尿または便に血が混じる
    • 原因不明のあざ
    • 排便習慣の変化
    • 腹痛
    • 吐き気と嘔吐
    • 食欲の低下
    • 食べることまたは飲み込むことの困難
    • 胸焼けや消化不良が改善しない
    • 原因不明の重度の疲労感が改善しない
    • 原因不明の発熱または寝汗
    • 口や唇の出血、痛み、しびれ
    • 頭痛と発作
    • 視覚と聴覚の変化
    • 舌または口の中に白または赤い斑点がある
    • 治らない傷
    • 皮膚や目の黄ばみ
    • 原因不明の体重減少または増加

    後期がん

    以下のセクションでは、後期がんについてさらに詳しく見ていきます。

    ステージ2と3

    ステージ 2 および 3 のがんおよび腫瘍は大きくなる傾向があり、周囲の組織に深くまで成長しています。また、体の他の部分やリンパ系に転移している可能性もあります。

    ステージ4

    ステージ 4 は転移性がん、または進行がんとも呼ばれます。この段階では、がんまたは腫瘍が体の他の部分に転移しています。

    後期がんの人は、がんの種類と部位に応じてさまざまな症状を経験します。以下のような要因を完全に予測できる人は誰もいません。

    • 人の人生の終わりには何が起こるのか
    • 人生の最後の期間はどれくらいになるのか
    • 死が起こるかどうか

    特に予期せぬ合併症があった場合や癌が非常に重篤な場合には、癌により非常に早く死亡する人もいます。場合によっては、数か月または数年かかる場合もあります。

    しかし、がんが成長または転移するにつれて、複数の臓器やそれらが実行する重要な身体プロセスに影響を及ぼし始めます。これにより、次のようなさまざまな深刻な症状が引き起こされる可能性があります。

    • 極度の疲労感と脱力感
    • 集中力と思考力の低下
    • 以前楽しんでいたものに対する興味が薄れる
    • 体重減少と筋肉の減少または痩せ
    • 食欲不振
    • 食べることと飲み込むことの困難
    • ほとんどの活動に手助けが必要な場合
    • ほとんどの時間を睡眠または休息に費やす必要がある
    • 外の世界で起こっている出来事に対する関心の低下
    • 訪問者との時間を制限したい、または周りに数人だけを入れたい
    • 垂れ下がった唇
    • 現在の出来事やその場の人々に関係のないことについて話す
    • 夜間の不安、孤独、落ち着きのなさ、または恐怖の増大
    • 心拍数の変化(弱くなる、不規則になる、速くなるなど)
    • 血圧を下げる

    がんを患いながら最後の日が近づくと、次のような経験をする人がいるかもしれません。

    • ゴロゴロ、ガラガラ音、鼻詰まりを伴う騒々しい呼吸
    • 冷たく、青みがかった色からくすんだ色の皮膚、特に手と足
    • ゆっくりとした呼吸、時には 10 ~ 30 秒続く長い呼吸
    • 尿量の減少
    • 反復的または落ち着きのない不随意運動
    • 口と唇の乾燥
    • 腸と膀胱の制御の喪失
    • 旅行、亡くなった人に歓迎される、または旅行の準備に関連した幻覚または夢のような体験を持つ
    • 場所、時間、周囲の人々のアイデンティティに関する混乱
    • 声や接触などの外部の合図に対する反応が徐々に鈍くなる傾向
    • 意識状態に出入りする傾向
    • 言語または聴覚の低下
    • 視界がぼやける、またはかすむ
    • まぶたを閉じるのが難しい

    誰かががんで亡くなった場合、次のことが起こります。

    • 脈拍が止まる
    • 腸または膀胱が制御不能で空になる
    • 目が動かなくなる
    • 瞳孔は拡大し、厳しい光の下でもその状態を維持します
    • 呼吸が止まる
    • 血圧は検出できない

    症状は、がんの種類やがんが影響を受ける臓器によって大きく異なることに注意することが重要です。

    がん患者は、腫瘍やがん細胞によって重要な身体プロセスが実行できなくなるほど臓器の機能が損なわれ、死亡します。

    がんの初期段階にある人は、何の症状も気づかないこともありますが、より微妙な症状を経験することもあります。

    がんが進行して体の複数の部分に広がると、症状も増加し、死亡の可能性も増加する傾向があります。

    がん: どのようにして死ぬのですか?・関連動画

    参考文献一覧

    1. https://www.cancer.org/treatment/end-of-life-care/nearing-the-end-of-life/death.html
    2. https://www.cancer.gov/about-cancer/ Understanding/what-is-cancer
    3. https://www.cancerresearchuk.org/about-cancer/coping/dying-with-cancer/how-can-cancer-kill-you
    4. https://www.cancer.org/cancer/cancer-basics/questions-people-ask-about-cancer.html
    5. https://www.cancer.gov/about-cancer/causes-prevention/genetics
  • 卵巣がんの時期、段階、症状

    卵巣がんが発症するまでの時間はがんの種類によって異なります。一部のタイプは、1 年以内に初期段階から高度段階に進行します。

    卵巣は、子宮の両側にある 2 つの小さな腺状の器官です。それらは靱帯によって子宮に接続されています。

    卵巣がんは、がん細胞が卵巣内、卵巣付近(卵管など)、または卵巣上に存在する場合に発生します。卵巣のサイズが小さいということは、卵巣がんが増殖または転移するまでは、卵巣がんの症状が現れない可能性があることを意味します。

    この記事では、卵巣がんとは何か、どのように転移するのか、そしてどのように発見するのかについて説明します。

    キャバン画像/ゲッティイメージズ

    がんは、体内の細胞が制御不能に増殖するときに発生します。医師たちはかつて、卵巣がんは卵巣に発生した場合にのみ発生すると信じていました。彼らは現在、卵巣がんは卵管の末端から発生すると考えています。

    National Ovarian Cancer Coalition (NOCC) によると、女性の 78 人に 1 人が生涯に卵巣がんの診断を受けることになります。

    卵巣がんにはさまざまな種類があります。各タイプは、卵巣内の 3 つの細胞タイプのいずれかに遡ります。

    • 表面上皮:卵巣の外層にある細胞です。
    • 生殖細胞:卵を形成する細胞です。
    • 間質細胞:これらは、さまざまな卵巣構造を接続するホルモン放出細胞です。

    上皮性卵巣腫瘍

    上皮性卵巣腫瘍は、卵巣の外層に形成される腫瘤です。

    上皮性卵巣腫瘍があるからといって、必ずしもがんがあるとは限りません。このタイプの腫瘍には、良性、境界領域、または悪性の可能性があります。

    良性上皮性卵巣腫瘍は転移したり、癌を引き起こしたりしません。さまざまな種類の良性上皮性卵巣腫瘍には、ブレンナー腫瘍、嚢胞腺腫などが含まれます。

    2019年の研究総説によると、境界上皮性卵巣腫瘍とは、卵巣周囲の他の組織に影響を与えることなく上皮細胞を通って広がる腫瘍のことです。

    境界腫瘍は一般にゆっくりと増殖し、他の卵巣がんよりも良好な転帰をもたらします。

    癌腫とは、悪性卵巣上皮腫瘍を指します。悪性卵巣がんのほとんどの症例は上皮性卵巣がんであり、次のいずれかになります。

    • 漿液性癌
    • 明細胞がん
    • 粘液癌
    • 類内膜がん

    卵巣胚細胞腫瘍

    卵巣胚細胞腫瘍は、卵細胞で発生するがんです。この種類のがんはまれで、全卵巣がんの 2% 未満を占めます。

    一般的に予後は良好で、ほとんどの人は診断後 5 年以上生存します。

    卵巣胚細胞腫瘍には次のような種類があります。

    • 奇形腫:発育中の胚に似た腫瘍です。医師はそれらを皮様嚢胞と呼ぶこともあります。
    • 胚細胞腫:これらは進行が遅いタイプの卵巣がんで、10 代から 20 代の女性が罹患する傾向があります。
    • 内皮洞腫瘍および絨毛癌:これらの腫瘍は若い女性に影響を与える傾向があり、妊娠中に胎盤で発生する可能性があります。

    卵巣間質腫瘍

    卵巣間質腫瘍は、すべての卵巣がん診断の約 1% を占めます。これらの症例の半数以上は50歳以上の女性です。

    これらの腫瘍は、性器出血や顔毛や体毛の異常な成長を引き起こす可能性があります。場合によっては、出血が始まり、突然の激しい腹痛を引き起こすことがあります。

    卵巣がんはさまざまな速度で増殖および発症します。種類によっては非常に急速に成長する場合があります。

    カンザス大学がんセンターによると、卵巣がんは急速に進行する可能性があります。 1年以内に初期段階から上級段階まで進むことができます。

    悪性上皮がんは卵巣がんの中で最も一般的なタイプで、数週間から数か月以内に転移する可能性があります。

    卵巣がんの症状は不明瞭で、がんが広がる前に検出するのが難しい場合があります。早期がんでは症状がまったくない場合もあります。

    卵巣がんが発生した場合、次のような症状が現れる可能性があります。

    卵巣がんには4つの段階があります。医師は、腫瘍が発生する場所とその大きさに応じて、各段階をサブステージに分類します。

    • ステージ 1:がんは卵巣の外には広がっていません。
      • ステージ 1A:がんは 1 つの卵巣に限定されています。外表面には腫瘍はありません。
      • ステージ 1B:がんは両方の卵巣に限定されています。外表面には腫瘍はありません。
      • ステージ 1C:がんは片方または両方の卵巣に限定されていますが、片方または両方の卵巣の表面に腫瘍があります。
    • ステージ 2:がんが子宮または他の近くの臓器に転移しています。
      • ステージ 2A:がんが子宮、卵管、またはその両方に拡大、転移、あるいはその両方を起こしています。
      • ステージ 2B:がんが他の骨盤組織にまで広がっています。
      • ステージ 2C:がんはステージ 2A または 2B にありますが、一方または両方の卵巣の表面に腫瘍があります。
    • ステージ 3:がんがリンパ節または腹部の内壁に転移しています。
      • ステージ 3A:がんは真の骨盤に限定されています。
      • ステージ 3B:腹部に直径 2 センチメートル (cm) 未満の腫瘍があります。
      • ステージ 3C:腹部に直径 2 cm を超える腫瘍があります。
    • ステージ 4:がんが肝臓や肺などの離れた臓器に転移しています。

    自分が卵巣がんであることに何年も気づかない人もいます。医師が卵巣がんを早期に発見できるのはわずか 20% です。

    卵巣は非常に小さいため、がんが成長または転移するまではがんの症状が現れない場合があります。

    卵巣がんには信頼できるスクリーニング検査がないため、早期発見が困難な場合があります。

    米国癌協会 (ACS) は、定期的に婦人科検査を受け、症状が数週間以上続いている可能性がある場合は医師に相談することを推奨しています。

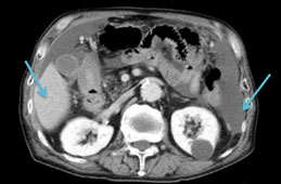
    医師は通常、患者の病歴について話し合い、卵巣肥大がないかどうかを検査することから始めます。卵巣がんを探すために、CT スキャンや骨盤超音波検査などの画像検査を注文する場合があります。

    医師はまた、血球計算、肝臓および腎臓の機能検査、CA-125 検査などの血液検査も指示します。 CA-125 レベルが高い場合は、卵巣がんの存在を示す可能性があります。

    ただし、CA-125 は医師が卵巣がんの診断に使用する腫瘍マーカーの1 つにすぎないことに注意することが重要です。 CA-125 レベルは、非癌性の原因を含むさまざまな理由で上昇する可能性があります。

    医師は生検のためにがんを完全に切除することもあります。 ACS によると、腫瘍の切除は卵巣がん生検の一般的な方法です。

    NOCC によると、がんを診断して切除する手術が卵巣がんの最も一般的な治療法です。

    卵巣がんの種類と段階に応じて、医師は次のことを推奨する場合もあります。

    • 化学療法
    • 放射線治療
    • 特定のライフスタイルの変化
    • 臨床試験への参加

    治療計画は、その人の全体的な健康状態と、卵巣がんの種類と段階によって異なります。

    見通しは、患者の年齢、全体的な健康状態、卵巣がんの種類と段階など、いくつかの要因によって異なります。

    ACS によると、さまざまな種類の卵巣がんの平均 5 年生存率は次のとおりです。

    浸潤性上皮性卵巣がん:

    • ローカライズ: 93%
    • 地域性: 75%
    • 遠距離: 31%

    卵巣間質腫瘍:

    • ローカライズ: 98%
    • 地域性: 89%
    • 遠方:60%

    卵巣の胚細胞腫瘍:

    • ローカライズ: 98%
    • 地域性: 94%
    • 遠距離: 73%

    卵管がん:

    • ローカライズ: 95%
    • 地域: 53%
    • 遠距離: 45%

    卵巣がんは、卵巣から発生する比較的一般的ながんの種類です。卵巣のサイズが小さいため、がんが成長または転移するまで症状が現れない可能性があります。

    卵巣がんの症状が数週間以上続く場合は、すぐに医師に連絡する必要があります。卵巣がんは急速に広がる可能性があるため、早期の診断と治療がより良い転帰につながります。

    卵巣がんの時期、段階、症状・関連動画

    参考文献一覧

    1. https://www.ovarian.org/about-ovarian-cancer/what-is-ovarian-cancer
    2. https://www.sgo.org/patient-resources/ovarian-cancer/ovarian-cancer-stages/
    3. https://www.kucancercenter.org/news-room/blog/2020/08/what-is-ovarian-cancer-symptoms-treatment
    4. https://www.ovarian.org/about-ovarian-cancer/what-is-ovarian-cancer/types-a-stages
    5. https://meridian.allenpress.com/aplm/article/143/10/1278/10073/Borderline-Brenner-Tumor-A-Review-of-the
    6. https://www.cancer.org/cancer/ovarian-cancer/about/what-is-ovarian-cancer.html
    7. https://www.cancer.org/cancer/ovarian-cancer/detection-diagnosis-staging/how-diagnosed.html
    8. https://www.cancer.org/cancer/ovarian-cancer/detection-diagnosis-staging/survival-rates.html
    9. https://www.ovarian.org/about-ovarian-cancer/treatment
    10. https://www.cancer.org/cancer/ovarian-cancer/detection-diagnosis-staging/detection.html
  • 子宮内膜症と卵巣がんとの関係は何ですか?

    子宮内膜症と卵巣がんは、膨満感、圧迫感、骨盤痛などの類似した症状を示すことがありますが、この 2 つは明らかに異なる病気です。ただし、子宮内膜症のある人は、卵巣がんを発症するリスクがわずかに高い可能性があります。

    子宮内膜症は、子宮内の細胞に似た子宮内膜様細胞が体の他の部分で増殖する慢性疾患です。子宮内膜症のある人は、重度の骨盤痛、月経出血量が多く、妊娠が困難になることがあります。

    卵巣がんには異常な組織増殖も伴い、生殖器系に影響を与える可能性があります。子宮内膜細胞とは異なり、これらの癌性増殖は良性ではありません。それらは健康な細胞を損傷し、体の他の部分に広がる可能性があります。

    卵巣がんは子宮内膜症といくつかの症状を共有しますが、その症状が月経周期と関連している可能性は低いです。

    2 つの病気の類似点、それらを区別する方法、および子宮内膜症が卵巣がんのリスクにどのように寄与するかについて詳しくは、こちらをお読みください。

    クリーク画像/ストックシー

    子宮内膜症は一般的な病気です。米国の 15 歳から 44 歳までの女性の推定 11% が、診断されていない子宮内膜症を患っています。

    子宮内膜症になると、子宮内膜組織に似た組織の病変が子宮の外側で増殖します。通常、卵巣や腹膜などの骨盤領域で発生します。

    これらの組織は瘢痕化や癒着を引き起こし、生殖器官を損傷したり閉塞したりする可能性があります。

    増殖は良性ですが、子宮内膜症はがん性増殖を引き起こす卵巣がんとの類似点を持っています。卵巣がんと同様、子宮内膜症は時間の経過とともにサイズが増大し、周囲の臓器に損傷を与える可能性があります。

    どちらの症状も骨盤領域の異常な成長を引き起こすため、骨盤の痛み、圧迫感、膨満感などの共通の症状が現れることがあります。

    子宮内膜症の症状の一部は卵巣がんの症状と似ていますが、症状にはいくつかの明確な違いがあります。

    子宮内膜症の症状

    子宮内膜症は通常、月経が活発な人々に影響を与えます。ただし、まれに、閉経後や子宮摘出術後に子宮内膜症が発生することがあります。

    この病気の症状には次のようなものがあります。

    子宮内膜症は進行性の病気であるため、時間の経過とともに悪化する可能性があります。人の生殖能力に悪影響を及ぼし、妊娠しにくくなる可能性があります。

    子宮内膜症とともに生きるためのヒントを学びましょう。

    卵巣がんの症状

    卵巣がんは卵巣を持つすべての人に影響を与える可能性がありますが、閉経を経験した人に最も一般的です。ただし、乳がんや卵巣がんの家族歴がある人は、乳がんや卵巣がんにかかるリスクが高い可能性があります。

    さらに、子宮内膜症のある人は、一般の人よりも卵巣がんの発生率がわずかに高くなります。

    卵巣がんの一般的な症状は次のとおりです。

    • 持続的な膨満感
    • 治らない腹痛
    • 通常よりも頻繁に排尿したいという衝動
    • 食事の困難と満腹感
    • 排便習慣の変化(通常よりも頻繁または少なくする必要があるなど)
    • 倦怠感
    • 原因不明の体重減少

    卵巣がんの初期症状について詳しく学びましょう。

    子宮内膜症は必ずしも卵巣がんを引き起こすわけではありませんが、子宮内膜症が人のがんリスクを高めることが研究で示されています。

    ある研究では、子宮内膜症患者は一般人口の1.7倍の割合で卵巣がんを発症することがわかりました。しかし、研究者たちは、これらの症状間の関連性に関する正確なデータを見つけるのに苦労しています。

    これは、子宮内膜症の診断が過小評価されていることが多いためです。子宮内膜症の多くの人が不正確な診断を受けているか、医師が痛みを無視していることに気づいています。さらに、確定診断を受けるには、腹腔鏡手術を受けて子宮内膜組織を切除して生検する必要があります。

    子宮内膜症ががんのリスクをどの程度増加させるかは不明ですが、子宮内膜症の間に関連性が存在することは明らかです。子宮内膜症は、次のようなさまざまな理由で卵巣がんのリスクを高める可能性があります。

    • 高濃度のエストロゲンを生成し、腫瘍の増殖を促進する可能性があります
    • 腫瘍を抑制するARID1A遺伝子に変異を引き起こす
    • 月経の流れによって子宮内膜細胞が骨盤に移動し、時間の経過とともに侵襲的になる

    他の研究では、一部の人では子宮内膜症が 1 型上皮性卵巣癌の前兆である可能性があることが示されています。専門家らは、これは異常な組織や腫瘍の増殖に寄与する遺伝子変異によるものだと考えています。

    しかし、研究者たちはこれらの症状間の関連性をまだ理解しておらず、子宮内膜症が卵巣がんを引き起こすかどうか、またどのようにして引き起こされるのかを明らかにするには、さらなる研究が必要です。

    現在、子宮内膜症を予防する既知の方法はありません。ただし、この症状のある人は、症状の悪化を防ぐために行動を起こすことができます。

    子宮内膜症の症状がある人は、検査を勧めるべきです。医師がこの状態を診断すると、病気の進行を遅らせるために特定の避妊法を処方したり、腹腔鏡手術で子宮内膜の瘢痕組織を除去したりすることができます。

    卵巣がんを予防する確実な方法はありませんが、病気になるリスクを軽減するために特定の対策を講じることはできます。これらには次のものが含まれます。

    特定の危険因子の回避

    適度な体重を維持し、喫煙を避け、活動的なライフスタイルを送ることで、卵巣がんになるリスクを軽減できる可能性があります。

    いくつかの研究では、閉経後にホルモン補充療法(HRT)を受けるとリスクが高まる可能性があることが示されていますが、これには議論の余地があります。 Women’s Health Initiative (WHI) による大規模研究では、HRT が卵巣がんのリスクを高めることは判明しませんでした。

    経口避妊薬の服用

    経口避妊薬を使用すると、特に数年間使用した場合、卵巣がんのリスクが減少します。個人は医師に連絡して、自分にとって最適な選択肢について話し合うことができます。

    遺伝子検査とカウンセリングを受ける

    遺伝子検査は、卵巣がんを発症する遺伝的リスクを評価するのに役立ちます。遺伝カウンセリングが必要かどうかを決定するために医師に相談したいと思う人もいるかもしれません。

    婦人科手術を受けている

    子宮摘出術および卵管切除術(片方または両方の卵管の切除)は、卵巣がんのリスクを軽減します。これらは、卵巣がん、乳がん、あるいはその両方の家族歴があるなど、正当な理由がある場合にのみ検討すべき重大な手術です。

    子宮内膜症と卵巣がんは共通の症状を持っていますが、これら 2 つは明らかに異なる病気です。この 2 つを明確に関連付ける研究はまだできていませんが、子宮内膜症の人は卵巣がんを発症するリスクが高いことが研究によって示されています。

    子宮内膜症を予防する方法はありませんが、子宮内膜症の状態を管理するための措置を講じることはできます。彼らは、個人の危険因子を管理し、遺伝カウンセリングを受け、卵巣がんのリスクを減らすために経口避妊薬を服用することができます。

    卵巣がんや子宮内膜症の症状がある場合は、医師または婦人科医に相談する必要があります。

    子宮内膜症と卵巣がんとの関係は何ですか?・関連動画

    参考文献一覧

    1. https://ovarian.org.uk/news-and-blog/blog/endometriosis-and-ovarian-cancer-risk/
    2. https://www.nichd.nih.gov/health/topics/endometri/conditioninfo/treatment
    3. https://www.cancer.org/cancer/cancer-causes/medical-treatments/mampere-hormone-replacement-therapy-and-cancer-risk.html
    4. https://www.who.int/news-room/fact-sheets/detail/子宮内膜症
    5. https://www.acog.org/clinical/clinical-guidance/committee-opinion/articles/2019/04/opportunistic-salpingectomy-as-a-strategy-for-epithelial-ovarian-cancer-prevention
    6. https://www.degruyter.com/document/doi/10.1515/dx-2019-0020/html
    7. https://www.ncbi.nlm.nih.gov/pmc/articles/PMC3143230/
    8. https://obgyn.onlinelibrary.wiley.com/doi/full/10.1111/1471-0528.14831
    9. https://www.dovepress.com/endometriosis-and-ovarian-cancer-links-risks-andnbspchallenges-faced-peer-reviewed-fulltext-article-IJWH
    10. https://www.cancer.org/cancer/ovarian-cancer/causes-risks-prevention/prevention.html
    11. https://www.cancer.org/cancer/ovarian-cancer/causes-risks-prevention/risk-factors.html
    12. https://www.ncbi.nlm.nih.gov/pmc/articles/PMC5563086/